#

信息动态

您现在的位置: 首页 - 信息动态 - 新闻动态
信息动态

神经外科联合大外科团队 “血战”巨大神经鞘瘤

  清华长庚医院5月7日电(通讯员 杨峰)“手术做得这么好,回去我可得好好照顾我妈,不能因为后期恢复的问题让手术效果打折扣!”4月14日,患者尚女士准备出院,她的儿子激动地说道。原来,这次手术成功解决了困扰尚女士一家4年、辗转12家医院也没能治好的病!

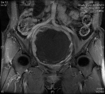
  一个月前,家住河北省黄骅市的尚女士来到神经外科王贵怀主任的诊间,详细问诊后,判断为一例罕见全盆腔占位的右侧骶管内合并囊变坏死的巨大神经鞘瘤。因为肿瘤体积巨大,手术难度高、风险大,之前就诊的医院均未收治。反复发作的腰痛、右下肢痛、尿频、尿急、排便困难严重影响着尚女士的生活质量,看着患者痛苦的表情及家属期盼的眼神,王贵怀主任决定接下这个“烫手山芋”。

  经进一步术前检查发现,尚女士肿瘤位于盆腔内,大小约25*20*20cm,瘤蒂位于右侧骶1-2骶前孔,部分实性成分位于右半骶骨内,在骶孔中塑形生长,手术暴露困难;瘤周异常血管网丰富,与髂总及髂内血管及骶前静脉丛毗邻,术中极易发生难以控制的大出血。不仅如此,肿瘤邻近膀胱、子宫及直肠,周围脏器易受损伤;右侧输尿管下段受到肿瘤压迫,右肾积水征象明显。为确保手术的安全性,术前神经外科、普外科、泌尿外科、血管外科等多名专家对病例进行了多学科讨论。血管外科吴巍巍主任指出,为预防术中发生大出血可考虑先予以腹主动脉球囊阻断,多次与患者及家属沟通,遗憾的是患者及家属拒绝预先行阻断手术,术中出血的风险再次增加。

     

  下午14:13,手术开始,切开、止血、吸引、填塞、游离,王贵怀医师凭借娴熟的手法、精准的操作,于20分钟内迅速切除巨大肿瘤。然而,就在肿瘤移除盆腔一瞬间,鲜血迅速填满至整个盆腔,手术室的气氛立即紧张,王贵怀医师聚精会神,迅速精确定位出血点之一为右侧髂内静脉异行分支及其肿瘤切除后异常扩张的静脉丛,在血管外科吴巍巍医师、赵克强医师、普外科蔺宏伟医师及泌尿外科张鑫医师、陈松医师的协助下对出血部位予以缝扎,此时引流瓶中已收集血液6000ml,患者血压80/50mmHg,血色素低至4g,但出血仍在继续……接到消息的王劲副院长火速赶到现场开展协调工作,麻醉科张欢主任坐镇11号手术间保驾护航,手术在紧张的环境下仍有序地进行着。

  “血色素已测不出,收缩压低至70,出血达8000”,随着麻醉医师吉晓琳监测数据的报出,气氛愈发凝重。此时,手术备用的血量已告急,宁静的手术间里电话铃声显得如此清脆,平日里看着再普通不过的黑色电话机,聚焦了所有人的目光,因为那是生命的希望。

  ……“取血车已出发”……

  ……“血站已紧急调血,血量充足”……

  ……“取血车已驶离血站”……

  ……“取血车到楼下了” ……

  ……“还有10分钟到手术室” ……

  ……“还有5分钟到”……

  “血到了!”刚落的话音好像茫茫夜色中的跳动的火苗,瞬间点燃了所有人的希望,“手术继续!”王贵怀医师铿锵有力的声音,是这场战役最后冲锋的号角。经仔细探查,终于找到位于骶前静脉丛的另一出血点,但反复止血难以奏效。此时,病人的失血量已近10000ml,时间就是生命,王贵怀教授凭借多年的临床经验果断决定采用填塞宫纱的方式,顺利止血。

  “手术结束了!”

  历时6个多小时,集合整个大外科团队,病患的失血量高达10000ml,重症监护期未出现感染,病患顺利脱机拔管,各项恢复良好……可以说这是医师们创造的生命奇迹!谈到此次手术,王贵怀教授感慨到,“这次手术真的是异常艰辛,但也真正检验了我们清华长庚外科团队、麻醉团队、重症医学团队、护理团队、后勤团队之间的紧密配合,这样能打硬仗的团队,相信定能不负生命之托!”(编辑 南子钰)

  

恢复良好的病患为医师团队送来锦旗