#

信息动态

您现在的位置: 首页 - 信息动态 - 新闻动态
信息动态

清华长庚耳鼻喉科成功救治数名无伤口颈外伤患者

  北京清华长庚医院11月30日电 (耳鼻咽喉头颈外科 顼晋昆)11月,清华大学附属北京清华长庚医院耳鼻咽喉头颈外科接连成功救治了数例闭合性颈部外伤患者。这类患者颈部无伤口,但病情发展隐匿、变化快、有潜在致命风险,一旦处理不当,轻则残留发声、吞咽、呼吸障碍,重则危及生命。“颈部闭合性外伤导致喉气管断裂,往往因为颈部皮肤无伤口,容易被人忽视,早期误、漏诊率可达35%-68%,从而导致很高的死亡率。脖子受了伤,不能轻视。”耳鼻咽喉头颈外科主任叶京英说。

  颈部(俗称“脖子”)是人体头部与躯干联结的通道,内含颈总动脉、颈内静脉、颈部神经、喉返神经、气管与食管组织等,一旦发生外伤,可引起出血、呼吸困难以及循环障碍。很多人容易轻视的是,即使颈部没有明显的伤痕、破损,也可能由于闭合性外伤导致生命危险。80岁的李奶奶,在一次追尾事故中,颈部受到了猛烈的撞击,出现了声音嘶哑、呼吸困难的症状,但是颈部皮肤、软组织没有任何破损。当地医院行颈部CT后发现“环状软骨、甲状软骨板粉碎性骨折”,因没有相应的救治条件,遂转至北京清华长庚医院耳鼻咽喉头颈外科。尹国平主治医师接诊后,判断为“颈部闭合性外伤、喉气管断裂伤”。向叶京英主任医师汇报病情后,在麻醉科同仁的协助下,紧急为患者进行了“气管切开术+支撑喉镜下探查+喉重建手术”。术后两周左右,老奶奶拔除气管套管痊愈出院。

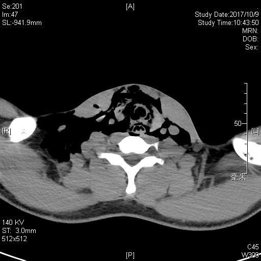
  紧接其后,11月中旬,耳鼻咽喉头颈外科门诊迎来一位19岁的患者。小伙子在搬家时脚下一滑摔倒了,脖子不偏不倚卡在了一根金属横梁上。当时颈部并没有明显伤痕,但小伙子感到颈部疼痛难忍,说话声音哑了,还间断咳血;在来医院的路上,脖子越来越粗,而且感到严重的胸闷。接诊的顼晋昆和尹国平主治医师发现患者精神状态变差,呼吸逐渐不畅,颈部皮下有典型的捻发音(极细微而均匀的噼啪音),紧急为患者进行了喉镜检查、颈部CT扫描后,同样诊断为“颈部闭合性外伤、喉气管断裂伤”,气管断裂的位置位于声门下、环状软骨与第一气管软骨环之间。在麻醉科的配合下,耳鼻咽喉头颈外科医师第一时间为患者进行了全麻状态下的“气管切开术+I期喉气管断裂修复术”。术后10天,小伙子没有再出现呼吸困难或进食呛咳,拔除气管套管后康复出院。

  叶京英主任医师提醒,颈部外伤导致喉气管断裂后,并不会立即出现呼吸困难,部分患者早期表现仅有咳血、声嘶、颈部皮下气肿。诊断明确后,需立即手术治疗,主要是保证气道通畅和判断气管损伤的程度、位置等。而气管断裂后形成的广泛皮下气肿、断端的出血、颈部组织的肿胀等,给麻醉科的气管插管,以及耳鼻咽喉头颈外科的气管切开,增加了难度和危险性。叶京英介绍,医师在接诊后,需要在操作前对麻醉方式进行精确的判断、操作中运用熟练的技术进行正确的处理,甚至需要特殊设备的辅助与保障,如纤维支气管镜下引导插管、表面麻醉清醒状态下插管等。另外,术中喉气管断裂的妥善修复吻合、支撑物的放置、喉返神经和声带的探查修复,是防止术后出现喉气管狭窄、声音嘶哑的关键。

 

  图中显示气管断裂、颈部多发皮下气肿

  叶京英教授,原同仁医院咽喉科主任,主攻咽喉及气、食管疾病诊治,具有丰富的颈部外伤急救及后期并发症修复经验。