#

信息动态

您现在的位置: 首页 - 信息动态 - 新闻动态
信息动态

高难度挑战!清华长庚神经中心顺利实施颈动脉闭塞再通杂交手术

  北京清华长庚医院7月15日电(通讯员 赵心怡)近日,清华大学附属北京清华长庚医院神经中心的长节段慢性血管闭塞患者老赵(化名)出院了。“你们费心了!”他激动地向医师们连连道谢。而老赵与清华长庚神经中心的故事,还要从2018年说起。

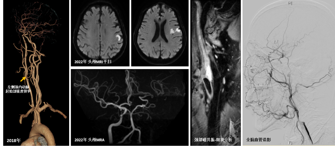
  4年前,老赵因一次事故,被转运到清华长庚并诊断为蛛网膜下腔出血,医生在排查颅内出血原因的过程中,发现他左侧颈内动脉起始部重度狭窄。颅内出血病情平稳后,尽管患者遵医嘱使用脑血管病预防药物,可颈部斑块仍然逐年增大,最终在2个月前发生脑梗。

  紧急来到清华长庚后,神内副主任医师李珺发现患者有从颈动脉起始段到眼动脉段的长节段慢性血管闭塞。管腔内的出血性斑块,印证了本次脑梗正是由于颈内动脉起始处不稳定的大斑块突然崩解碎裂所致。

  2018年头颈CTA示左侧颈内动脉起始部重度狭窄/2022年3月头颅MRI显示左侧颈内动脉供血区多发脑栓塞病灶,头颅MRA可见左侧颈内动脉全程闭塞,全脑血管造影可见左侧颈内动脉闭塞

  供血“源头”断了,如何再“通起来”?

  长节段慢性血管闭塞再通有很大难度,无论是介入开通,还是颈动脉内膜剥脱术联合介入开通的“杂交”治疗手段,都面临着血管再通率低、再闭塞率高的情况,术后也可能出现脑栓塞、脑水肿等并发症,是一项具有高难度、高风险的挑战。

  保守治疗的同时,神经内科第一时间组织科室讨论。“虽然多年的颈动脉狭窄迫使患者颅内生成了侧支血管循环代偿,保证了颈内动脉的重要分支血供充足,但侧支不比主干,开通闭塞的主干道才是真正改善颅内血流、预防远期卒中的最佳选择。”神经中心主任武剑说道。

武剑同张小峰、郭毅、苏伟床旁查看患者,并组织神经中心联合术前讨论

  患者也表达了希望能够开通堵塞主干道的意愿,给医师们注入了一针“强心剂”。为此,武剑先后组织了3次术前讨论,神内介入组副主任医师张小峰同神经外科副主任郭毅、副主任医师苏伟认真研究后,决定先由神外行颈动脉内膜剥脱术开通颅外段闭塞血管,剩余闭塞节段交由神内介入团队进行再通,同时准备包括抽吸取栓、支架植入术、球囊扩张术等多种备用治疗技术。为确保手术安全,神内同时联合麻醉科和重症医学科,就术中可能出现的新发脑栓塞、血管开通失败等潜在危险做好预案,通过多学科联合诊疗,挑战手术高峰。

  多方联合  为平稳手术保驾护航

  术中多方联合,麻醉科监护患者有创动脉压与脑氧,神外电生理护士王国琴监护神经传导通路完整性,神经技师吴喆查看脑血流变化、实时监测是否实现血流再通与新发栓子脱落,全方位多模态监护为确保患者手术安全。

术中采用的脑血流监测技术、电生理脑电、脑氧监测等全方位多模态监护也为手术顺利保驾护航

  郭毅与神外医师范玉龙配合,在显微镜下显露颈动脉分叉与颈内动脉起始部,小心切开动脉,清晰分辨出动脉壁各层与斑块,顺利将严重钙化的颈动脉斑块完整剥除。

  在颈动脉切口处,由张小峰,神内主治医师王也、医师徐文灯与苏伟组成介入团队,继续开通剩余的闭塞段。由于斑块又长又硬,介入团队首先进行多次抽吸取栓,大部分斑块取出后,再通过球囊扩张拓宽血管管腔,植入支架,术中监测显示颅内血管完整显影,颈动脉血流最终恢复通畅。

  神经外科医师完成颈动脉内膜剥脱,后介入团队继续开通剩余血管,复查造影颈内动脉血流恢复通畅,术后复查头颅影像学提示左侧大脑半球灌注比术前改善

  术后,患者不仅没有出现头痛、恶心、呕吐等症状,也没有发生相关并发症,复查显示,患者左侧大脑半球血流比术前有了明显改善。一周后,患者顺利出院。

  “这是神经中心内外科联合实现的一次重要突破,不仅让患者闭塞血管顺利再通,为其远期生活质量提供重要保障,还为后续开展慢性颅内动脉闭塞再通治疗提供了宝贵经验,”武剑说,“多学科互相合作支持,相信能为更多脑血管病患者带去希望。”