#

信息动态

您现在的位置: 首页 - 信息动态 - 新闻动态
信息动态

急救!北京清华长庚医院为封控区患者紧急施行颅内血肿引流术

  北京清华长庚医院5月28日电(通讯员/于悦超  编辑/韩冬野)5月25日,清华大学附属北京清华长庚医院神经外科在发热门诊负压手术室,紧急为一名封控区患者行颅内血肿引流术,患者转危为安。

  患者2个月前受过脑外伤,近日出现头痛等症状,经北京清华长庚医院神经外科诊断,明确需住院治疗。当天上午,患者在家进行入院前准备时,病情突然加重,出现剧烈头痛、走路不稳、说话含混不达意等症状,不巧的是,其所在社区此时因疫情防控升级为封控区,社区居民足不出户。

张培海(右图右一)进行手术

  患者家属立即与医院联系,神经外科副主任郭毅结合症状判断患者病情危急,需要立即来院就诊,联系医务管理部、疾控感控办公室、发热门诊楼等部门紧急协调,医院立刻启动了封控区患者应急就诊流程。

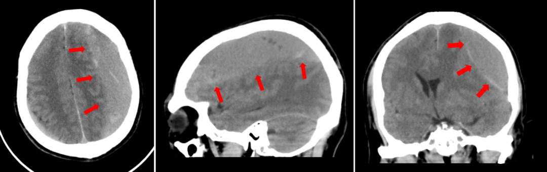
  患者由社区安排急救车转运至院过程中,医院副院长魏来、医管部部长谢志毅统筹神经外科、麻醉科、手术室、护理团队及隔离病区等相关人员,先行完成发热门诊楼内急救物品、环境准备。中午,患者转运至清华长庚医院发热门诊楼,完善CT等检查后明确:患者为颅内出血、颅内高压、脑组织受压位移等问题,需立刻手术。负压手术室内,由郭毅指导,神经外科主治医师张培海主刀,主治医师刘东康、医师满韦韬辅助,经钻孔、引流管放置、多角度生理盐水冲洗等环节后,用时一小时,手术顺利结束。

术前CT

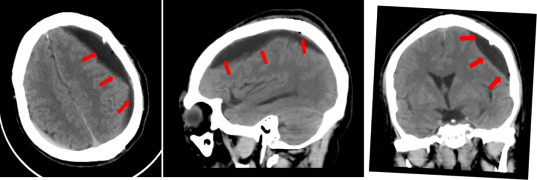
术后CT

  术后患者转至发热门诊楼隔离病房,复查CT结果显示颅内血肿清除干净,患者精神状态也同步好转。“感谢你们这么快速地反应,及时给我父亲手术!”患者家属激动地说。“如果发生脑外伤,即便当下没事,也要警惕迟发颅内出血风险,也就是咱们医学上说的慢性硬膜下出血。”张培海提醒道。慢性硬膜下血肿一般出现在外伤后三周到三个月之间,特别是60岁以上老年人群、长期口服阿司匹林的抗凝人群需要注意。

术后郭毅(中)带队查房,患者恢复良好

  新冠肺炎疫情期间,为属地封控区患者提供就医保障,清华长庚医院疫情防控工作小组牵头,医管部统筹,明确封控区患者应急就诊流程,指定专人与社区对接,同时在院内开辟单独空间、设置独立就医动线,尤其重点肩负起封控区患儿、肝胆危重症、血液病患者的救治任务。本例急诊手术外,医院此前已在发热门诊负压手术室开展了9例产科手术。