#

信息动态

您现在的位置: 首页 - 信息动态 - 新闻动态
信息动态

清华长庚胃肠外科成功根治92岁患者直肠癌

  清华长庚医院5月3日电(胃肠外科 刘伯涛)近日,北京清华长庚医院收治了一位92岁高龄的患者,其因便血、排便习惯改变来院就诊。经消化内科肠镜检查,确诊为直肠中下段恶性肿瘤。胃肠外科主任李元新主刀为患者成功实施了直肠癌根治术,切除了近10cm的肿瘤。

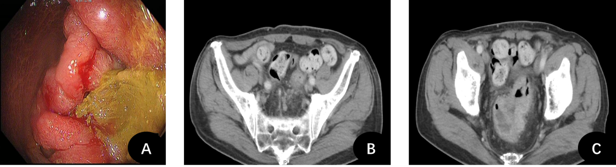
图A:肠镜提示直肠恶性肿瘤;B图+C图:CT显示直肠后方多发淋巴结肿大、直肠壁增厚,提示肿瘤分期晚、恶性程度高

  随着我国人口老龄化,近年来外科治疗的老年患者逐年增加,而老年手术患者具有术前合并症多、术后并发症多的特点,使得老年患者围手术期处理的问题日益突出。据国外文献报告,70岁以上的患者术后并发症发生率高达53%,如此高的围手术期合并症与老年人的病理生理改变有密切的关系。

  面对这一92岁的高龄老人,如何做好围手术期的临床管理,以尽可能降低术后的并发症?李元新带领科室团队做了三个阶段的重点预防:术前,联合心脏内科、呼吸内科重点评估和维持心肺肾等重要脏器的功能;术中,联合麻醉科、输血科,尽量采用对脏器功能影响小的麻醉药物、尽量减少手术时间和手术创伤;术后,联合重症监护室,积极预防心肺肾功能障碍和褥疮、下肢血栓的发生。

图A:虚线标记切除范围,包括肿瘤在内的直肠、部分乙状结肠;图B:进展期肿瘤要求进行肠系膜下动脉根部淋巴结清扫,即D3根治;图C:乙状结肠造口

  在麻醉科的密切配合下,由李元新主刀,利用两个半小时,为患者进行了直肠癌的切除、乙状结肠造口的Hartmann手术,切除包括肿瘤在内的直肠及部分乙状结肠,并进行肠系膜下动脉根部淋巴结清扫。这一术式因不进行肠管吻合和重建,所以安全性非常高,尤其适合术前风险极大和急诊手术的患者。

  在重症监护室团队的紧密配合下,患者术后10小时拔除气管插管,2天后可下床自由活动,第5天开始经口进食,五一劳动节假期前,顺利出院。(编辑 刘珊珊 韩冬野)