#

信息动态

您现在的位置: 首页 - 信息动态 - 新闻动态
信息动态

增效膝关节置换术 清华长庚骨科采用最新关节假体

  清华长庚医院11月11日电(通讯员 孙长鲛)膝关节疼痛是很多老年人的通病,全膝关节置换术(TKA)已成为治疗终末期骨性关节炎的优选方案,可有效缓解膝关节疼痛、改善膝关节功能、提高生活质量,该技术已发展非常成熟。而从改善患者的生活质量出发,北京清华长庚医院骨科在蔡谞教授的带领下,向这一技术的疗效发起挑战,成为国内首家采用最新关节假体——后交叉韧带保留型、固定平台Attune膝关节假体,切实改善患者术后关节的活动度,有效降低膝前痛等并发症。

  69岁的顾女士,已经有10年的右膝关节骨性关节炎病史,尝试了所有保守治疗后,膝关节疼痛未得到有效缓解,严重影响了生活。经介绍,患者找到北京清华长庚医院骨科关节中心主任蔡谞教授,希望进行膝关节置换手术。

  

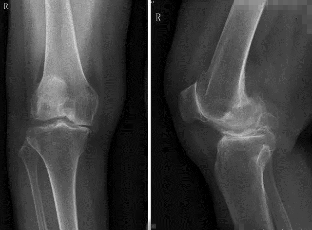
  术前患者膝关节正侧位平片

  结合患者的实际情况及诉求,蔡谞教授带领骨科团队决定运用最新引进的关节假体。据蔡谞教授介绍,该新型假体在假体形态上采用渐变半径,使病人在屈膝的全过程平滑稳定固定,改良的滑车设计优化了髌骨轨迹,全新的凸轮设计在保证稳定性的同时,将传导到垫片立柱的压力最小化,而中央锁定胫骨平台,优化了固定平台的运动学特性,将背部微动降到最低,能够最大限度改善患者的生活质量。

  

  北京清华长庚医院骨科副主任蔡谞教授使用新器械进行精准截骨

  疗效改善的同时,新型假体对手术精准度的要求也提高了,为此,蔡谞教授和关节中心团队做了充足的准备,术前对手术参与人员进行了严格的操作训练。手术全程1个小时左右顺利结束,术后影像显示,新型假体安放位置精确,患者术后第2天即开始下床进行功能锻炼,术后7天顺利出院。(编辑 韩冬野

  

  术后患者膝关节平片

  新闻链接:

  

  蔡谞 清华长庚医院骨科副主任、关节中心主任

  曾就职于解放军总医院,国内著名关节外科专家。对关节外科疾病有丰富的诊治经验,尤其专重于人工关节置换和翻修手术以及关节镜下微创手术等关节外科治疗。对股骨头坏死、晚期风湿类风湿性关节炎、先天性髋关节发育不良、骨性关节炎、强直性脊柱炎等骨科常见病和疑难病症的诊治具有丰富的临床经验。清华长庚医院骨科关节中心拥有国内顶尖的关节诊疗团队,许多高难度人工关节置换手术曾无人敢于问津,在清华长庚已是常态化手术,高难度髋、膝人工关节置换和人工关节翻修手术的临床疗效达到国际先进水平。