#

信息动态

您现在的位置: 首页 - 信息动态 - 新闻动态
信息动态

清华长庚呼吸与危重症医学科成功开展内科胸腔镜检查

  胸腔积液分为渗出性和漏出性两种。漏出性胸腔积液常常是由充血性心力衰竭、肝硬化、肾病综合征、低白蛋白血症等疾病所引起,临床诊断较为容易;渗出性胸腔积液常常由恶性肿瘤、肺结核、细菌感染等疾病所导致,临床确诊困难。采用内科胸腔镜进行胸膜活检,可极大提高确诊率,成为诊断胸膜疾病强有力的手段。近期清华大学附属北京清华长庚医院呼吸与危重症医学科成功开展了内科胸腔镜检查,取得了良好的临床效果。

  病例

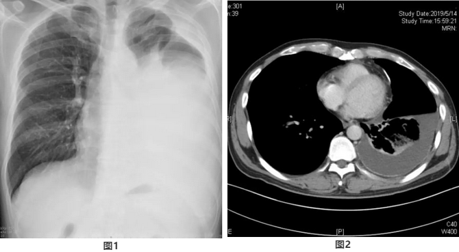
  48岁男性

  主因:咳嗽20天,胸闷9天

  乙肝病毒携带者且长期抽烟

  外院胸片显示左侧大量胸腔积液(图1),我院胸部增强CT显示左侧胸膜增厚(图2)。查外周血常规未见异常,血沉5mm/1h。多次查痰抗酸染色阴性,结核抗体阴性。

  胸腔穿刺胸腔积液检查:胸水外观呈黄色,比重1.013,细胞总数1.0×109/L,有核细胞数0.997×109/L,单核98.4%,多核1.6%;总蛋白47.4g/L,白蛋白31.3g/L,乳酸脱氢酶177IU/L,葡萄糖6.67mmol/L,腺苷酸脱氨酶28.2U/L,CA125大于1000.0U/mL,胸水培养阴性,胸水涂片可见大量淋巴细胞及间皮细胞,未找到肿瘤细胞,抗酸染色未找到抗酸杆菌(图3-4)。胸水淋巴细胞结核γ干扰素释放试验(T-SPOT-TB)和结核核糖核酸及利福平耐药基因(GeneXpert MTB/RIF)检测均为阴性。

  传统的方法已无法明确该患者胸腔积液的病因,因此蔡存良医师和赵景全医师为患者行内科胸腔镜检查(图5-6)。内科胸腔镜下可见壁层胸膜密集分布的乳白色结节,质韧,于是进行胸膜结节活检10余块(图7-8)。胸膜活检病理显示:肉芽肿性病变(图9),可见干酪样坏死(图10),伴纤维母细胞增生及少许淋巴细胞浸润。抗酸染色查见阳性杆菌。因此该患者明确诊断为结核性胸腔积液,遂请我院感染疾病科林明贵主任会诊,确诊后转院进行治疗。

  内科胸腔镜是呼吸与危重症医学科诊断不明原因胸腔积液以强大武器,病因不明的疑难病例在医院呼吸科、检验科、影像科、病理科、手术室、感染疾病科等多学科MDT团队的共同地努力下,努力让更多患者得到明确的诊断、及时的治疗。