English
网站地图
首页
医院概况
医院简介
办院宗旨
医院特色
组织架构
领导团队
特色诊疗
多学科联合诊疗
专病中心
远程中心
器官移植
国际医疗
卓越病种
科室导航
内科部
内分泌与代谢科
感染性疾病科
消化内科
肾脏内科
心血管内科
呼吸与危重症医学科
神经内科
血液肿瘤科
风湿免疫科
老年医学科
精神心理科
外科部
普通外科(甲状腺乳腺疝外科)
胃肠外科
心脏外科
血管外科
胸腔外科
神经外科
泌尿外科
整形外科
麻醉科
疼痛科
腹膜肿瘤科
胃肠肿瘤科
妇儿部
儿科
妇产科
预防保健科
儿外科
急重症部
普通内科
急诊科
重症医学科
呼吸治疗科
专科部
康复医学科
皮肤科
中医科
耳鼻咽喉头颈外科
医技部
放射治疗科
病理科
检验医学科
输血科
超声科
药剂科
临床药学科
临床营养科
放射诊断科
核医学科
全科与健康医学部
全科医学科
健康管理中心
肝胆胰中心
中心简介
中心动态
健康教育
医师团队
肝胆胰中心各科室简介
肝胆胰外科
肝胆内科
肝胆介入科
肝胆肿瘤科
儿童肝病科
肝脏ICU
肝移植科
肝胆研究实验室
器官移植中心
中心简介
中心动态
健康教育
医师团队
器官移植中心各科室简介
肾移植科
骨科与运动医学中心
科室首页
科室介绍
科室动态
健康教育
医师团队
眼科中心
科室首页
科室介绍
科室动态
医师团队
健康教育
口腔医学中心
科室介绍
科室动态
健康教育
医师团队
消化中心
中心简介
中心动态
健康教育
医师团队
其他
医疗美容科
就医服务
就医指南
预约挂号
出诊信息
医保专栏
价格查询
报告查询
执业医师信息查询
护士信息查询
预约体检
患者满意度
信息动态
图片医院
新闻动态
轮播图片
活动预告
健康宣教
媒体报道
医院影像
新闻专题
院务公开
招标信息
科普视频
医学人文
护理天地
护理简介
护理特色
护理动态
天使风采
教育教学
教育动态
在校教育
住院医培训
继续医学教育
科学研究
科研动态
科研进展与代表性论文
学科带头人
科研平台
社会服务
社服介绍
社服动态
活动预告
慈善项目
志愿服务
人才招聘
联系我们
地理交通
友情链接
院长信箱
党风廉政信箱
医院概况
+
医院简介
办院宗旨
医院特色
组织架构
领导团队
特色诊疗
+
多学科联合诊疗
专病中心
远程中心
器官移植
国际医疗
卓越病种
科室导航
+
内科部
外科部
妇儿部
急重症部
专科部
医技部
全科与健康医学部
肝胆胰中心
器官移植中心
骨科与运动医学中心
眼科中心
口腔医学中心
消化中心
其他
就医服务
+
就医指南
预约挂号
出诊信息
医保专栏
价格查询
报告查询
执业医师信息查询
护士信息查询
预约体检
患者满意度
信息动态
+
图片医院
新闻动态
轮播图片
活动预告
健康宣教
媒体报道
医院影像
新闻专题
院务公开
招标信息
科普视频
医学人文
护理天地
+
护理简介
护理特色
护理动态
天使风采
教育教学
+
教育动态
在校教育
住院医培训
继续医学教育
科学研究
+
科研动态
科研进展与代表性论文
学科带头人
科研平台
社会服务
+
社服介绍
社服动态
活动预告
慈善项目
志愿服务
人才招聘
联系我们
+
地理交通
友情链接
院长信箱
党风廉政信箱
English
网站地图
信息动态
您现在的位置:
首页
-
信息动态
-
新闻动态
图片医院
新闻动态
轮播图片
活动预告
健康宣教
媒体报道
医院影像
新闻专题
院务公开
招标信息
科普视频
信息动态
新闻动态
八一|当白大褂遇上绿军装
2023-08-01
世界肝炎日丨被忽视的肝脏杀手——戊型肝炎
2023-07-28
主题教育 | 中国健康教育中心第四党支部走进清华长庚医院...
2023-07-27
右眼皮跳3年 原来是面肌痉挛!
2023-07-26
清华长庚廖秦平教授连任海峡两岸医药卫生协会第二届妇科专业...
2023-07-24
清华长庚2023年度首期“美丽人生”淋巴水肿病友小组活动...
2023-07-24
【科普】手足口病高发了?这样做,保护好孩子!
2023-07-20
北京清华长庚医院与中核医疗产业管理有限公司签约合作
2023-07-20
市团体二等奖!清华长庚青年麻醉医师绽放光芒
2023-07-19
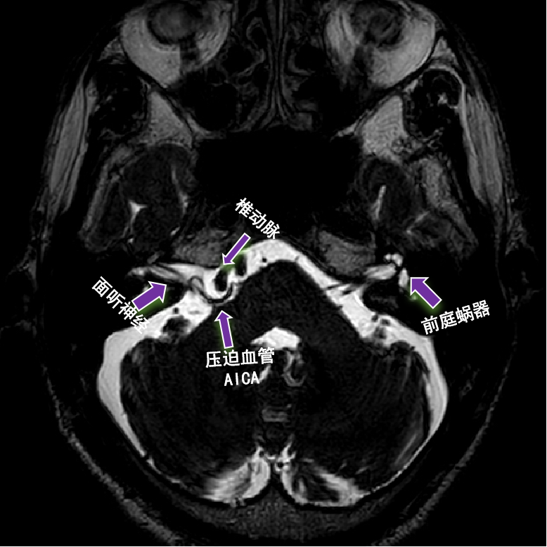
眩晕挂啥科?清华长庚开设眩晕专病中心
2023-07-18
北京清华长庚医院GCP团队亮相中国国际药物信息大会暨20...
2023-07-17
市宣讲三等奖!她讲了一个“追星”的故事
2023-07-13
清华长庚王贵怀团队与清华大学王秀梅、伍晖团队合作项目获日...
2023-07-12
主题教育 | 党建引领深入调研,精准做好京蒙对口医疗帮扶...
2023-07-12
清华长庚医院何作祥教授当选中国核学会医学物理学会理事长
2023-07-10
车祸后9次大手术仍生命垂危 清华长庚小肠移植助患者获新...
2023-07-07
首页
上一页
...
36
37
38
39
40
下一页
尾页
1
2
3
4
5
6
7
8
9
10
11
12
13
14
15
16
17
18
19
20
21
22
23
24
25
26
27
28
29
30
31
32
33
34
35
36
37
38
39
40
41
42
43
44
45
46
47
48
49
50
51
52
53
54
55
56
57
58
59
60
61
62
63
64
65
66
67
68
69
70
71
72
73
74
75
76
77
78
79
80
81
82
83
84
85
86
87
88
89
90
91
92
93
94
95
96
97
98
99
100
101
102
103
104
105
106
107
108
109
110
111
112
113
114
115
116
117
118
119
120
121
122
123
124
125
126
127
128
129
130
131
132
133
134
135
136
137
138
139
140
141
142
143
144
145
146
147
148
149
150
151
152
153
154
155
156
157
158
159
160
161
162
163
164
165
166
167
168
169
170
171
172
173
174
175
176
177
178
179
180
181
182
183
184
185
186
187
188
189
190
191
192
193
194
195
196
197
198
199
200
201
202
203
204
205
206
207
页
上一页
下一页
微信扫一扫
北京清华长庚医院APP
快速挂号
返回顶部