病案分享

您现在的位置: 首页 - 特色诊疗 - 多学科联合诊疗 - 肝胆肿瘤MDT - 病案分享

肝胆肿瘤MDT案例分享

9岁10月女性,一月前因“纳差,巨大腹部包块”于河北医科大学第四医院行肝穿刺活检,并经北京儿童医院、北京协和医院、北京清华长庚医院病理会诊,确诊为“肝胚胎性肉瘤”。三周前,患者于河北医科大学第四医院行一疗程化疗(AVCP方案),肿瘤无明显改变,为求进一步治疗来我院。

入院查体可见右上腹巨大包块。

                                      

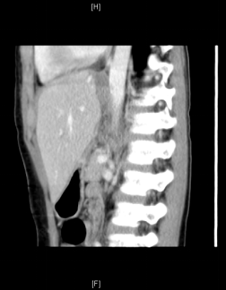
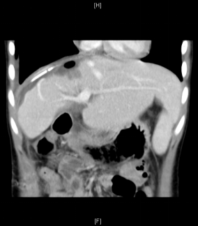
术前增强CT可见右肝巨大占位,约15x13x17cm,左肝推移,下腔静脉肝内段和中肝静脉受压,右肝静脉显示不清。

                                            

MDT讨论决定行肿瘤切除,术后行辅助化疗。手术难点:肿瘤巨大,侵犯、压迫大血管,解剖困难,术中出血风险高。对应策略:通过术前三维重建精确评估肿瘤与血管关系,制定手术计划。拟切除肿瘤所在的右半肝,剩余左半肝功能可代偿机体生理需要。

                                           

术中所见:右肝巨大占位,最大直径约20cm,肿瘤累及肝中静脉根部,侵犯右尾叶,遂行扩大右半肝切除+右尾叶切除术。手术时长6小时,出血量350ml,输注红细胞2单位。

 术后七天复查腹部增强CT提示肝脏血供良好。

 术后病理提示肝脏胚胎性肉瘤,肿瘤大小19*17*10cm,肝脏手术切缘未见肿瘤。患者恢复顺利,于术后11天出院。