#

信息动态

您现在的位置: 首页 - 信息动态 - 新闻动态
信息动态

重获“心”生 清华长庚心脏外科完成多例二尖瓣成形术

  北京清华长庚医院4月12日电 (通讯员 杨栩鹏) “崔医生,真的是太感谢您了! ”洋洋妈妈在手术结束后,抓着清华大学附属北京清华长庚医院心脏外科主治医师崔晓征的手久久不愿放开。

  今年11岁的洋洋,在4个月前诊断为感染性心内膜炎,二尖瓣上长了赘生物,造成关闭不全。二尖瓣如同一个“单向活门”,保证血液循环由左心房一定向左心室方向流动和通过一定流量。当左心室收缩时,血液冲击瓣膜,二尖瓣严密关闭房室口,防止血液逆流入左心房。

  在其他医院输液治疗后,洋洋的感染虽然被控制住了,但二尖瓣的赘生物随着心脏跳动脱落,随着血液流动,栓塞到了左下肢动脉导致缺血,出现了难以忍受的疼痛。洋洋经常在睡梦中被疼痛惊醒,长此以往,他性格变得越来越暴躁。洋洋妈妈看在眼里,急在心上,但因二尖瓣成形术风险较大,在被多家医院拒绝后,洋洋妈妈抱着最后一丝希望来到了清华长庚。听闻洋洋艰难的求医之路后,崔晓征非常心疼洋洋,决定将洋洋收治入院,“他以后的日子还很长,我们要给他创造一个机会。”

            

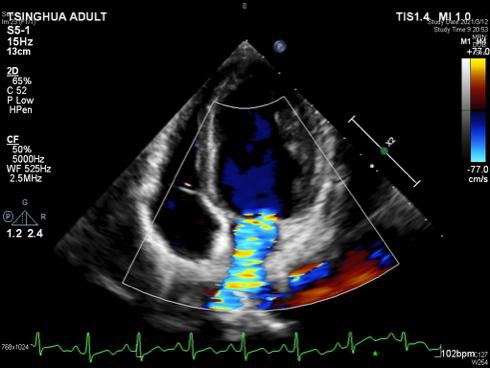
心脏超声显示二尖瓣大量反流 

                                        

李温斌(左一)与崔晓征(右二)为患者手术 

  入院时,洋洋被查出患有脑部栓塞,虽暂时还没有造成偏瘫等后遗症,但加上本身病程较长,如何将围手术期的风险降到最低成了当前最需要解决的问题。于是,由心脏外科牵头,联合血管外科、ICU、麻醉科的多位专家组成多学科讨论,对洋洋的手术方案、术中可能的风险及术后恢复等相关问题展开了探讨,最终确定整合式医疗方案:此次手术先由心脏外科处理瓣膜问题,择期再由血管外科解决下肢栓塞的情况。

  与预期一样,二尖瓣由于赘生物细菌的长时间侵蚀,薄薄的后叶瓣叶已经穿孔,前叶瓣缘也存在赘生物。为了保住二尖瓣,崔晓征用小圆刀在薄薄的瓣膜上进行了显微操作,沿着二尖瓣的前叶,轻轻地拨除附干净在上面的赘生物。拨除的“力道”非常重要:深一点就会损伤瓣膜,浅一点就会造成赘生物清除不彻底。凭借百分百的专注和游刃有余的手法,崔晓征成功剥离了前叶的赘生物,二尖瓣前叶不仅没有受到一点损伤,而且还较好地照顾了其脑部栓塞的情况。随后,他为洋洋切除了穿孔部分的二尖瓣,对后叶进行了环缩,心脏复跳后,超声显示仍存在少中量的反流。

  按照术前计划,崔晓征的第一想法是保住洋洋的自己二尖瓣,尽量不使用机械瓣。可根据术中的实际情况,想保住二尖瓣是很难的,但考虑以后孩子要长期服药, 还有面临二次手术风险的可能。“我们还是尽量让他使用自己的瓣膜,不要给孩子留下遗憾!”这样的信念使得崔晓征再次打开洋洋的心脏,对二尖瓣进行了二次修复。心脏再次复跳后,超声显示瓣膜干干净净,反流几乎完全消失,洋洋的二尖瓣保住了!

  当得知儿子的瓣膜保住了,不仅不需要长期服用抗凝药物,而且还大大降低了再次手术的风险,超出预期的喜悦使得洋洋母亲激动不已,一时间竟不知如何去表达,千言万语汇成了一句:“崔医生,您就是洋洋和我们全家的恩人!”

          

  术前超声有二尖瓣大量反流                               崔晓征(左一)与李温斌(右一)为患者手术

  同样的故事,还发生在来自内蒙的老布仁特古斯身上。今年57岁的老布仁特古斯,因频繁出现活动后气喘,胸闷,被当地医院确诊为二尖瓣腱索断裂,出现大量反流,需尽快进行手术。为寻求更好的医治,一家人不远千里来到崔晓征的门诊。医生的直觉告诉他,情况紧急,老布仁特古斯不能再拖下去了,他一面安抚患者和家属,一面联系ICU为患者提供床位。住院仅两天后,崔晓征与李温斌为老布仁特古斯行二尖瓣成形手术,避免了瓣膜置换术后因长期抗凝导致出血等并发症。术后心脏超声显示,二尖瓣返流由术前的重度变成了微量,手术成功。

  清华长庚医院心脏外科本着“以患者为中心”的原则,依托多学科优势互补的MDT制度,为患者制定获益最大的治疗方案,切实有效地解除众多患者病痛。“若您将心放我手心,必将还您一颗真心!” (编辑 于悦超)