科室介绍

您现在的位置: 首页 - 科室导航 - 专科部 - 皮肤科 - 科室介绍

  单位简介及组织架构

  北京清华长庚医院皮肤科(以下简称“清华长庚皮肤科”)创建于2014年。在“人本、济世、厚德、至善”办院宗旨指导下,秉承以患者为中心的服务理念开展皮肤科临床工作。科室以主诊医师负责制为核心,以传统皮肤科为基础,以医学美容为特色。为患者提供优质的皮肤科医疗服务。清华长庚皮肤科现由赵邑主任担任学科带头人。医师团队均毕业于北京大学医学部、北京协和医科大学等著名医学学府,具有硕士以上医学学历。经过严格规范化专业培训及考核。主要医师及护理人员还具有欧美学习经历或接受过台湾长庚纪念医院的临床教学培训。清华长庚皮肤科倡导为提供“卓越医疗”而实现“价值人生”,以高质量的团队协作保障高水平的医疗服务。为广大患者的皮肤健康美丽努力打造医教研全面协调发展的国际一流皮肤科。

  

  中美皮肤科课堂及远程教学互动

  教学研究简介与成果

  清华长庚皮肤科致力于培养优秀的现代化皮肤科人才。科室制定了严格的临床培训考核制度,致力于打造一支临床基础扎实、具有高水平诊疗能力的医疗队伍,为提供一流的医疗服务提供有力的人才保障。建立了完备的常规教学体系和住院医师培养体系,并引进国际化课程,拓展医护人员国际视野。结合清华大学优势,培养英才计划博士后,有计划安排骨干人员出国培训,促使年轻人迅速成长。团队、教学骨干及住院医师均多次获得教学奖励。清华长庚皮肤科致力于前沿医学研究,为患者提供更先进的诊疗手段。依托清华大学生命科学、基础医学、工学等学科优势,重点开展具有临床应用价值的转化医学研究。积极参与国内外广泛学术交流,寻求学科间、国内及国际研究合作。推动传统皮肤医学逐渐向美容与健康兼并的崭新医学模式转化。科室研究项目受到国家自然科学基金、科技部重点研发计划、北京市科研项目支持。是我院首批获得GCP认证的科室。在免疫性皮肤病、光与激光治疗、瘢痕的发病机制、皮肤老化与美容等方面有多个研究项目进行中。在银屑病领域,我科是亚洲银屑病协会理事及中华医学会银屑病专业委员单位。是亚洲银屑病外用药治疗共识及中国银屑病生物治疗共识制定参与单位。在智慧医疗领域,是中国医师协会智慧医疗专委会秘书长单位。在激光美容领域,是中国整形美容协会激光美容分会副秘书长单位。在鲜红斑痣领域,赵邑主任在世界著名医学排名网站Expertscape.com上位列世界前五(2019年)。

  

  临床诊疗新知及诊疗服务成效

  清华长庚皮肤科具备先进的治疗及检查设备。如德国沃曼7002紫外线治疗仪、美国科医人超脉冲点阵激光、308nm准分子白癜风治疗仪、美国艾尔曼双频电刀、英国欧美娜红蓝光、德国莱卡显微镜、皮肤镜等均为国际领先设备。为开展各种高水平的皮肤疾病诊治项目提供了坚实的设备技术保障。自开业以来,清华长庚皮肤科门诊量迅速稳步攀升。并逐步建立了银屑病、白癜风、瘢痕、特应性皮炎、黄瘤及播散性黄瘤病、血管瘤及鲜红斑痣、痤疮及玫瑰痤疮等多个专病门诊,逐步突显专科特色。突出的医疗成效如银屑病方面采用规范化诊疗技术和生物制剂等前沿诊疗技术,为大量重症银屑病患者解决了常年病痛;在全国首先治愈罕见疑难病播散性黄瘤,帮助这些患者逃离了神经系统损伤、视觉障碍、呼吸道梗阻等严重并发症的危害,重新恢复了健康生活;在全国率先开发并临床验证点阵激光治疗睑黄瘤等损容性疾病;开展Moh’s显微外科手术为面部恶性肿瘤患者提供更好治愈效果。清华长庚皮肤科同时开展皮肤美容服务(美容皮肤科)。引进当今最先进的激光美容技术设备,重点开展激光、注射、紧肤、换肤等医学美容治疗项目。为各种色素性皮肤病、血管性皮肤、毛发过多等患者提供高品质的治疗,同时可为广大爱美人士提供一流的抗衰老、年轻化医学美容服务。

  

  未来五至十年发展方向及目标

  未来五到十年内,清华长庚皮肤科将继续培养及引进优秀皮肤医教研人才,完善学科队伍建设。通过内部优化、国际协作等方式提升科室医教研综合实力。医疗方面将继续全面建设亚专业,突出专科特色。大力发展智慧医疗,拓展医疗服务的品质、能力和疆域。为更多的患者提供更好的皮肤科医疗保健服务。教学方面将依托清华大学教学优势,建立更加完善的教学人才体系。完善住院医规范化培训。引进先进的教学方式,继续派医护人员海外学习,促进专业人才培训的国际化。科研方面将结合清华大学理工优势,继续推进转化医学研究和临床基础研究。力争更多重大课题立项和学术成果产出落地。通过五到十年的发展,将清华长庚皮肤科发展成为国内一流、国际知名的学术型专科。

  

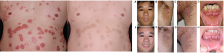
  银屑病及播散性黄瘤治疗前后

  

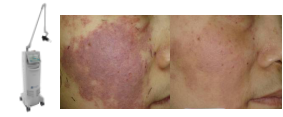
  雀斑及鲜红斑痣(红色胎记)治疗前后