#

信息动态

您现在的位置: 首页 - 信息动态 - 新闻动态
信息动态

零卧床 早回家 清华长庚神经介入开启国际先进经桡颈动脉支架新技术

  北京清华长庚医院4月13日电(通讯员  沈懿  赵心怡)近日,清华大学附属北京清华长庚医院神经内科介入团队,顺利为一位右侧颈内动脉走行迂曲严重脑血管病变患者完成桡动脉入路的支架成形介入手术,术后患者即刻下地,次日平稳出院。这也是医院首例经桡入路的复杂颈动脉支架植入手术。

  今年二月,年近七旬的老李(化名)因右颈内动脉起始部重度狭窄及右椎动脉闭塞,慕名找到我院神经内科张小峰副主任医师。经询问得知,老李高血压、冠心病多年,在这次发现脑血管狭窄之前,却没有出现过脑出血症状,“老李患有高血压、冠心病多年,根据检查结果显示已属于高危脑血管病人群了。” 张小峰说道,“幸运的是,得益于长期遵嘱服用药物,他还没有发生严重的脑血管病。”经沟通,老李同意住院做详细的脑血管评估。

脑血管造影示右侧颈内动脉起始部极重度狭窄(左图箭头),左侧颈内动脉C4重度狭窄(右图箭头)

  入院后,全脑血管造影检查提示,除已知的右侧椎动脉闭塞之外,老李还存在两处严重病变:一处是重达90%的右侧颈内动脉起始部狭窄,颈部斑块成分学检查显示存在溃疡斑块,这类斑块因内部血流动力学不稳定、反复炎症出血激发凝血机制等原因,更易导致颅内外血栓形成。另一处是左侧颈内动脉颅内段一处达70-80%的重度狭窄。

  磁共振脑灌注成像提示,老李双侧大脑半球的脑血流对称性减少,说明重度狭窄已导致了相应区域的供血不足。

 

磁共振灌注成像提示双侧大脑半球脑血流对称性较少

  想要解决老李这三处严重堵塞,需要先后两次穿刺植入支架。由于堵塞位置靠近颈动脉窦,这里是人体的血压感受器,如采用常规股动脉穿刺可能会引起“窦反射”(血压、心率骤降)增加术中风险,而且短期内多次股动脉穿刺会增加下肢血管闭塞等并发症的风险。“手术做两回,每次这大腿都得一动不动待够24小时,太受罪了!您能不能想办法从手做呢?”犯了愁的老李也向医生咨询道。

武剑(左五)组织神经内科展开术前讨论

  为此,神经中心主任武剑组织神经内科共同讨论手术方案,决定优先为老李处理狭窄程度相对更重、斑块性质不稳定的右侧颈内动脉起始部病变。经桡入路动脉直径更细,更易于压迫,术后压迫时间更短、力度更轻,疼痛体验更少,间接诱发窦反射的风险相对更小,因此经桡入路对于老李来说确实是更优选的方案。

  然而,又一个问题浮现在医师们眼前:脑血管造影提示老李右颈内动脉、锁骨下动脉形成锐利的夹角,也就是说,如果想要把导管送入右颈内动脉,就需要反折近乎180°!这为经桡入路带来极大挑战,不仅通路建立存在困难,还可能会出现支架输送不到位、输送过程中支架掉落、保护伞回收困难等多种技术上难题。经全面研究病历与影像资料,介入团队准备了联合方案与多套备选方案,向复杂路径的经桡颈动脉支架发起挑战。

导引导管入路示意图(左)与借助望远镜技术将导引导管“U型”送入右侧颈内动脉病变远端(右)

  术中,在成功穿刺右侧桡动脉后,张小峰带领神经内科主治医师王也、医师沈懿,借助“望远镜”技术(同轴技术),先后将长导丝、造影管和导引导管送入至病变远端,以弥补普通导引导管无法通过迂曲血管的不足,随后采用球囊预扩张技术,对病变部位的血管直径及病变狭窄等情况进行探查。在撤出过程中,张小峰凭借经验及时调整系统张力,以球囊作为锚定点将导管精准定位,避免了术中容易出现的导管脱出问题。介入团队继续使用“特洛伊木马”技术,谨慎输送并于狭窄处精准释放支架。复查造影,右侧颈内动脉起始部的重度狭窄完全开通。不到1小时,手术顺利结束。

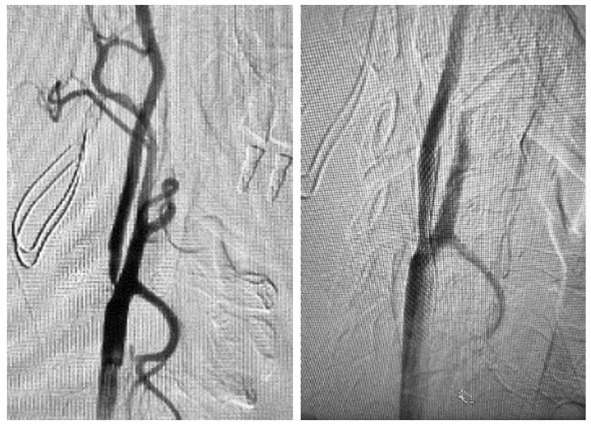
术前脑血管造影示右侧颈内动脉起始部极重度狭窄(左)

与术后复查造影示右侧颈内动脉起始部狭窄完全开通(右)

  术后复查造影,结果显示右侧颈内动脉起始部的重度狭窄开通了,老李高兴地竖起大拇指。回到病房后,他自如地下地活动,桡动脉穿刺点愈合良好,第二天便出院回家了。1个月后,团队再为老李处理左侧颈内动脉的血管病变。

患者为团队竖起大拇指

  相较于股动脉入路,经桡/远桡入路手术患者痛苦较轻,穿刺点出血、深静脉血栓等并发症出现率及对患者的损伤较低,体现了“以患者为中心”的治理理念。“清华长庚神经介入团队是一支不断创新、不惧挑战的强大队伍,我们与神经外科以及清华医工交叉团队紧密合作,全面开展各项先进的脑血管神经介入诊疗技术,共同守护脑血管病患者的健康。”武剑说道。