#

信息动态

您现在的位置: 首页 - 信息动态 - 新闻动态
信息动态

清华长庚胸外科切除一罕发胸骨肿瘤

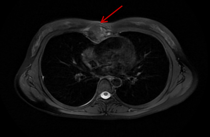
  北京清华长庚医院9月4日电(胸外科 周婷)25岁的小林在洗澡时无意中发现自己胸骨的地方有一处隆起,用手触摸,可以感受到一个质硬的肿物,虽然不疼,但小林抱着疑惑和警惕的心理,到当地医院进行了影像检查,结果给了她当头一棒——报告上写着:胸骨体部骨质破坏,局部膨隆改变,见软组织密度影,肿瘤来源尚不能确定。

  “胸壁骨肿瘤是一种少见的疾病,多发于肋骨,患者的肿瘤发生在胸骨处,这种肿瘤发生的概率更低,在胸壁骨肿瘤中占比不到15%。”清华大学附属北京清华长庚医院胸外科副主任医师陈东红说。结合小林的病情,手术治疗是更加有效的途径。

  然而切除胸骨肿瘤牵涉着多方面的问题。在降低手术风险的同时,肿瘤发于胸骨已经生长到皮肤出现凸起,可见肿瘤之大,胸部MRI检查提示肿瘤大小达3.3×2.8cm,为确保彻底切除肿瘤,则需要切除足够的胸骨及周围结构,同时要在保障胸廓完整性及胸腔脏器不受影响的同时,维持正常的呼吸运动,这就大大增加了胸骨重建的难度;小林尚小的年龄,日后的工作、婚姻生活,则让胸外科的医师团队再三思量植入假体后,患者长久呼吸动度的韧性、耐久性,以及术中刀口的把握,如何让术后的皮肤尽可能美观,以尽可能地降低这位尚未婚育的90后患者的顾虑。

  结合CT影像3D重建图像及以往该类手术的临床经验,陈东红组织全科进行多次病例讨论后,为手术准备充分的风险应对预案。手术按两大步骤有序执行——胸骨肿物切除,为了尽可能地清除肿瘤,术中将肿瘤附近的皮肤、皮下组织、距离肿瘤3cm以内的胸肌和肋软骨连同肿瘤整块切除,送检冰冻病理报告切缘阴性;经术中实际探查,肿瘤还没有侵及胸骨后筋膜及胸膜,经过精细的分离,保留了胸膜腔的密闭性,这为手术的第二步打下了好基础,在进行胸壁缺损修复时,采用了聚四氟乙烯(Poly tetra fluoroethylene,PTFE)包被骨水泥成形,对胸廓进行了重建,这一方法在保证胸廓完整性的基础上,满足了足够的胸廓移动度。

  为了尽可能缩小刀口,胸外科在术中会诊整形外科医师为小林进行手术切口设计及美容缝合。术后的刀口愈合很快,CT重建胸廓良好,小林一周后便顺利出院了。

  从临床一线接诊的患者中,医师们发现90后的年轻人更加关心关注自己的身体,这对于人民健康的发展是一个特别好的势头,正因为患者自己的在意,医者更加努力地践行“精准医疗”。(编辑 韩冬野)