#

信息动态

您现在的位置: 首页 - 信息动态 - 新闻动态
信息动态

听力受损20年 依靠文字交流的他在清华长庚重获听力

  北京清华长庚医院2月20日电(通讯员 郭振平)患者赵先生今年55岁,可他听力受损已经有约20年了:35岁时,他右耳出现听力进行性下降,10年后,他的左耳又出现波动性听力下降并伴随发作性眩晕、耳鸣、耳闷胀感。可多年来他辗转多地就医未见明显好转,佩戴助听器效果欠佳,随着病情进展双耳几乎失聪,无法口语交谈,只能通过文字进行交流,日常生活受到极大影响,情绪也变得很差。                                          

  近半年来,赵先生眩晕发作频繁,经推荐,他从河北老家来到北京清华长庚医院耳鼻咽喉头颈外科副主任伊海金的门诊。在完善听力学相关检查及钆造影MR等辅助检查后,结果提示患者右耳极重度感音神经性耳聋、左耳重度感音神经性耳聋,左侧水平半规管功能降低,眩晕障碍量表显示躯体、情绪及功能严重障碍。结合问诊,伊海金诊断患者是由于迟发性膜迷路积水(DEH)导致的双侧严重的听力损失和前庭功能障碍。

  

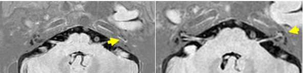
  图为内耳钆造影MR,左侧耳蜗顶转、中转及前庭半规管未见明确显影

  DEH为临床少见病,其特点是长期听力损失的患者出现内淋巴积水,典型症状包括进行性和波动性听力下降,耳闷胀感,耳鸣和(或)发作性眩晕伴恶心、呕吐等,潜伏期可能会长达数十年,严重影响患者听觉、平衡功能及心理健康,导致无法正常进行社会交往。

  明确诊断后,伊海金为赵先生进行了右侧人工耳蜗植入术,帮助他恢复听力,人工耳蜗开机后,他依要求按时进行听觉康复训练,同时,伊海金还为患者进行左侧鼓膜置管合并鼓室内注射激素治疗,改善左耳眩晕情况并稳定听力。治疗一段时间后,赵先生听力水平得到好转,已经可以通过口语进行简单交流,眩晕也再未发作,目前正在逐步恢复正常工作与生活。

  

  据伊海金介绍,内耳包括听觉与平衡两大功能,内耳功能受损会导致听力损失或眩晕,其中包括各种类型的聋病、梅尼埃病或耳石症等,在不同程度上影响患者生活,不能轻视。此外,听力下降到一定程度时,助听器无法满足日常生活需要,选择植入人工耳蜗可以更好地改善听力,以帮助患者回归社会。因此,一旦发生耳鸣、耳聋、眩晕等情况,应及时到专业门诊就诊,早发现早诊断早治疗。