#

信息动态

您现在的位置: 首页 - 信息动态 - 新闻动态
信息动态

清华长庚耳鼻咽喉头颈外科治愈八旬老人50年的耳病

  

  清华长庚医院10月27日电(通讯员 王思扬)照片中这封感谢信既是来自一位患者,也是来自一名同行。年过八旬的刘爷爷是山东的一名眼科大夫。他的右耳患中耳胆脂瘤已有四五十年的病史,此前耳朵虽然有流脓的症状,但一直未去医院进行正规检查,只是自己使用局部滴耳液来控制。最近数月他的耳朵疼得厉害,并伴有耳鸣、头晕、头痛、耳聋等,慕名来到清华大学附属北京清华长庚医院的耳鼻咽喉头颈外科进行治疗。

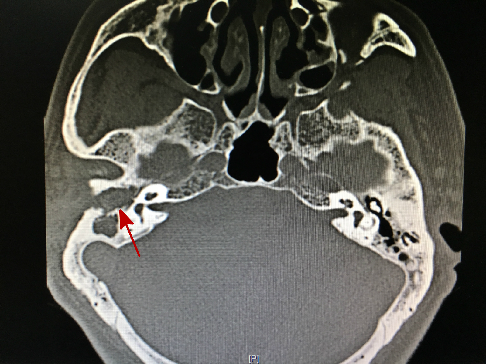
  中耳乳突胆脂瘤是产生角蛋白的鳞状上皮异常积聚形成的一种囊性结构,常发生在中鼓室,上鼓室,乳突或岩尖,临床上以耳内长期流脓,鼓膜穿孔及听力下降为特点。中耳胆脂瘤虽然不是真正的肿瘤,但是有骨质破坏的倾向,一直不治疗不但会影响听力,而且可能会侵蚀面神经、血管、脑膜甚至颅内,属于必须做手术的一种疾病。

  

  图中箭头所指灰色部分为中耳胆脂瘤

  由于刘爷爷年事已高,心肺功能都有些问题,全麻手术的风险很大,伊海金副主任医师和团队经过审慎的评估,于8月25日为他做了手术。在麻醉医师的配合下,伊海金将胆脂瘤从颅底硬膜以及面神经表面剥离,消除了老人并发面瘫及颅内感染的风险,手术过程很顺利。刘爷爷说“仿佛睡了一觉,一觉醒来已在病房,没有感觉到任何疼痛”。手术不仅清除了病变,而且帮助患者恢复了听小骨之间的连接,重建了听力。目前刘爷爷在家休养,耳疼、头痛及眩晕的症状已经完全消失,听力也比术前有所提高。

  伊海金医师强调,中耳和颅脑之间只有一层薄骨板相隔,随着中耳胆脂瘤的不断增大,骨质被吸收,空洞也扩大。一旦骨壁穿破,脓液和细菌即可经此进入颅内,发生严重的颅内并发症,因此一定要早发现、早治疗。