#

信息动态

您现在的位置: 首页 - 信息动态 - 新闻动态
信息动态

常见憋喘竟是罕见甲状旁腺癌 清华长庚联合手术助患者再次顺畅呼吸

  北京清华长庚医院6月1日电(通讯员 侯贤明)因最近总是稍一活动就喘不上气来,王女士(化名)来到清华大学附属北京清华长庚医院检查,令她和家人都没想到的是,这常见的憋喘症状,背后竟隐藏着“杀机”——甲状旁腺癌压迫气管导致了严重气管狭窄!

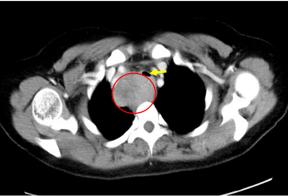
  甲状旁腺癌是一种罕见的内分泌肿瘤,其发病率只占全身恶性肿瘤的0.05%。王女士入院后检查发现,她的肿瘤直径已超过6cm,压迫气管导致严重气管狭窄,有发生窒息的风险;血甲状旁腺素指标高达793 ng/L,是正常人高值的十几倍;并且,其异常增高的血钙可导致高钙危象,如不及时进行治疗,可能造成致命性心律失常、精神症状等一系列多系统紊乱。

  

  红圈內为肿瘤;黄色箭头为受压的气管

  “必须尽快进行手术!”患者肿瘤由颈根部向下,紧贴气管延伸至心脏上方,向内压迫导致气管导致严重狭窄,患者出现了明显憋喘症状。胸外科副主任、主任医师陈东红介绍到,“这种情况对麻醉是个挑战,气管插管困难可导致患者窒息甚至死亡。并且,术中如果发现肿瘤侵犯气管,需要进行气管切除重建。如果肿瘤侵犯右侧头臂干动脉,还需要进行大血管切除重建。”

  经与普外科、麻醉科、内分泌科、ICU、呼吸科、耳鼻喉、心外科的多学科联合会诊,就麻醉方案、围术期的血钙管理、激素控制等进行讨论,最终订制了综合治疗方案:先行血钙控制治疗,最大化降低手术风险,然后通过颈、胸联合切口手术完整切除肿瘤。

  

  张欢(右二)、吉晓琳(右一)、何志斌(左一)做麻醉准备

  手术当日,麻醉科准备了包含清醒插管、气管切开、气管受累切除重建等在内的多种插管方案。术中,在麻醉科主任的张欢指导下,主治医师吉晓琳与何志斌采用纤维支气管镜进行探查,结合患者实际的气管狭窄宽度、长度等,顺利置入了满足通气的最细气管插管,为手术开了个好头。

  

  罗斌(左一)进行手术

  

  陈东红(右一)进行手术

  完成人工气道建立后,普外科主任罗斌首先分离位于颈根部的肿瘤,仔细解剖、游离肿瘤上端,保护甲状腺及周围血管不受损害。陈东红随后正中开胸,解剖、显露肿瘤的中下段,仔细将肿瘤与右侧头臂干动脉和气管分离,同时修补因肿瘤压迫造成的气管损伤。

  肿瘤在生长过程中包绕了右侧喉返神经的中段,为完整切除肿瘤,陈东红离断了肿瘤上下两端神经组织。为确保术后平稳拔除气管插管,避免窒息风险,术中进一步探查并确认了左侧喉返神经的全程完整性。历经6个多小时,手术顺利结束,气管弹性恢复,狭窄问题解除,于手术室拔除气管插管。

  术后,患者由于肿瘤摘除出现了甲状旁腺素快速回落,血钙下降,需要大量补钙。同时,由于术前血钙控制治疗产生的电解质水平波动、液体负荷加重等,患者出现了一定程度的右心脏功能不全。在重症医学科及胸腔外科的精心治疗照护下,患者的各项指标逐渐趋于稳定,不再憋喘,术后10天能自如活动,顺利康复出院。

  

  出院前陈东红(左一)、罗斌(右一)、张欢(左二)联合查看病人

  “甲状旁腺癌、甲状旁腺功能亢进的患者会后有疲劳、食欲减退、消瘦、恶心、呕吐、烦渴等非特异性症状;伴随着持续的钙质流失患者会出现还会出现骨质疏松、肾结石、高钙血症等表现,上述症状反复出现或者对症治疗效果不佳时,需要警惕甲状旁腺功能异常。”陈东红介绍说,“这例患者属于罕见的巨大甲状旁腺癌,治疗难度大,风险高。得益于家属的信任与配合与清华长庚多科室间的紧密协作,使手术圆满成功,也为将来罕见病的诊疗增添了更多的信心。”(编辑 于悦超)