#

信息动态

您现在的位置: 首页 - 信息动态 - 新闻动态
信息动态

中国首台!清华长庚心内科植入3.0T核磁兼容长寿命起搏器

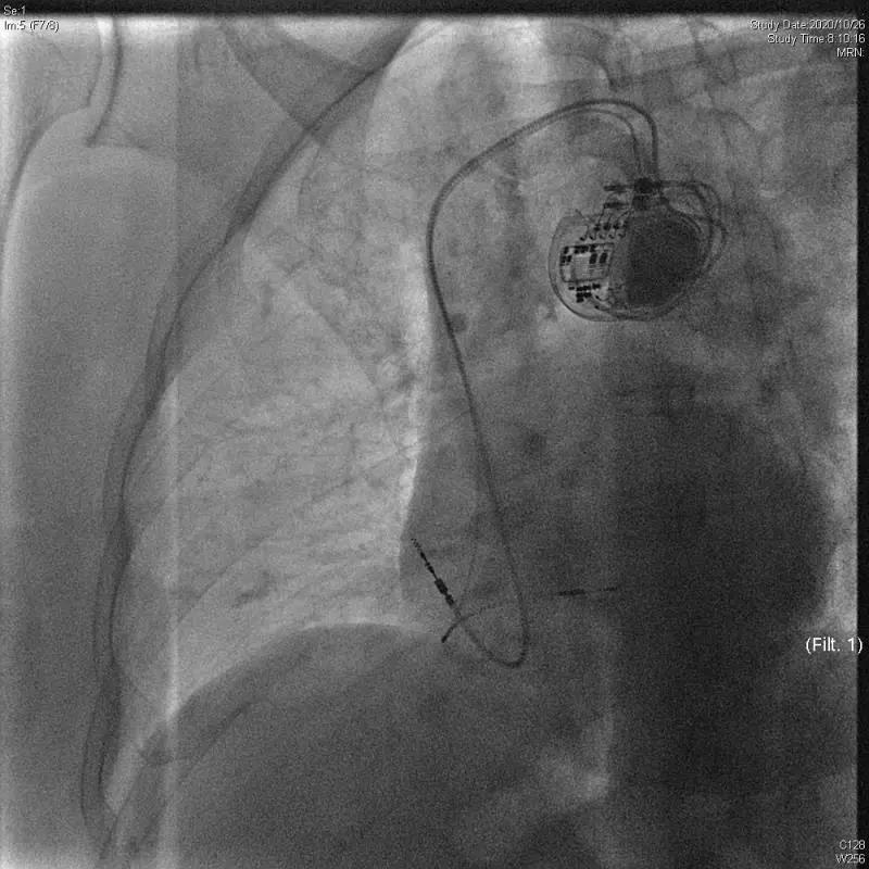
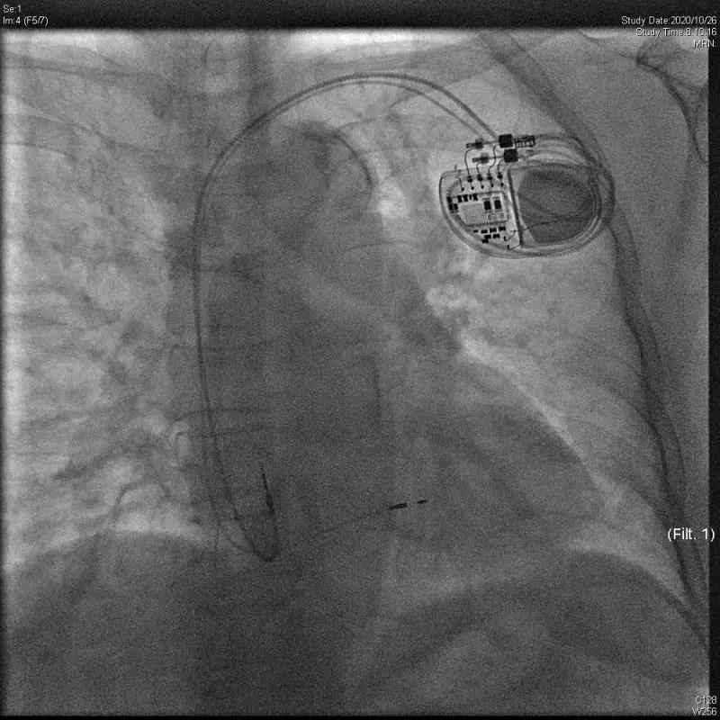
  北京清华长庚医院10月26日电(心脏内科 刘元伟 何榕)10月26日,北京清华长庚医院心内科何榕医师、刘元伟医师带领团队,在副院长张萍教授的指导下,顺利植入了全国首台3.0T核磁兼容长寿命新型双腔起搏器(Astra)。

由右至左依次为张萍教授、何榕医师、刘元伟医师

  该患者为70岁女性,因III度房室传导阻滞、头晕、黑曚入院,心室率仅30-40次/分。同时伴有双手震颤、麻木、腔隙性脑梗、骨关节病等,后期明确有3.0T场强MRI检查的需求。另外,患者高龄,要求植入长寿命起搏器以减少后期器械更换次数,降低感染风险。正值3.0T长寿命起搏器刚刚进入国内,综上考虑选择植入Astra双腔起搏器。此外,患者为III度房室传导阻滞,心室起搏依赖,为避免长期右室起搏导致心功能不全,决定采用国际先进的左束支区域起搏技术。

  手术过程顺利,术后起搏心电图QRS时限仅112ms,患者症状即刻缓解,手术效果良好。

  Astra起搏器为磁共振环境条件安全的植入式心脏起搏器,患者可接受临床1.5T和3T场强的磁共振成像全身检查。此外,Astra起搏器和抗核磁电极任意组合都可实现MRI扫描兼容。对于MRI兼容,无扫描部位和体位限制,无患者身高限制,无MRI扫描时长限制,实现全身无限制磁共振兼容。

  Astra起搏器除了是国内首个实现 3T&1.5T MRI全身无限制扫描的经静脉起搏器,还具有超长的使用寿命,可减少更换次数,降低感染风险。其超长的使用寿命得益于全新的电路硬件结构和优化的系统电路设计,由于其改进的电池,能够支持更大耗电量需求,大幅降低系统能耗,从而极大提升了机器使用寿命,双腔起搏器预估寿命为15.3年。