#

信息动态

您现在的位置: 首页 - 信息动态 - 新闻动态
信息动态

改良门静脉栓塞术 助力肝胆肿瘤患者肝再生

  北京清华长庚医院9月8日电(肝胆介入科供稿)近日,在董家鸿院士的带领下,北京清华长庚医院肝胆介入科张琳副主任医师率先采用新型液体血管栓塞材料(NBCA)PVE(门静脉栓塞)技术,为一例无法一期手术切除的胆管癌患者进行了PVE手术,为患者肝再生赢得了时间,患者术后一个月来院进行二次评估,已具备外科手术条件,准备近期进行精准肝切除术。

  59岁的王先生确诊为肝内胆管癌,伴有梗阻性黄疸,经北京清华长庚医院肝胆胰中心MDT讨论,患者肝内肿瘤已侵犯肝门区,需行扩大的右半肝切除术,但评估的数据显示,术后患者剩余的肝体积将不足以支撑机体的代偿需要,手术被迫搁浅。

  目前,各种微创介入、系统药物的研发与靶向、免疫药物的出现,使得肝胆肿瘤治疗手段技术更加多样化,其中,外科切除依然是国际公认的首选治疗手段,但切除术后仍需要足够的肝功能代偿,足够的剩余肝脏是减轻肝切除术后肝功能不全,预防术后肝衰竭的关键。

  门静脉栓塞(Portal vein embolization,PVE)是国际公认的促进肝再生的介入技术,但传统的PVE技术存在着并发症发生率高、肝脏增生速度慢、增生体积小、影响术后影像学精确评估等不足,如何改良传统PVE技术,成为北京清华长庚医院肝胆胰中心研究的重点。董家鸿院士引领肝胆胰中心,将探索重点放在更加高效、经济的栓塞材料方面,采用更安全、更短的手术操作时间、更快的增生速度,降低对术后评估影响的栓塞材料及栓塞方法。

  下一步,北京清华长庚医院肝胆胰中心将在董家鸿院士的带领下,联合外科病理、分子等基础研究,进一步探索其增生机制,规范细化操作流程,将该技术向全国规范推广。(编辑/宣传中心实习生 于悦超)

PVE术后肝脏萎缩与增生的变化趋势图

术前MRI显示肿瘤及肝内胆管扩张(左)      PTBD显示肝门区胆管侵犯、狭窄(右)

         PVE术前门静脉造影(左)      PVE术后显示右侧门静脉栓塞完全(右)

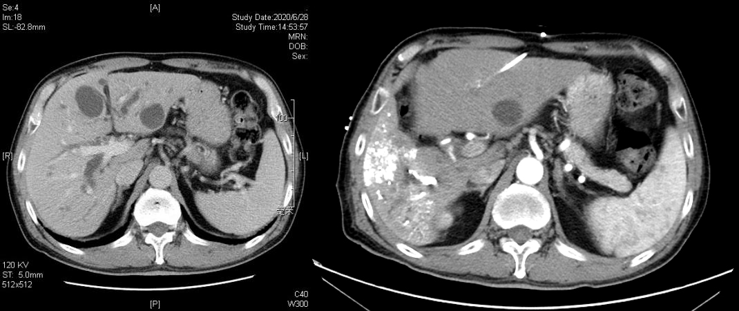
PVE术前(左)后1月(右)CT增强左右肝比较:左肝明显增生,右肝明显萎缩

肝胆胰中心MDT评估指标