#

信息动态

您现在的位置: 首页 - 信息动态 - 新闻动态
信息动态

国内首例 清华长庚骨科完成膝关节置换术后Felix IIB型胫骨假体周围骨折翻修术

  清华长庚医院7月15日电(骨科 孙长鲛)近日,北京清华长庚医院骨科关节中心收治一名膝关节置换术后Felix IIB型胫骨假体周围骨折患者,由关节中心主任蔡谞教授主刀,历经3个小时收官,精准实施膝关节翻修术,患者预后良好,再次站立行走。经检索,这是国内首例膝关节置换术后Felix IIB型胫骨假体周围骨折翻修术,国内尚无此型胫骨平台假体周围骨折成功二次手术的相关报道。

  多次摔伤 求治路难

  患者是一名老年女性华侨,19年前在加拿大行膝关节置换术,术后恢复良好,并无特殊不适。然而就在4个月前不慎摔倒致右侧膝关节肿胀、疼痛,当时并未及时给予特殊诊治,患者仍坚持扶助行器行走,直至患肢负重困难。3个月前再次摔倒,在外院行X线检查提示右侧胫骨假体周围骨折,由于手术难度极大,外院建议保守治疗。因该患者假体完全松动,无法跟骨头愈合,若采用保守治疗将导致行走困难,最终无法行走。

  疼痛,反复折磨患者;肌力差、膝关节力线改变、不敢负重,使得患者极易摔倒,后近期竟然又有3次摔伤史。多次求治无果,面对无法行走这一纸诊断的患者抱着一线希望慕名前来我院骨科蔡谞教授门诊。通过平片可以看出患者假体柄松动严重合并有严重的骨溶解、胫骨干骺端有腔洞样或节段性骨缺损,二次修复手术挑战大、难度高。蔡谞仔细问询病情并评估患者情况后,迅速思考应对方案,最终决定收治住院。

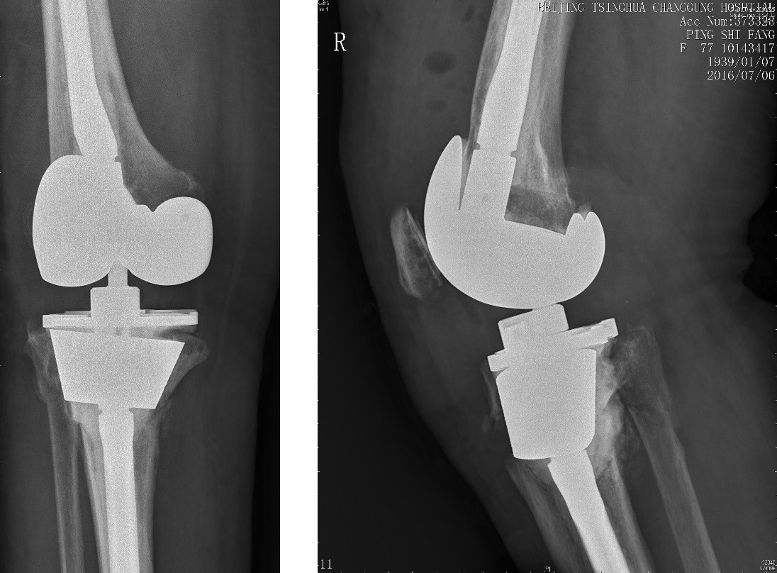
术前平片——显示为Felix IIB型 胫骨平台假体周围骨折

胫骨假体柄松动合并有严重的骨溶解、胫骨干骺端有腔洞样或节段性骨缺损

  

  缜密规划 精准治疗

  患者前后共有5次不同程度摔伤,结合机体情况,蔡谞将治疗目标定在维持满意的肢体力线、膝关节稳定、骨折愈合的基础上,实现关节功能良好恢复。排除了血管神经等组织损伤,蔡教授综合考虑了假体有无松动、骨折的类型和部位、是否骨水泥固定、患者的体质与精神状况等多项因素后,决定采用加长柄假体结合填充性或结构性植骨的治疗方案,同时制定备用方案以防术中突发状况。蔡谞特别强调术后对骨质疏松症的治疗,以有效降低骨折延迟愈合、不愈合的风险,防止骨折的再次发生。

  2016年6月29日,手术进行中,蔡谞教授在保留最大骨量的同时安全的将松动的假体和衬垫取出,同时进行彻底清创,将感染的风险降到最低,在面对几乎已经完全消失的胫骨平台,蔡谞教授选择使用骨小梁钽金属胫骨锥形填充块(CONE)起到支撑作用,在填充块内进行植骨以促进骨长入,同时在填充块和胫骨假体之间填充骨片,撑起胫骨假体。在关节中心团队以及手术室麻醉相关科室的合作下,手术历经3个多小时,完美收官。严重的骨缺损得到了良好的处理,翻修假体位置良好,患者术后第3天即可下地。

  克难前行 国内首例

图为胫骨锥形填充块内填充异体骨

  假体周围骨折不同于一般骨折,处理起来比较困难。假体周围骨折的治疗难点在于:(1)人工假体的存在使处理一般骨折的一些常用方法无法得以应用。(2)骨折部位的假体周围骨质常合并不同程度的骨丢失与骨缺损,会导致修复极其困难。(3)骨折常发生于骨量差的患者,容易导致内固定的失败。(4)多数患者为高龄患者,并存病较多,骨折愈合能力差。(5)处理假体周围骨折时在将骨折固定的同时必须充分考虑假体的固定情况。(6)连接在韧带和骨折碎片上的附件会导致膝关节潜在的不稳定以及膝关节正常弯曲角度的局限等问题,而膝关节不稳可能需要使用限制性假体,带来限制性假体可能引起的问题。

  膝关节置换后假体周围骨折翻修术对关节外科医生而言是一类极富挑战的手术,文献报道膝关节假体周围骨折即使由经验丰富的医师处理,其并发症的发生率仍高达25%-75%。而全膝关节置换后周围骨折最常见的是股骨髁上骨折,胫骨平台骨折及其罕见,此类胫骨Felix IIB型胫骨假体周围骨折目前国内文献尚未检索到。

  对于一家开业仅1年半的清华大学附属教学医院,国内首例Felix IIB型胫骨假体周围骨折翻修手术的顺利完成,体现了关节中心和整个医院诊疗团队的顶尖水平和良好配合。“行走是患者最基本的生活需要,但是面对世界级难度的手术挑战,困难重重,如何做到治疗骨折、翻新假体、降低愈合风险、实现行走的目的,不仅需要精准的治疗技术,更加医疗精益求精的理念和勠力同心的团队。”蔡谞教授说。(编辑 南子钰)