#

信息动态

您现在的位置: 首页 - 信息动态 - 新闻动态
信息动态

“达芬奇”再次助力 清华长庚多学科联合完成经自然腔道取病变组织的直肠癌肝转移同期切除术

  北京清华长庚医院2月1日电(通讯员/徐田磊  编辑/于悦超)近日,清华大学附属北京清华长庚医院胃肠外科主任李元新团队联合肝胆胰外科副主任医师闫军团队,操作“达芬奇”机器人顺利为患者实施直肠肿瘤、肝脏肿瘤同期切除-经自然腔道(直肠、肛门)取标本的手术,术中腹部无切口。

  

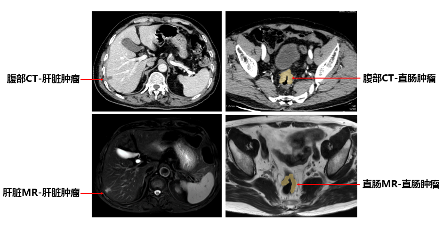
  患者影像

  患者为58岁男性,因近3个月反复便血来到我院胃肠外科李元新门诊,肠镜检查提示距肛门9-12cm处存在环半周溃疡型肿物,大小约3*4cm,病理为腺癌,进一步全腹部增强CT与核磁提示直肠恶性肿瘤,并怀疑伴有肝转移。“原发肿瘤位于直肠中段,侵出肠壁肌层,由于区域淋巴结无肿大,环周切缘与壁外血管侵犯阴性,肿瘤复发风险较小,不需要进行放疗。”李元新说,“这种情况,我们采用高质量的全直肠系膜切除手术(TME),对患者获益较大。”

  根据肝脏肿瘤的情况,李元新联合肝胆胰外科、肿瘤内科、放疗科、消化内科和护理等多学科讨论,考虑到转移肿瘤位于肝脏表面,大小约2*1cm,“肝转移灶只有一个,复发风险较低,且残肝量大于50%,根据多项国际指南的推荐,优先选择直接手术切除。”闫军介绍道。 患者心肺功能无明显异常,经麻醉科和重症医学科评估后,可耐受肝脏与直肠同期切除。为减少手术创伤,团队决定经患者的自然腔道(直肠与肛门)取出病变组织(NOSES),不再做腹部辅助切口,在保证肿瘤根治性切除且符合手术适应证的前提下,此种术式患者腹部创伤小,疼痛轻,有利于术后快速恢复。最终,团队联合为患者制订全麻下“达芬奇”机器人肝脏肿瘤切除术-直肠癌切除术,后经直肠与肛门取出病变组织。

  闫军(左)团队进行手术

  术中,首先由闫军操作达芬奇机器人,肝胆胰外科医师李超通过配合使用腹腔镜,小心、反复游离肝周韧带,结合术中超声,锚定肝脏肿物区域,悬吊部分组织,显露肿物清晰位置后,完整切除肝脏病变,并将其置于体内指定位置,等待与后期被切除的直肠病变组织一同取出。

  李元新(左)团队进行手术

  李元新继续操作达芬奇机器人,主治医师徐田磊默契配合,利用“达芬奇”机器人放大高清的图像,在保护神经的同时,精准游离、切除病变直肠。利用机器臂高灵活度特点,李元新将直肠病变连同已切除的肝脏病变,一同经直肠、肛门取出。随着消化道重建和缝合工作的完毕,手术历时6小时顺利结束。术后患者恢复顺利,术后第1天排气,第3天恢复流食饮食,1周后顺利出院。

     “我们重视肿瘤患者的综合治疗,利用达芬奇机器人,一次手术解决直肠癌和肝肿物两大问题,借助我院多学科整合优势,为患者提供最优治疗方案,既注重肿瘤病灶的清除,提高远期疗效,又注重功能保护,提高病人生活质量。”李元新说。

        除高难度特色手术外,北京清华长庚医院胃肠外科开展了系列微创手术技术,如完全腹腔镜全胃切除、腹腔镜全结肠切除、经自然腔道取出标本的金陵术和结直肠癌根治手术、袖状胃和胃旁路代谢减重手术等。“达芬奇”手术机器人的加持将使科室在精准微创外科的发展中再上台阶,为患者带来更好的临床获益。