#

信息动态

您现在的位置: 首页 - 信息动态 - 新闻动态
信息动态

【经典案例】清华长庚胃肠外科成功切除两例合并肠瘘腹腔巨大肿瘤

  清华长庚医院3月1日电(普通外科 刘伯涛)近期,北京清华长庚医院胃肠外科李元新主任在麻醉科、手术室、重症监护室的密切配合下,成功切除两例合并肠瘘的腹腔巨大肿瘤。

  病例一:女性,34岁。

  病史:2年前在外院行腹腔镜卵巢畸胎瘤切除术。4个月前,因腹腔肠管穿孔、腹膜炎在外院行手术探查,发现腹腔巨大占位,行姑息结肠造口术,术后引流管出现消化液流出。

  术前诊断:复发性腹腔巨大畸胎瘤、肠瘘、腹壁缺损(因横结肠造口术后出现皮下感染、裂开,加之腹腔感染导致)、重度营养不良。入院后进行腹部CT显示左侧腹腔巨大占位性病变,范围约30*20cm,病灶周围的小肠、肠系膜上血管受挤压移位,肠系膜下血管、左侧结肠被完全包裹在内。肿瘤与胰腺下缘、脾脏下极、多段小肠、腹主动脉、下腔静脉、左侧髂血管、输尿管等重要的器官分界不清,左侧腹壁,部分腰大肌、腰方肌、髂肌也出现受累。

 

A1+A2:CT提示肿瘤位于左侧腹腔,体积巨大,挤压周边组织、与重要脏器关系不清

  

  病例二:男性,22岁。

  病史:3个月前在外院行阑尾切除术、术后引流管出现肠液流出。CT检查提示盆腔、右下腹占位,考虑淋巴瘤可能。肿瘤侵犯双侧输尿管造成肾积水,外院予以双侧肾盂穿刺置管。

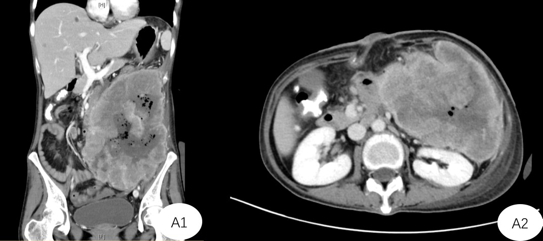
  术前诊断:腹盆腔巨大淋巴瘤、肠瘘、肾积水、重度营养不良。入院后患者腹部膨隆速度较快,腹围进行性增长,再次进行CT显示肿瘤占据了整个盆腔,两侧的髂血管、输尿管受挤压出现狭窄,并且与前列腺、膀胱后壁、直肠前壁、小肠等重要器官关系密切。

 

B1+ B2:CT提示患者肿瘤占据盆腔,与直肠、膀胱、前列腺关系不清楚。加上患者骨盆小,术中暴露是手术的难点

  

  手术准备:因两例患者肿瘤体积巨大,且有肠瘘、贫血、重度营养不良、输尿管狭窄等诸多棘手的合并症,故术前李元新主任团队与相关科室多次讨论手术风险,积极为患者纠正贫血、营养状态,为围手术期安全做好充分的准备。术前反复研究CT影像,确定肿瘤与腹腔重要器官的关系,仔细慎重的对待细节问题,如:手术切口的选择,如何安全的进入腹腔、避免损伤肠管,如何关闭切口等。

  手术难点:1、两例患者外院均考虑腹部手术过程中损伤肠道,导致肠外瘘。但经过李元新主任仔细评估后,考虑其为腹盆腔巨大肿瘤直接侵犯腹壁、造成外瘘,故切口不愈合,消化液、肿瘤坏死液持续流出。2、不同于腹膜后来源的肿瘤,腹腔占位有可能侵犯肠系膜上血管这一支配所有小肠的“生命通道”,所以术中要避免大出血、大范围的切除小肠,避免短肠综合征、营养障碍的发生。3、肿瘤体积巨大、造成周边重要组织器官的异位,术中尤其注意解剖层次的选择,暴露和保护输尿管、下腔静脉、腹主动脉、髂血管等组织,一旦损伤处理非常棘手。4、两例患者均合并腹腔感染,加之腹腔多次手术史,较一般的腹部手术,其脏器粘连尤为致密,肠管的松解将会异常艰难。松解的过程也是解剖、暴露肠管与重要组织的过程,所以对外科医生的解剖理解、间隙游离提出非常大的挑战,错误的间隙选择和解剖都会导致致命的出血,进而被迫停止手术或改变最初的手术策略,影响手术的效果。5、除了精细的外科操作,两例患者的治疗也需要麻醉科、重症监护室、输血科等众多科室的积极配合,不仅为患者提供术中精准的脏器功能维持,也为其术后精心的护理、监护,为手术的成功保驾护航。

  手术实施:因患者合并肠瘘、腹腔粘连较一般的腹腔手术严重,李元新首先彻底松解小肠粘连,将肿瘤侵犯的肠管切除、重新吻合,恢复肠道的连续性;而后确定肿瘤的固定程度,从粘连轻和正常的解剖间隙进行游离,沿胰腺下缘、直肠后间隙、膀胱前间隙游离,充分暴露瘤体,为完整切除肿瘤及其侵犯的脏器创造条件。由于手术操作创面大、渗血多,术中输血、补液后肠管水肿,加之患者多次手术、腹壁缺损等因素,李元新利用腹壁组织分离技术,减少张力,避免术后出现腹腔高压、腹腔室综合症。手术经历10余个小时,圆满成功,两位患者转入ICU。

 

C1:女性患者术前腹壁照片,肿瘤位于左侧腹腔合并肠瘘。结肠造口周边皮肤感染

C2:连同结肠造口、肠瘘一并切除。肿瘤体积约30*20cm大小

C3:男性患者术前腹壁照片,肿瘤位于盆腔,合并右下腹肠瘘

C4:连同直肠、部分膀胱、小肠一并切除。肿瘤体积约20*20cm大小

 

  术后恢复:两位患者术后48小时返回普通病房,72小时下床,10天进食,均无严重的并发症。女性患者已拆线出院,男性患者转入我院血液内科继续治疗。随着两例患者平稳渡过术后危险期、开始进食,体现了我科处理复杂、疑难、重症胃肠疾病的能力。

       名词解释:畸胎瘤是卵巢生殖细胞肿瘤中常见的一种,分为成熟和未成熟两类。成熟的畸胎瘤含有多种成分,包括皮肤、毛发、牙齿、骨骼、油脂等,未成熟的分化欠佳,没有或少有成形的组织,结构不清。腹腔淋巴瘤是来源于腹腔内淋巴组织的恶性肿瘤,伴有发热、盗汗、消瘦等全身症状。两类疾病对放疗和(或)化疗敏感,但大多数复杂的肿瘤首选治疗仍然是手术切除,达到缓解症状、延长生存期的目的。(编辑 南子钰)