#

外科部

您现在的位置: 首页 - 备份栏目 - 专科专病 - 外科部 - 骨科
外科部

骨科

创伤骨科专病介绍

  1、复杂关节骨折以及多发创伤的治疗:

  随着交通运输、建筑行业的发展,高能量、高暴力的骨折创伤日益多见,特别是发生在关节部位的骨折,若采用传统的石膏固定,则会导致关节部位的僵硬、挛缩。北京清华长庚医院创伤骨科中心诸位医师,通过国际内固定学会(AO-ASIF)相关培训,科学、合理的应用AO原理,对复杂的关节骨折实施手术治疗,可使患者获得早期的功能锻炼,以求得最好的功能恢复。同时创伤骨科中心应用国际最新的微创技术治疗骨折以及多发创伤,进一步减少病人痛苦,加快患者康复,获得良好的效果。

肢体骨折的髓内针微创治疗                  肢体骨折的经皮钢板微创治疗

    

  肢体骨折的经皮钢板微创治疗               复杂关节骨折的手术治疗

  2、老年骨质疏松骨折的治疗:

  随着我国人口老龄化,骨质疏松骨折发病率连年上升,髋部骨折、脊柱压缩骨折、桡骨远端骨折、肱骨近端骨折四大骨质疏松骨折成了困扰老年人的常见病和多发病。一旦发生骨质疏松骨折,轻则致残,重则由于卧床并发症造成死亡,对于家庭和社会造成沉重负担。北京清华长庚医院创伤骨科中心应用髓内钉、椎体成形等微创技术,结合传统的钢板螺钉固定、关节置换等手术方案,为多名90岁以上超高龄老人进行了手术,获得术后第1天即可下地行走的良好效果,让更多骨折后的老人重返社会。

  高龄老人髋部骨折髓内钉微创治疗,术后即可下地恢复活动。

  3、手足骨折的微创治疗:

  手足部位的骨折,好发于青壮年劳动力,传统治疗方法采用切开复位钢板螺钉内固定,由于对软组织剥离大,神经血管损伤及术后肌腱粘连发生率高,造成术后手指活动不良甚至致残;且需要二次手术取出钢板螺钉,给患者恢复带来困难。而北京清华长庚医院创伤骨科中心应用独有的髓内针治疗该类骨折,做到了“不切开”——仅留一针眼,“不出血”——术中出血约1ml,术后功能康复效果良好。

  第五掌骨骨折闭合复位髓内针治疗前后对比图,该手术仅通过一个针眼完成固定,实现“不切开”“不出血”的微创治疗。

  4、手畸形的治疗与重建:

  手部畸形是相对少见的疾病,然而一旦发生,对于孩子和家庭都是致命性的打击,严重的手部畸形往往需要进行系列手术进行矫治和重建。这类手术难度大,需要医生具有超群的解剖学、动力学知识,具有高超的显微外科技术,以及无比的耐心。北京清华长庚医院潘勇卫教授在该领域建树颇深,特别是对传统拇指再造方法进行改良,再造拇指更加美观,对足功能影响更小,研究结果获北京市科技进步三等奖,并受邀在美国、英国、日本、韩国、香港等国际会议做专题演讲。

  5、外周神经疾病的外科治疗:

  周围神经疾病是经常被忽视的一类疾病,近期北京清华长庚医院创伤骨科中心将联合神经中心开展周围神经疾病联合门诊,进一步提高该类疾病的诊疗效果。潘勇卫教授对周围神经疾病有丰富的治疗经验和深入的研究,在国内首先发现、报道神经沙漏样病变,在国际上首先提出沙漏样病变是臂丛神经炎的病理基础,并得到国际认可。

关节外科专病介绍

  骨科关节外科中心,由骨科副主任、关节外科中心主任蔡谞教授亲自领衔,运动医学专家陈连旭教授辅助,汇集了来自解放军总医院(301医院)、北医三院、积水潭医院、协和医院骨科关节专业的医师,组成国内顶尖的关节诊疗团队。蔡谞教授,原解放军总医院(301医院骨科主任医师,博士研究生导师),国内著名关节外科专家。对关节外科疾病有丰富的诊治经验,尤其专重于人工关节置换和翻修手术以及关节镜下微创手术等关节外科治疗。对股骨头坏死、晚期风湿类风湿性关节炎、先天性髋关节发育不良、骨性关节炎、强直性脊柱炎等骨科常见病和疑难病症的诊治具有丰富的临床经验。许多高难度人工关节置换手术曾无人敢于问津,在我院骨科关节中心已是常态化手术。高难度髋、膝人工关节置换和人工关节翻修手术的临床疗效达到国际先进水平。

  关节外科中心目前拥有全套关节镜系统、计算机辅助导航系统、C/G/O型臂X线机、骨科万能手术牵引床、全套骨科手术动力系统及电动、3D打印技术截骨模块等先进的骨科手术设备,可保证完成关节外科领域全部高精尖手术。

  开业一年多以来,关节病患门急诊量已居院内前列,中心已开展关节外科领域各类手术,包括各类复杂关节置换、截骨矫形、关节置换术后翻修术等复杂疑难手术,并于近期完成国内首例膝关节置换术后Felix IIB型胫骨假体周围骨折翻修术。

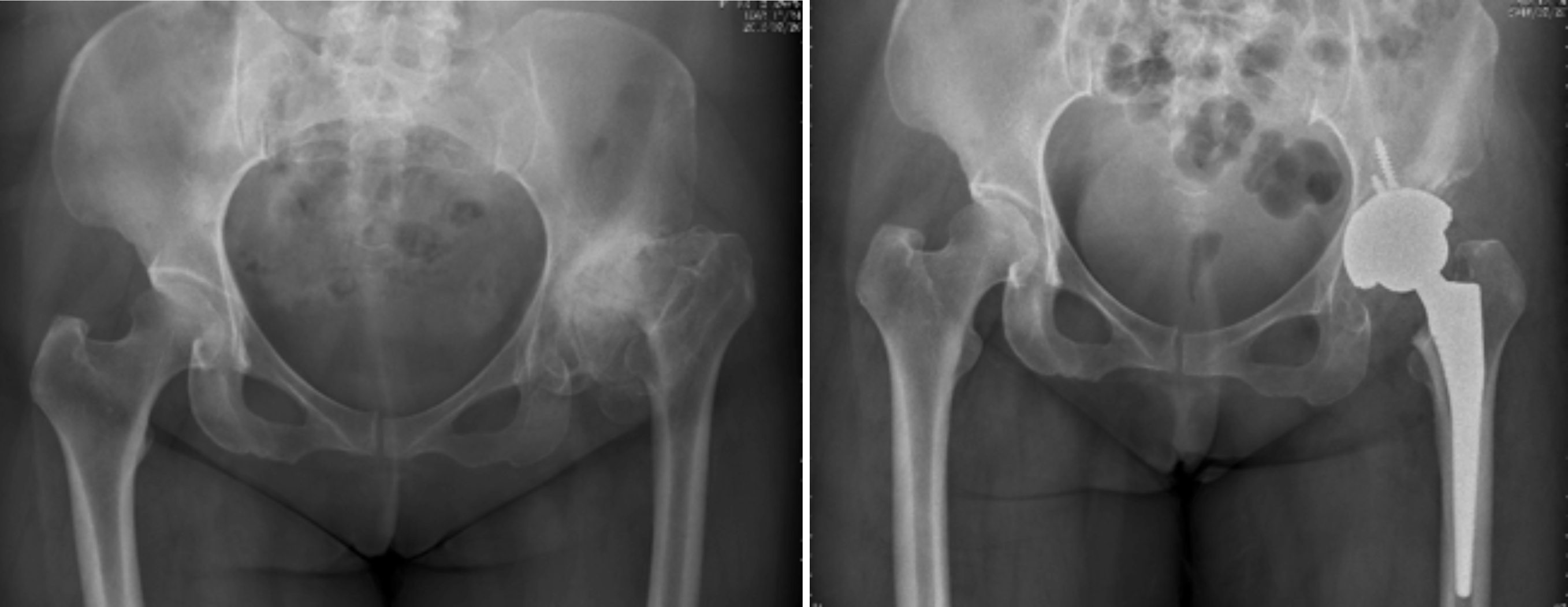
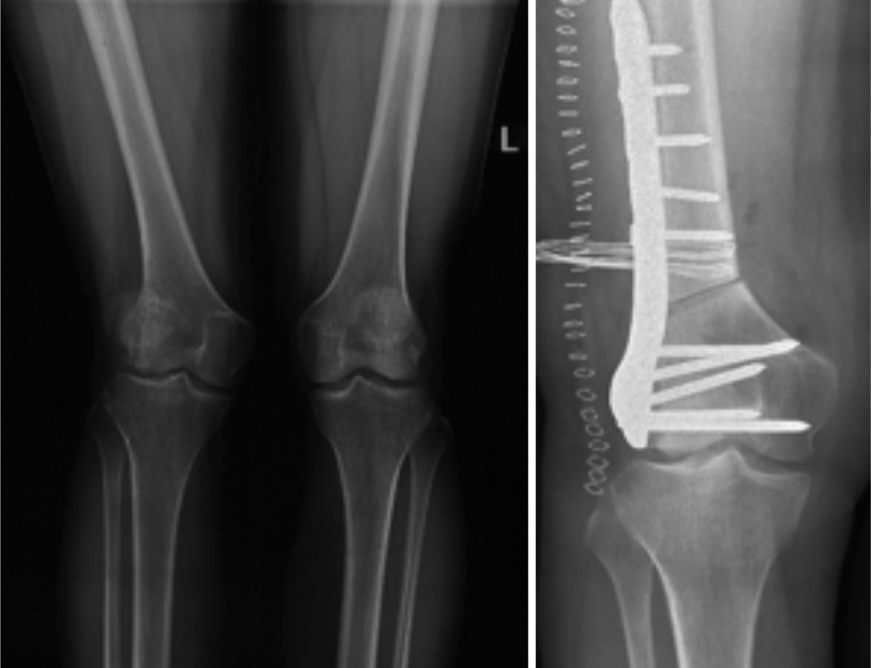
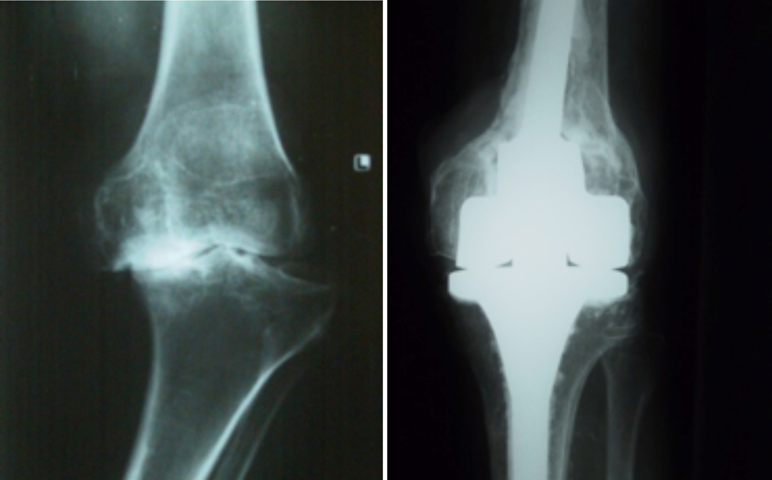
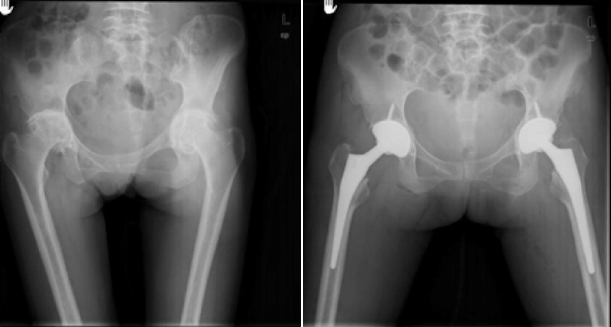
  一、人工关节置换 各种晚期骨关节病的关节置换手术治疗是北京清华长庚医院关节外科中心的一大特色,包括股骨头坏死、髋膝骨关节炎、类风湿关节炎、强直性脊柱炎、髋关节发育不良、关节强直、超过80岁的超高龄股骨颈骨折患者的关节置换手术等,我中心在人工关节初次置换及翻修上作了大量工作,置换的难度和手术效果方面已达到国际先进水平,导航下全膝关节置换术:大大提高膝关节置换手术的精确度。

  局限性关节置换手术(UKA)

  全膝关节表面置换手术(TKA)

  铰链式人工膝关节置换手术(HK)膝关节周围韧带严重破坏

  国内首例膝关节置换术后Felix IIB型胫骨假体周围骨折翻修术

  股骨头缺血性坏死

  髋关节发育不良

  强直性脊柱炎双髋强直

  股骨颈骨折

  二、截骨矫形

  成人肢体骨与软组织畸形、如:斜颈畸形、臀肌筋膜挛缩症、先天性骨关节疾病畸形、先天性髋关节脱位分期治疗、先天性马蹄内翻足矫形术、X型腿、O型腿、创伤后畸形、小儿麻痹后遗症的肢体畸形矫形、脑性瘫后遗症的肢体畸形矫形等。

胫骨截骨矫形手术(HTO)

  股骨远端截骨矫正膝外翻

  三、微创手术

  开展关节镜下交叉韧带单、双股解剖重建技术、膝关节多韧带损伤的一期修复重建术、半月板缝合技术、骨软骨移植技术、同种异体移植治疗交叉韧带损伤、双隧道重建交叉韧带、肩关节镜下肩袖修补和SLAP损伤修补术,及肘、踝、腕、髋关节镜术。专业运动员伤病诊治技术、股骨髋臼撞击综合症、股骨头坏死阶梯治疗技术、骨软骨移植技术

  关节镜清理、软骨移植修复

  小孔径多孔道低钻速钻孔减压

  膝关节镜-半月板损伤

  膝关节镜-前交叉韧带重建

  膝关节镜-关节内游离体

  膝关节镜/肩关节镜/踝关节镜/髋关节镜/肘关节镜

  

  四、关节置换术后康复和随访 规范完善的术后康复和随访是关节置换患者获得良好关节功能的重要保障。我科关节中心为每位患者准备多媒体视频演示,便于患者理解术前及术后康复计划。我中心根据病人的情况制定康复计划和出院标准,并设立专人在术后6周、3个月、6个月对出院患者进行定期的电话随访,以保证患者获得良好的康复锻炼效果。