#

信息动态

您现在的位置: 首页 - 信息动态 - 新闻动态
信息动态

17小时战胆管癌 清华长庚肝动脉“搭桥”解肝切除难题

  北京清华长庚医院4月13日电(通讯员 于悦超)近日,清华大学附属北京清华长庚医院肝胆胰外科主任医师项灿宏与副主任医师徐光勋联合,为一名肝门部胆管癌并广泛侵袭肝脏的患者进行手术,历经近17小时,切除包括肝左三区在内的近60%病肝,并通过肝动脉“搭桥”的方式,重建肝动脉,解决了余肝血供问题。

  肝门部胆管癌,是胆道系统常见的恶性肿瘤,因其发生部位特殊、呈浸润性生长及与肝门部血管关系密切等特点,常给手术切除造成极大困难。在著名的日本肝研究中心名古屋大学,死亡的患者中50%是左三区切除。发病时,患者可出现食欲下降、消化不良、腹痛、皮肤搔痒症、体重下降及胆管感染等症状,随着病变进展,可出现胆道出血、阻塞性黄疽、肝硬化等,严重威胁生命。

  

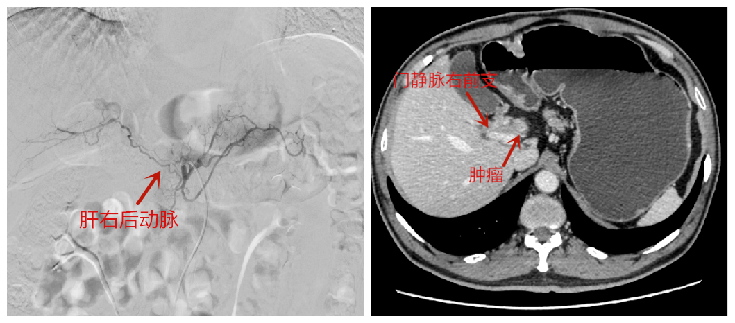
  患者术前肝右后动脉(左)与门静脉(右)影像

  患者来自河南,因体检被查出肝门部胆管癌,手术难度大,风险高,经当地医院推荐,他来到北京清华长庚医院项灿宏的门诊,寻求进一步治疗。完善全腹增强CT检查后发现,肿瘤已经侵犯了肝左外叶、左内叶、右前叶、门静脉与肝右后动脉,“手术不仅要完成肝左三区切除,还需要将被肿瘤侵犯了5厘米的肝右后动脉切除,往往这样的患者被认为是极难行根治手术的。”项灿宏说,而肝右后动脉承担着为肝右后叶供血的关键作用,若整个切除,有可能会导致肝脏因血流不足而肝脓肿、坏死甚至肝衰竭。“对肝胆胰外科医生来说,尽管肝门部胆管癌的左三区切除是肝切除手术的难关,但也要去勇于承担与挑战。”为此,项灿宏多次与具有肝移植、血管吻合经验丰富的副主任医师徐光勋沟通,最终拟订了手术方案:通过“搭桥”术,重建肝右后动脉。

  而手术的难点远不在此。“为切除肿瘤,手术预计切除近60%的肝脏,要保障余肝具有足够的代偿功能。”项灿宏说。术前通过肝动脉造影等检查,明确肝脏影像与血供情况后,项灿宏首先行肝固有动脉栓塞,减少肝固有动脉血流,拓宽肝右后动脉通道,增大血流量;一周后再行门静脉右前支栓塞,减少已被肿瘤侵犯的肝脏血流,使其体积萎缩变小的同时,也使未被肿瘤侵犯的肝右后叶体积慢慢增生,保证术后有足够良好的肝体积。

  

  项灿宏(右二)进行手术

  完善手术预案、术前准备工作后,手术正式启动,由项灿宏主刀,徐光勋配合,为患者进行“肝门部胆管癌根治切除术”。术中开腹后,项灿宏与主治医师王良小心游离、解剖出肝脏血管,并保护好肝脏的右后动脉,随后找到胃网膜右动脉,取其5cm备用后进行结扎,作为“搭桥”的备用血管。

  

  徐光勋进行手术

  在切除被肿瘤侵犯的中段肝右后动脉后,移植团队的徐光勋主治医师叶晟及接力上台,使用准备好的胃网膜右动脉,与保留侧的肝右后动脉进行吻合,最终完成动脉血管的“搭桥”重建。在肝脏动脉血供恢复后,项灿宏再次上台,规范扩大化切除肝左三区肿瘤,清扫周围淋巴结。最后,项灿宏将门静脉受肿瘤侵犯的部分切除并进行吻合重建,为保证胆道通畅,项灿宏将剩余的六、七段肝脏的两根胆管整形为一根胆管开口,小心行胆管空肠吻合。至第二日凌晨2点,手术顺利结束。出院时,患者在感谢信中激动地写道:“当之无愧的生命守护者!”