#

信息动态

您现在的位置: 首页 - 信息动态 - 新闻动态
信息动态

一枚春节时误食入气道的硬币

  北京清华长庚医院3月15日电(通讯员 郭文佳)春节包饺子放硬币,谁吃到了这个蕴含祝福的饺子,意味着一年的好运、吉利。然而两个月前过年时,吃到硬币的刘大爷(化名)就没那么“幸运”了。

  79岁的刘大爷,过年吃到了祝福饺子,本是非常开心的事,可没想到他不慎吞下了饺子里的硬币,由于当时没有太多不适,刘大爷并没有在意。几天后,他出现了不明原因的气短、咳嗽伴咯血,因为本身患有肺间质纤维化、肺功能较差,在当地医院被诊治为肺炎后也没有多想,随后进行了抗感染治疗,但效果不佳、久治不愈。作为十几年来一直在北京清华长庚医院呼吸与危重症医学科主任牟向东处随诊的“老病号”,他从内蒙古老家来到北京,想请牟医生看看到底怎么了。

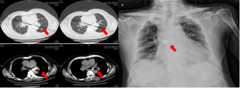
图1. 入院胸部CT示左主支气管内硬币大小异物一枚(红色箭头所示)入院第2天复查床旁胸片提示硬币样异物自行转移至右主支气管内(红色箭头所示)。

  听完刘大爷的讲述,呼吸科病房李理主治医师为他安排了胸部CT,结果提示左主支气管内异物,需要通过电子支气管镜取出。当刘大爷经牟医生提示看到片子中的圆形异物时,才恍然想到,这竟是春节吃到的那枚硬币!

  但由于患者肺功能较差导致血氧较低,不能承受经鼻腔的全麻支气管镜,经与麻醉科评估,牟向东为他行半麻的经口行支气管镜,镜下可见硬币已从左主支气管内滚动到右主支气管内且嵌顿管口,牟向东用异物钳快速顺利取出异物,时间不到1分钟,刘大爷气短、咳嗽症状明显缓解。

牟向东在门诊诊疗工作中

  专家提醒,饺子里吃硬币是一项热闹的春节习俗,但对于老人、孩子或者存在吞咽功能障碍的人群,容易导致误食,最好向这项传统习俗说“不”。同时,进食时避免大笑、大闹及说话等,避免出现异物吸入气道造成危险,严重者可造成窒息死亡。如有异物不慎吸入气道,患者应立即就医,视实际情况,行支气管镜检查或手术治疗异物取出异物,避免生命危险,保证安全。