#

信息动态

您现在的位置: 首页 - 信息动态 - 新闻动态
信息动态

争分夺秒!国庆节期间清华长庚呼吸多学科团队抢救重症肺炎患儿

  北京清华长庚医院10月4日(通讯员 李理 牟向东)正值国庆节假期,一阵急促的铃声响起,北京清华长庚医院呼吸与危重症医学科主任牟向东接起了电话。原来,有一名外院转诊至我院儿科的重症肺炎、肺不张患儿病情突然加重,出现了急性呼吸衰竭,情况危机!

患儿外院胸部CT显示右肺上叶实变伴不张,右主支气管轻度狭窄(10月1日)

  患儿是一名8岁的小女孩,9月27日因咽痛、咳嗽、咳痰及咳痰无力入住外院,既往曾出现过喘息性支气管炎。经过积极抗感染、祛痰等治疗,患儿仍出现病情持续进展,并出现了呼吸困难。10月1日胸部CT显示右肺上叶肺实变伴不张,遂转入北京清华长庚医院进一步治疗。

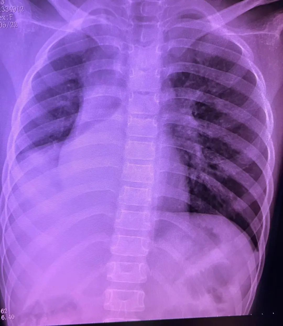
入我院复查胸片可见右肺不张,气管及纵隔向右移位。病情较前明显恶化。

  入院次日,患儿的指尖血氧饱和度下降至88%左右,心率最高135次/分。体格检查显示患儿精神差,咳痰无力,右侧胸廓塌陷,呼吸动度消失,右肺叩实音,右肺呼吸音几乎完全消失。

  病情危重,需要紧急行气管镜下吸痰治疗,而孩子年龄小、身体状况差,呼吸又已衰竭,需要在手术室全麻情况下进行治疗。这对呼吸、麻醉和手术室团队而言都是挑战!

  病情就是命令,呼吸科应急团队牟向东、主治医师李理、护士白凤辉同时紧急赶往医院,手术室团队也迅速做好了准备。术中,麻醉科副主任高志峰经过评估,采用气管插管迅速建立全身麻醉下机械通气,期间患儿血氧饱和度及双肺呼吸音明显下降,气道压力在41-42mmHg之间,明显升高。

牟向东(右二)和高志峰(左二)在手术中

  牟向东立即行气管镜检查,发现患儿左右主支气管全部被脓性分泌物阻塞,粘稠的痰液堵住了患儿的气道,伴气道黏膜肿胀,大量的脓性分泌物还从远端支气管不断涌出,导致血氧下降不能维持正常。经过反复支气管镜吸痰并多次支气管肺泡灌洗后,痰液明显减少,同时听诊肺部弥漫性哮鸣音,血氧不稳,即刻静脉及经支气管镜局部给予地塞米松治疗。

  经过前后接近两个多小时的治疗,患儿的呼吸道逐步通畅,心率、血氧饱和度和气道峰压力恢复正常,术后患者转监护室继续治疗。

  左:支气管镜术后复查床旁胸片显示病变较前明显好转,纵隔及气管较前复位

  右:监护室中监护仪显示患者氧合100%,呼吸频率下16次/分,气道峰压21mmHg

  患儿复查时胸片显示病变较前明显好转,纵隔及气管较前复位。根据迅速检测明确的病原学检测结果,牟向东和儿科主任徐樨巍、主任医师晁爽、主治医师尹小梅、LICU主任医师张振宇、主治医师李姗等为患者制定了下一步的治疗方案。

  肺炎及下呼吸道感染是儿童及成人的常见病和多发病,是引起儿童和老年人死亡的重要原因。由于儿童气管支气管发育不成熟,气道分泌物难以排出,可导致肺不张、感染迁延不愈、甚至窒息死亡,还可能遗留支气管扩张等后遗症。老年人也常常存在误吸及排痰功能障碍等疾病,导致肺炎的死亡率明显增高。

  “重症肺炎起病快、病情重、变化快、并发症多,重症肺炎的正确诊断和及时正确治疗是降低病死率、提高治愈率的关键。”牟向东说道,支气管镜吸痰和肺泡灌洗治疗是良好的检查和治疗手段,但是对于术者的操作技术以及麻醉要求很高。北京清华长庚医院呼吸多学科团队已经开展各种支气管镜检查和操作,可为相关疾病患者保驾护航。