#

信息动态

您现在的位置: 首页 - 信息动态 - 新闻动态
信息动态

清华长庚用机器人切除21厘米肝脏肿瘤 达成患者小创口心愿

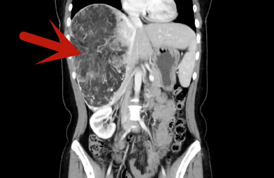
  北京清华长庚医院2月8日电(通讯员 于悦超)近日,清华大学附属北京清华长庚医院肝胆胰外科团队,利用“达芬奇”机器人,为患者切除肝脏巨大血管平滑肌脂肪瘤,瘤体长21.3厘米、重量约5斤。

  患者是位27岁的年轻女性,在一次体检中查出肝脏患有血管平滑肌脂肪瘤,当地影像提示肿瘤大小就已经达到了15.0cm×10.9cm×20.7cm。患者慕名到北京清华长庚医院肝胆胰外科就诊,先后问诊了李虎城主任医师和宋继勇副主任医师。“肝脏血管平滑肌脂肪瘤虽然是良性病变,但肿瘤增大后会压迫相关组织和脏器,并且有破裂和恶变的可能,需要手术切除。”宋继勇说,然而进一步的检查发现,患者的情况远不止肝脏占位这般简单,“我们发现患者还存在明显的门静脉海绵样变,肝门部血管增生严重,可能是由于肿瘤引起的血供增加导致的血管增生。”。

  

  红色箭头处为肿瘤位置

  术前,肝胆胰外科团队通过三维重建等,对患者肝功能储备、肝脏与周围血管关系等展开充分评估。如此大的肿瘤,传统的开腹切除是首选,然而,术前谈话时,手术团队了解到,患者对开腹手术后可能留下腹部较大的手术疤痕感到担忧,不愿接受传统的开腹手术,询问有无微创治疗的可能性。为了达成患者的意愿,宋继勇联合肝胆胰外科闫军副主任医师组织了科室会诊。“考虑肿瘤为良性,对周围的重要脉管无侵犯,从切除角度出发只需切除右半肝,而且在评估后患者的剩余肝体足够,符合微创治疗的手术指征,但是由于常规腹腔镜手术器械的局限性,无法达到肿瘤后部和底部,因此,机器人手术更为适合。”闫军说道,手术机器人系统具有清晰和放大的3D视野,加上能实时同步手术医生动作的机械手,可有6个方向的自由度,540°旋转,达到甚至超越人手的灵活性,在狭小的腹腔空间内可进行灵活、精准的操作。最终,经综合讨论,肝胆胰外科团队制订了经“达芬奇”机器人切除肿瘤的手术方案,然而,如此巨大肝脏肿瘤的切除,机器人也是在大出血风险的边缘试探,对操作者技艺发起极高挑战。 

  闫军操作“达芬奇”机器人进行手术

  在做好充分术中预案的基础上,由闫军主刀,肝胆胰外科主治医师王鹏飞辅助下实施了右半肝切除术。术中,闫军小心谨慎操作机械臂,避免瘤体破裂的同时,采取与常规肝切除不同的“前入路”方法,先将肝脏与肿瘤劈离开,离断右肝蒂、右肝静脉、肝短静脉等重要血管,再对肿瘤周围的韧带进行游离直至摘除。为了取出肿瘤,手术团队需于患者下腹部切口,为了尽力满足年轻姑娘的爱美之心,相较于传统开腹手术需有近跨越半身30多厘米左右长的L型刀口,该取肿瘤的刀口特规划于耻骨上缘部切口,类于剖宫产刀口,相对隐蔽,长度15厘米左右,并特别安排了美容缝合。患者术后恢复顺利,日前已康复出院。

  

  切除后的肿瘤组织

  据闫军介绍,如此巨大的肝脏实体性肿瘤采用微创手术切除,国内外罕有报道。秉承董家鸿院士首创的“精准肝胆外科理念”,肝胆胰外科医师团队不断创新及丰富相应的技术,努力以最优的个体化治疗方案,为每位患者带来最大化收益。