病例分享

您现在的位置: 首页 - 特色诊疗 - 专病中心 - 肺真菌病诊治中心 - 病例分享

秋雨连绵天气潮,毛霉感染夺命刀,清华长庚有妙招

郭文佳 赵景全 北京清华长庚呼吸与危重症 2021-09-16 11:09 
 
 
随着雨季到来,空气变得湿润,霉菌任意滋生,对于免疫抑制宿主,霉菌感染的情况时有发生。毛霉菌,又叫接合菌,普遍存在于自然界,可见于腐烂植被和土壤中,居家环境中的地下室、洗手间和厨房等阴暗潮湿处也经常可见(图1)。肺毛霉菌病一直是临床上非常棘手的难题,常有进展迅速、诊断困难、治疗效差,预后不佳。对于白血病及器官移植患者,一旦播散和进展,病死率可高达80-100%。对于许多临床医生,更有“谈毛色变”的说法。                                                                         
最近我院呼吸与危重症医学科在牟向东主任的带领下,采取全身+局部、介入+灌注的创新疗法,治疗肺毛霉菌病取得了非常好的疗效,在国内外处于领先水平。近期,我院呼吸科又成功治愈一例严重的肺毛霉菌病患者。
 
一位来自于山东的52岁男性患者,因发热、肺部感染,病情持续进展,外院无法确诊,而来我院就诊。患者入院前1个多月开始出现反复发热,体温波动在37.8℃-38.2℃,伴有畏寒、乏力,纳差。外院支气管肺泡灌洗液培养及二代测序等未发现明确致病菌。外院考虑真菌感染可能,静脉应用两性霉素B、卡泊芬净及亚胺培南西司他汀等药物效果不佳。为求进一步诊治而来我院。既往诊断为急性髓系白血病6个月,曾行化疗4次及脐带血造血干细胞移植治疗。吸烟史30年余,约20支/日,偶有饮酒,近期结核患者接触史。入院后查外周血白细胞减少,CRP和血沉增高,痰涂片及痰培养阴性,呼吸道病原九项阴性,G试验和GM试验均阴性。T-SPOT-TB阴性。入院胸部CT可见右肺中叶、下叶多发斑片和片状渗出实变影(图2)。
图2入院胸部CT可见右肺中叶和右肺下叶内基底段可见多发斑片和片状肺内渗出实变影(箭头所示)。
 
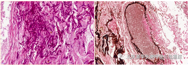
入院后行气管镜检查,并且应用导航和超声等精准定位技术,于右上叶前段、右下叶内基底段行病理活检:病理可见坏死组织内大量毛霉菌菌丝,并可见菌丝侵袭血管(图3)。支气管肺泡灌洗液及脓栓二代基因测序(mNGS)显示为微小根毛霉。最终确定诊断为急性髓系白血病合并肺毛霉菌病。
图3病理显示坏死组织内大量毛霉菌菌丝,并可见菌丝侵袭血管(GMS染色及弹力纤维染色)
 
根据病理诊断及NGS测序结果,我们给予注射用两性霉素B静脉滴注(50mg qd)+雾化吸入(10mg bid)+泊沙康唑(5ml qid)抗真菌治疗,两性霉素B气管镜下多部位精准局部灌注治疗(10+15mg qw)。同时应用冷冻等介入方法多次清除支气管内脓栓(支气管管型,图4)。其后因为患者肾功能不全,将注射用两性霉素B 改为两性霉素B胆固醇硫酸酯复合物100mg qd静脉滴注,其后患者的肾功能恢复正常。治疗期间,患者出现了顽固性低钾血症,应用补钾药物及保钾利尿剂后血钾保持在正常水平。                                                     
图4应用冷冻等支气管镜介入技术取出脓栓,并应用两性霉素B进行局部灌注治疗。
 
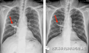
1个月后,患者症状基本消失,复查胸片显示肺部病变较前明显吸收好转(图5)。出院后继续口服泊沙康唑5ml(200mg),每日四次,定期门诊随诊。

图5入院时胸片显示右肺病变;治疗1个月后复查胸片显示右肺病变明显吸收好转。
 
遇到肺毛霉菌感染,对于医生而言,往往是“谈毛色变”,对于患者而言,往往是“九死一生”,可见这种疾病的严重性和难治性。肺毛霉菌感染病情凶险常可危及生命,对于恶性血液病、器官移植患者,病情进展快,临床预后更差,积极治疗下其病死率仍高达75%以上。毛霉菌容易侵袭肺组织,导致肺组织大量坏死,侵袭支气管,导致气道阻塞,侵袭血管,可导致大咯血,上述病理改变往往使抗真菌药物无法到达病变的肺组织而发挥抗真菌作用。同时抗真菌药物全身副作用较大,患者往往难以耐受。对于本例患者,在全身+局部治疗的同时,应用介入技术清除阻塞气道和血管的脓栓,并且在导航和超声定位下局部精准灌注两性霉素B,提高肺组织内的药物浓度,并减少全身用药带来不良反应的概率,临床疗效显著。我院呼吸科各种技术的综合创新应用,为肺真菌病患者带来了福音。该患者在出院后,赠送锦旗以示感谢。                                                                                                                     

参考文献

 

1.       牟向东, 蔡存良, 赵景全,等. 虚拟支气管镜导航下经支气管镜局部灌注两性霉素B治疗肺曲霉病一例[J]. 中华医学杂志, 2020, 100(30):2391-2392.

2.       张会娟, 牟向东, 尹洪芳,等. 经导航支气管镜局部灌注两性霉素B治愈肺毛霉病一例[J]. 中华结核和呼吸杂志, 2021, 44(08):733-735.

3.       Walsh T J, Mccarthy M,  Rosengart A, et al. Mold infections of the central nervous system.[J]. New England Journal of Medicine, 2014, 371(2):150-60. 

4.       Lin E , Moua T, Limper A H. Pulmonary mucormycosis: clinical features and outcomes[J]. Infection, 2017.

5.       Walsh T J,  Mccarthy M,  Rosengart A, et al. Mold infections of the central nervous system.[J]. New England Journal of Medicine, 2014, 371(2):150-60.

6.       牟向东, 王广发, 刁小莉, 等. 肺毛霉菌病三例临床分析. 中华结核和呼吸杂志[J],2007, 30(11): 835-838.

7.       Mu XD, Wang GF. Bronchopulmonary zygomycosis. Respiration[J]. 2011; 82(4):386-7. PMID: 21734349

8.       牟向东. 接合菌病的诊断和治疗现状. 实用皮肤病学杂志[J], 2011,4(4): 193-197.