#

信息动态

您现在的位置: 首页 - 信息动态 - 新闻动态
信息动态

清华长庚科室联合切除12岁少年体内巨大神经鞘瘤

  编者按:并不是每个患者都如这个小男孩一样幸运。为了挽救,医生常常背负着巨大的压力和风险。患者的肯定,病患家属的信任,医患间充分的沟通,以及最坏的心理准备,这些是医疗里下一个决定的必备因素。北京清华长庚医院开院后,挑战的4级手术占比很高,不一定每次都能成功,但对挽救患者的生命有一丝希望,我们就会全力一搏。

  

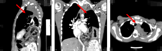
  清华长庚医院8月24日电(神经外科  杨峰)如图中所示,本是正常人心脏、左肺的位置,被发于神经鞘的巨大肿瘤占据,导致一位刚满12岁的男孩胸痛、咳嗽、呼吸困难。近日,北京清华长庚医院神经外科与胸外科联手,由神经外科王贵怀主任主刀,成功为男孩切除胸腔巨大神经鞘肿瘤。

  半年前,患者经常会出现胸痛、咳嗽和呼吸困难,在当地医院检查发现左侧胸腔巨大占位,左肺及心脏明显受压。北京清华长庚医院王贵怀主任接诊,仔细查体了解病情,并反复认真阅片后,认为左侧胸腔巨大肿瘤来自于胸椎椎管内,神经鞘瘤可能性大,该肿瘤体积巨大,占据绝大部分胸腔空间,压迫左肺、纵隔大血管及膈肌。

  到底要不要手术?不手术,肿瘤之大,男孩的胸腔在逐渐失去呼吸的空间,一旦压迫脊髓,则神经受损又将导致瘫痪。手术,难度极大,术中稍有闪失,男孩就有可能因为大出血而死在手术台上,术中脊髓受损也将导致患者瘫痪,且一旦决定手术进胸,便无退路。

  发病的半年时间里,患者父母已带着孩子跑遍了全国多家大型医院,均因手术难度大、风险高、可能会出现大出血以及瘫痪等后果,不予手术。王贵怀主任和患者、家属反复沟通,最终北京清华长庚医院神经外科病房收下了这一家,神经外科医师团队决定为这位才12岁的男孩的病魔做出挑战。

  王贵怀主任组织病例会诊讨论,与胸外科副主任医师陈东红达成共识:如此巨大肿瘤除手术外尚无其他有效治疗手段;此手术风险虽高,但有一线希望我们都应该尽最大努力。制定了手术方案及意外情况处理预案后,在输血科马海梅主任及麻醉科张欢主任团队的全力支持下,手术于8月2日进行。

  术中发现肿瘤不仅占据胸腔内大部分空间,且与心脏、主动脉、腔静脉、下肺静脉等组织紧密粘连,一旦分离过程中损伤大血管致出血,受肿瘤阻挡的情况下,病人将很快因大出血死亡。在胸外科团队的协助下,王贵怀主任团队顶住巨大压力,经过5小时的奋斗,肿瘤被完整移除胸腔。在麻醉科团队的协助下,患者术中生命体征稳定,心率及血压控制良好,平稳地度过了手术麻醉期,术后返回重症监护病房。

  

  患者术后复查影像显示体内肿瘤已切除

  

  术后神经外科王贵怀医师(左)与胸外科陈东红医师一起查房,探讨术后治疗方案

  在急重症许媛主任团队的精心治疗下,患者顺利转回神经外科病房。近日,患者已经康复出院。(编辑 韩冬野)