#

信息动态

您现在的位置: 首页 - 信息动态 - 新闻动态
信息动态

十岁小大人四经生死 高位颈髓肿块终切除

  清华长庚医院3月21日电(神经外科 祝永杰)“叔叔,我的囊肿全切完了吗?”重症监护室里,刚刚从手术麻醉中清醒过来的小杰凯望向他的主刀医生——北京清华长庚医院神经外科主任王贵怀教授,令人意外的是,这个还不满10岁小男孩见到王主任的第一句话竟是这样冷静、沉着、“大人气”十足,不禁让在场的众位医生护士为之动容。

  直面病魔 三战三败童心泯

  小杰凯是从云南昆明到北京求医的蒙古族孩子,还有一个月就要过十岁的生日了。本应该还是个稚气未脱的天真样子,究竟是怎样的经历让这个孩子迅速成熟起来了呢?原来2年前,刚刚7岁的小杰凯出现了不明原因的双侧肩部疼痛,经过当地医院的详细检查,发现在小杰凯的颈椎内长了一个肿块,这个肿块位于高位颈髓的前方,把颈髓向后挤压成薄片状。由于肿块的位置很特殊,如果在检查治疗过程中稍有不慎,就可能导致高位颈髓损伤,引起高位截瘫、呼吸衰竭等极度危险的状况。

来我院前复查,囊肿(红框内)仍然在,颈椎已出现严重的后凸(反曲)畸形,孩子四肢无力,上肢不能持物,下肢不能行走

脊髓被囊肿压迫得还剩一个薄片

  尽管如此,小杰凯的父母没有因为困难和风险而退缩,他们鼓励小杰凯勇敢面对病魔并战胜它。由于当时当地医疗条件的限制,首诊医生选择了较为保守的手术治疗方案。2015年4月,7岁的小杰凯接受了第一次手术治疗,医生部分切除肿块,同时进行颈椎扩大和内固定术。术后小杰凯的双肩不疼了,但是由于年幼的小杰凯还在生长发育过程中,颈椎的扩大切开和内固定给颈椎的生长发育造成了影响,小杰凯开始出现轻微的颈部强直,转动困难,并且术后不到一年肿块复发,而且肿块体积更甚从前,第一次手术宣告失败。当时还不到8岁的小杰凯只能再次接受治疗,当地医院选择在肿块内留置引流管保守治疗,希望能将肿块内的液性成分引流掉,但很快小杰凯病情的复发和加重再次证实手术失败。同年,刚刚8岁的小杰凯接受了第三次手术,当地医生在肿块与颈部皮肤之间埋藏一个引流管道,希望通过这个管道能够定期抽取肿块内的液体,来缓解小杰凯的症状。但是小杰凯的妈妈说“这根管道埋进孩子的身体后,我从没见医生从管道里抽出东西来”,第三次手术,失败。

  三战三败后,小杰凯的病情每况愈下,他的颈椎开始出现严重的后凸畸形,颈项僵直不能转动,四肢的肌肉力量开始下降,已经开始出现双手不能抓握,双下肢不能行走,双足也开始出现特定的畸形样改变。

  绝处逢生 希望之花终再现

  接二连三的打击使得小杰凯和父母亲陷入绝望,茫然失措的家庭不知如何是好,命运为什么要苦苦捉弄一个年幼的孩子?再度踏上求医路的小杰凯父母通过当地病友打听到了清华长庚医院神经外科王贵怀主任,得知他不仅是国内脊柱脊髓疾病著名专家,而且经他手术治愈的脊柱脊髓患者无不对王主任的精湛医术和高尚医德所折服。因此,小杰凯和父母亲不远千里从云南昆明赶到北京清华长庚医院求医。王主任接过小杰凯厚重的病历和影像资料,听着他父母亲慢慢叙述小杰凯经历的苦难,同情小杰凯的同时也为他错失手术良机而惋惜,三次手术不仅没能解除小杰凯的病痛,还给他留下来严重的后遗症——颈椎后凸畸形,颈项僵硬强直,不能转头,同时颈部椎管内和皮下还留有两根引流管,而更为可怕的是手术给小杰凯留下了心理创伤。他比同龄孩子更害怕打针、抽血、开刀等治疗带来的疼痛,也害怕身体的畸形让小伙伴们歧视,而那个怎么也切不掉的肿块更像一个庞大的阴影始终笼罩着他幼小的心灵。

王贵怀主任查房时与家属沟通病情

  王主任当即决定把小杰凯收住院,经过详细的术前检查和评估,发现小杰凯的病情极为复杂:肿块位于颈椎管内、颈2-3脊髓节段的前方,尽管肿块的体积并不大,但它占据了极为重要的位置,颈2-3节段的脊髓属于高位脊髓,管理人体自颈部以下的所有运动、感觉等功能,如果这一位置的脊髓发生损伤,即可引起高位截瘫、呼吸衰竭等生命危险。而狡猾的肿块恰恰躲在了颈2-3脊髓的前方,就好似藏在脊髓的怀抱中,并且把脊髓向后方压迫成薄薄的一片。要想切除肿块,就必须首先暴露脊髓,并想办法绕过脊髓方可奏效,可是颈椎管狭小的空间使这一方案的实施困难重重,即便克服困难切除了肿块,小杰凯的颈椎固定也是巨大挑战。小杰凯的颈椎呈后凸畸形,部分颈椎的骨质存在压缩变形,而且年仅10岁的孩子颈椎骨质纤薄而细小,在这样的骨质条件下,要把坚硬的钛金属螺钉植入骨质内,风险极高,极有可能造成骨质碎裂损伤周围的血管或神经。前方道路荆棘密布,但王主任和他的治疗团队没有放弃,迎难而上,根据多年的手术经验,依托清华长庚医院强大的技术力量,为小杰凯制定了详细的手术方案。

  手术成功 昂首挺胸迎未来

  3月2日上午,小杰凯被推进了手术室。他表现出超出同龄孩子的沉着和冷静,不仅没有畏惧和苦闹,还主动向负责麻醉的赵主任说“谢谢”。麻醉成功后,医生给小杰凯的全身接好电生理监测探头,手术中可以通过这些探头监测脊髓和神经根的功能,这就相当于给主刀医生增加了一双“明察秋毫”的眼睛,更好的保护患者神经。

  手术从颈部后方的原手术切口进入,分开层层的瘢痕组织,首先暴露出位于肿块后方的脊髓,然后沿着脊髓的右侧方小心分离出右侧神经根,由于三次手术的刺激,脊髓和神经根表面的硬膜组织与颈部的瘢痕组织紧密粘连,稍不留神就有可能损伤脊髓和神经引起严重后果。当手术视野充分暴露后,王主任小心翼翼的抬起脊髓和神经根,从二者之间约0.5cm的间隙中首先找到了肿块的下边界,接下来本应该按照预定计划沿着肿块的边缘慢慢剥离,但由于前几次手术留置的肿块内引流管阻挡了王主任的视线和操作,并且引流管导致肿块边缘发生一些慢性的炎症反应,炎性粘连十分严重。在狭小的空间内处理粘连特别困难,动作稍大就会引起电生理监测的反应,提示脊髓或神经有潜在损伤的可能。王主任凭借丰富的手术经验,精准掌控高位脊髓及其周边的解剖结构,顺利清除了粘连,并将肿块内的引流管顺利取出,一鼓作气将肿块完整切除。而此时电生理监测依然“风平浪静”,昭示着脊髓和神经根未受损伤。

  肿块切除后,接下来攻克颈椎固定的难关。由于病程迁延日久,且多次手术损伤,小杰凯的颈椎骨质发育并不好,仅仅能容纳最小型号的螺钉,因此主刀医生必须一步到位,即一次性就把螺钉植入到理想的位置,而绝没有重来的机会。在这一步骤,王贵怀借助了导航技术的力量,慢慢修正进钉的方向、角度和深度,终于将8颗螺钉送到最理想的位置,把肿块上下不稳定的颈椎骨固定起来,有效的保护脊髓和神经。

  经过6个多小时的艰苦奋战,在团队全体成员的通力合作下,王贵怀主任成功的按照预定计划全切肿块并重新固定了颈椎。当王贵怀告诉刚刚从手术麻醉中醒来的小杰凯“肿块完全切除”的时候,孩子终于露出了少见的笑脸。

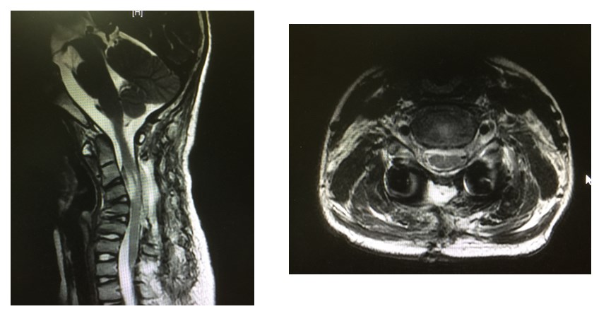
手术后5天复查,囊肿完全切除,颈椎曲度逐渐恢复

       王贵怀介绍,小杰凯患上的是一种儿童常见的先天性疾病——椎管内肠源性囊肿,常位于脊髓腹侧面,难以全切,易复发。但如果通过先进的技术和经验,获得手术全切除,治疗效果依然很好。小杰凯的囊肿生长的位置比较特殊,操作不当极易引起严重的脊髓损伤症状,甚至危及生命,这也是导致很多医生被迫选择较为安全、较为保守的治疗方法的原因。目前北京清华长庚医院神经外科团队在王贵怀主任的带领下,通过先进的微创手术技术,丰富的临床实践经验,辅助高精尖设备的保驾护航,能够在充分保护脊髓及神经的基础上做到360度无死角的切除椎管内肿瘤,为广大患者带来福音。相信小杰凯和与他一样有相同遭遇的病患的未来会更加美好。(编辑 南子钰