#

信息动态

您现在的位置: 首页 - 信息动态 - 新闻动态
信息动态

肝脏穿刺从颈部“绕道而行”——清华长庚开展首例经颈静脉肝穿刺活检术

北京清华长庚医院4月12日电 (通讯员 万恒易 廖勇)近日,清华大学附属北京清华长庚医院肝胆介入科成功完成了医院首例经颈静脉肝穿刺活检术(TJLB)。手术通过颈静脉搭“路”通向肝静脉,最终顺利取到肝脏组织,那么为何手术为何选择“绕道而行”呢?

57岁的患者张先生因呕血住院,随后的CT检查结果显示其患有严重食道胃底静脉曲张。张先生此前并未有过肝炎病史,想要查明肝脏病变的确切原因就必须取得肝脏组织进行病理检查才能精确诊断。

当前,肝脏病理检查是临床中用以诊断疑难、复杂肝病的主要手段,而最常用的获得肝组织标本的方法是超声引导下经皮肝穿刺活检术。然而由于肝脏组织结构的血管丰富、质地脆嫩、缺乏弹性等因素,经皮肝穿刺容易造成腹腔出血,特别是在有凝血功能障碍及大量腹水、肥胖的患者中风险更高。

经颈静脉肝内活检术(TJLB )的出现为肝穿活检带来新方案,该技术能够将穿刺导引器从颈部静脉引导至肝内,减少了对肝脏血管的损伤和出血风险,有效地解决了像张先生这样凝血功能较差同时伴有大量腹水患者诊断难的问题。

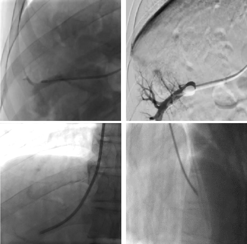
图片1.png

沿颈内静脉-上腔静脉-右心房-下腔静脉-肝静脉穿刺入肝

经肝胆介入团队病情讨论,最终决定为张先生实施经颈内静脉肝穿活检术。在肝胆介入科张跃伟主任指导下,廖勇、刘影及任志忠医师于DSA 透视下首先从右侧颈内静脉建立静脉通路,将导管经颈内静脉、上腔静脉、右心房、下腔静脉进入目标肝静脉。

通过造影剂确认了肝静脉通畅及明确肝静脉走行、与下腔静脉角度等之后,医生们将活检针顺着导引器插入肝脏,顺利穿刺取出了2~3块肝组织样本送检。检查进一步明确了患者门脉高压的诊断,为其开展后续治疗打下了良好的基础。