科室动态

您现在的位置: 首页 - 科室导航 - 专科部 - 康复医学科 - 科室动态

骨折术后康复宜早不宜迟

  近期,康复医学科门诊接诊了多位骨折术后、肌腱损伤术后以及韧带损伤术后患者,大部分患者拆线后即返回家中休养,本以为术后很快就会回归正常生活了,但事实并非所愿,有甚者术后数月术区仍有胀痛以及活动障碍,严重影响日常生活、工作。

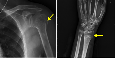
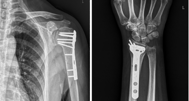
  45岁的王女士1月前不慎跌倒,左侧肩部及腕部疼痛、肿胀、关节活动受限,就诊后行X线检查提示左侧肱骨近端、桡骨远端骨折(见图1),遂行手术治疗,术后切口愈合良好,顺利拆线出院后,于家中自行功能训练。但王女士逐渐发现,术区胀痛并未缓解,且术区皮肤摸着发硬、发烫,连日常生活中简单的洗脸、梳头、握拳动作都不能完成,王女士很是苦恼,复查片子显示骨折愈合良好(见图2),遂抱着试一试的心态就诊我科门诊。

   

  图1. 左侧肱骨近端、桡骨远端骨折

  

  

  图2. 左侧肱骨近端、桡骨远端骨折内固定术后改变

  

  接诊后,先详细询问了病史,并对王女士进行了仔细查体,发现左肩部及腕部术区肿胀明显,并伴皮肤发硬,术区瘢痕明显,主动抬肩膀、手腕活动困难。

  阅片后与王女士沟通,骨折愈合良好,但由于术后关节固定时间较长,导致关节粘连、肌力下降的情况,进而引起肢体运动障碍,急需要系统康复治疗的介入,自我康复可能达不到理想的效果,王女士表示会积极配合相关康复治疗。除了一般关节松动治疗、肌力激活增强训练等,治疗师还为其开展手法消肿、瘢痕松解等训练内容,以改善术区血液训练、淋巴液回流功能;此外训练前后还配合物理因子治疗,并指导王女士进行家庭康复。循序渐进,每周复诊都会发现王女士的进步,进行为期一个多月的康复训练后,王女士术区胀痛基本改善,皮肤弹性明显增加,现在也能够自如地进行洗脸、梳头、握拳了,王女士很是欣慰,最后一次门诊复诊,她感叹道:如果术后能早点来做康复就好了,以前认为康复没啥用,亲身体验后才发现早康复早获益啊。

  是啊,骨折术后切不可认为就万事大吉、回家休养就好了,如果条件允许还是建议尽早进行专业的康复训练,肢体功能也能得到更好、更快的恢复,减少并发症的形成,骨折术后康复宜早不宜迟,不要等影响日常生活了才想到去看康复医生。