#

信息动态

您现在的位置: 首页 - 信息动态 - 新闻动态
信息动态

清华长庚多学科助力胸外科成功切除巨型神经纤维瘤

  

  入院时的小飞,只能侧卧,上半身至头部水肿得厉害

  清华长庚医院10月12日(通讯员 曹加顺 韩冬野)当患者小飞来到北京清华长庚医院时,原发于胸椎脊神经纤维的肿瘤,在他的胸腔里已经膨胀到极限——左肺被压迫衰竭,右肺体积不足正常的一半,气管明显移位,呼吸困难,吸着氧气,才能维持;心脏、主动脉、腔静脉等脏器受压后严重偏离中线,循环功能障碍,上半身和头部因此肿胀得很厉害,无法正常饮食、入睡。“为什么严重到这种地步才来治?”“扬州、南京、上海,都说治不了,最后来了北京。”小飞今年刚刚28岁。

  

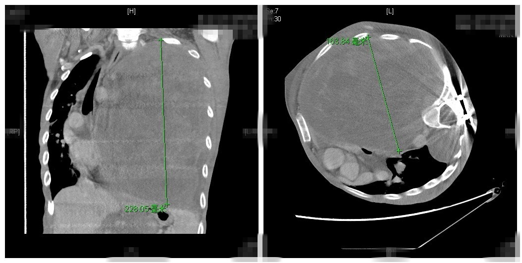
  图为小飞术前肿瘤CT影像

  小飞的胸部CT提示:肿瘤在胸腔内已达22.8*16.3cm。“相当于在胸腔里占据了1.5个肺脏的位置。”胸外科陈东红医师说。接收一个重症的患者,救命和保命将是一项系统的工程。由副院长王劲主持,胸外科、神经外科、麻醉科、重症监护室、输血科、影像科联合病例讨论,诊断患者为神经纤维瘤病Ⅰ型(以下简称“NFⅠ”),同时达成共识,虽手术风险极高,但却是唯一的希望。NFⅠ是一种常染色体显性遗传的家族性疾病,由肿瘤抑制基因突变而致。2006年,据约翰霍普金斯大学研究者报道,NFⅠ发病率为1:2 500~1:3 300。

  生长到如此巨大的肿瘤极为罕见。肿瘤之大,毗邻心脏、主动脉等重要脏器;且小飞贫血、心律失常、循环系统障碍等基础性条件较差,术中因呼吸衰竭、循环不稳定而致死的风险非常高,但小飞的手术意志非常坚定,“能治就治,治不好就认了。”经多学科会诊,最终决定胸外科为小飞实施肿瘤完全切除(“R0”切除)。

  手术由胸外科陈东红医师主刀,采用胸骨正中切口,小心劈开胸骨,防止伤及胸骨后的心脏大血管。进胸后发现,患者左肺已完全实变且受肿瘤侵袭,陈东红医师决定改变手术策略,行心包内左全肺切除,进而实现肿瘤R0的切除。精细游离纵隔及左肺,探及肿瘤位于胸膜腔外,包膜完整,与纵隔、胸壁及膈肌间均有粘连,分离时需极其小心、轻柔。分块切除巨大肿瘤,同时游离各个边界确保无残留。

  术中麻醉也遭遇着很大的挑战,操作时稍微压迫心脏,血压就持续下降,一度出现血压降低至50/30mmHg,心率升至170次/分,麻醉科主任张欢带领吉晓琳等医师,严密监测着患者的各项生命体征,及时补充容量,应用血管活性药物,维持患者血压及心律稳定,为手术的顺利进行护航。术后患者送入重症监护病房,许媛、谢志毅主任带队看护,1周后顺利转回普通病房。术后2周复查右肺复张良好,患者可脱离氧气自主活动,静息状态下吸入空气血氧饱和度由术前的不足50%恢复到了99%。

  

  病理检验结果提示,小飞胸腔内的肿瘤已发生恶变,手术实现的根治性切除不仅缓解了小飞生命危急的状况,也为显著延长生存期奠定了坚实的基础。术后,小飞头面颈部的水肿明显减轻,露出了他瘦削的真实面容,但医师查房时为他拍的照片里,已经可见他重生后的笑容。

  新闻链接:

  北京清华长庚医院胸外科成立2年多以来,已成功完成多例包括侵及心脏大血管的胸腔内局部晚期恶性肿瘤切除手术、复杂的食管癌切除重建手术、胸腔镜辅助胸部小切口肺叶袖式切除术、胸腹腔镜联合下颈胸腹三切口食管癌根治术、累及胸腹腔的复杂纵隔肿瘤切除术、气管隆突成形术、胸部小切口全肺切除术、颈段食管癌根治手术等胸外科高难度手术,并取得了满意效果,为患者的健康保驾护航。胸腔镜下微创肺叶切除术,肺大疱切除术,纵隔肿瘤切除术,微创食管癌根治术,双侧胸交感神经链切断术等常规手术已广泛开展,成为日常工作的主要部分,科室已积累了大量经验。