#

信息动态

您现在的位置: 首页 - 信息动态 - 新闻动态
信息动态

清华长庚心、胸外科联袂手术 一次解决心肺两大病

  北京清华长庚医院6月3日电(通讯员 杨栩鹏)家住河北今年60多岁的韩大妈遇上了麻烦事:最近几个月,活动后她总是感觉胸闷,嗓子仿佛被人勒住了,只有休息好一会儿才能缓过来。随着胸闷越来越频繁,韩大妈到当地医院做检查,原来是患上了心肌缺血,动脉狭窄严重。

   

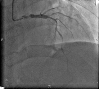
  冠脉造影显示狭窄严重

  冠脉造影显示心脏的三根主要冠脉均有狭窄,需要进行冠脉搭桥术。冠状动脉是包绕在心脏外,为心脏供给血液和营养的重要动脉,一旦狭窄就会导致胸闷、疼痛及心肌梗塞等,严重者可致死亡。冠脉搭桥术是取患者本身的血管,如乳内动脉、下肢的大隐静脉等,或者血管替代品,将狭窄冠状动脉的远端和主动脉连接起来,让血液绕过狭窄的部分,到达缺血部位,改善心肌血液供应,达到缓解心绞痛症状,改善心脏功能的目的。

   

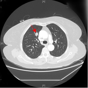
  CT显示右肺肿瘤

  同时,这次检查还意外地发现韩大妈右肺上有疑似恶性肿瘤,也需要手术治疗,当地医院犯了难。韩大妈最终来到清华大学附属北京清华长庚医院心脏外科进行治疗。主治医师崔晓征是韩大妈的首诊医师,了解她棘手的情况后,“您别着急,通过多学科联合,我们一定给您最适宜的治疗方案!”经与胸外科会诊,难题又出现了:如果先做心脏手术,就会延误时间,造成肺部肿瘤增大甚至转移;如果先做肿瘤切除,会因为心脏功能差而无法保证手术的开展。因此,如果两种手术一起进行,不但要求专科医生具有精湛的手术技术,而且还需要两科室的默契配合。

  经反复研讨,两科室最终确定了“一次手术解决两大问题”的整合式医疗方案:因冠脉搭桥需正中开胸,先由崔晓征团队开胸,胸外科主任医师陈东红以此切口作为手术入路,切除肺段病变,清扫相关区域淋巴结。联合手术虽延长了时间,但避免了二次手术风险,有利于长期恢复。

   

  陈东红(右)为患者进行手术

  术中,崔晓征团队开胸暴露视野后,陈东红团队上台,通过正中切口打开前纵膈胸膜,细致分离胸膜腔的粘连,清扫肺门及周围区域的淋巴结。为了辨别肿瘤性质,更好地保护肺功能,陈东红快速将切下来的病理组织送检,约半小时后得知是浸润性癌!为了保证癌细胞清除完整,陈东红继续切除右肺上叶前段,清扫与病变区域相关的2R及4R淋巴结,为韩大妈肺部上了一个“双保险”。

  胸科手术结束后,心脏外科团队再次上台,为保证搭桥术后的远期效果,根据冠脉造影报告的狭窄位置,崔晓征谨慎分离贴在胸骨后壁的左侧乳内动脉,将其远端与心脏的前降支进行了吻合,心肌供血随之得到恢复,血管渐渐变为红色。显微眼镜下,崔晓征拿着发丝般纤细的针线仔细缝合,心脏的另外两根血管桥也顺利吻合完毕。用时6个半小时,手术圆满结束,韩大妈被顺利地转回病房。 

       

  崔晓征术后查房,指导韩大妈恢复

  清华长庚医院心脏外科在沈冬焱医师带领下,践行整合式医疗,已与心脏内科、血管外科、普外科、胸腔外科、肝胆外科、ICU等科室开展疑难病例联合诊疗。(编辑 于悦超)