科室动态

您现在的位置: 首页 - 科室导航 - 专科部 - 康复医学科 - 科室动态

膝关节疼痛——您所不知的PRP!

  在社交媒体日益蓬勃的年代,对于很多新鲜事物的认知,往往源于名人们在社交媒体上的一些分享。2012年台湾女演员刘若英在其微博中图文并茂地讲了她治疗膝关节疼痛的小故事。

 

  其实她所提到的这种治疗方法,就是本文所介绍的PRP技术,即 “Platelet-rich Plasma”,中文翻译为富含血小板的血浆治疗。PRP技术已经在多个国家地区推广使用,特别是在欧美国家,许多著名的运动员及明星如高尔夫球明星泰格·伍兹、网球明星拉斐尔·纳达尔、李娜等人,都曾因膝关节扭伤、慢性肌腱损伤等疾病而多次接受PRP治疗。

  对于普通老百姓来说,关节疼痛原因往往是退行性骨关节病变所导致的疼痛及运动能力下降。据WHO数据分析,到2025年全球罹患关节炎人口将超过8亿人口,罹患率仅次于心脑血管相关疾病,60岁以上人群患病率达50%,而75岁以上人群患病率则高达80%。这种致残率高达53%的疾患已成为老年人致残头号杀手,被称为“不死的癌症”。

  72岁的张阿姨是饱受膝关节骨性关节疼痛折磨的万千老年人之一。因体重过大、过度进行爬山等活动,10余年前出现了双膝关节疼痛症状。老人家长时间行走或久坐起立时膝关节都会疼痛。尤其是近些年,张阿姨上、下楼梯都显得异常困难,尤其下楼时膝关节发软,很容易摔倒。她吃过中药,熏蒸过草药、还曾进行过膝关节玻璃酸钠注射等治疗,但都效果甚微。当张阿姨来到北京清华长庚医院康复医学科就诊时,双侧膝关节骨性关节炎已进展到III期,大部分医院直接建议手术治疗,但光听到“手术”二字都害怕的张阿姨对此非常抗拒。因此,通过综合评估,康复医学科的潘钰主任建议张阿姨接受双膝PRP注射治疗。

 

  PRP技术简单来讲,就是通过离心的方法从病患自体血液中提取出血小板浓缩血浆,这种血清不仅含高浓度的血小板,还有白细胞、纤维蛋白等成分。经过浓缩,PRP中的血小板浓度可能达到全血血小板生理浓度的3-8倍,对于骨性关节炎最主要的病理变化,即软骨退变,高浓度的血小板可以释放大量具有生物活性的生长因子,这些生长因子可以修复、再生软骨。除了生长因子的作用机制外,PRP中还含有白细胞,可以清除局部坏死组织,增强局部抗炎能力。

  在PRP治疗前3天,潘钰主任叮嘱张阿姨规律饮水,清淡饮食,但不需要节食。治疗当日,首先抽取60-65ml的静脉血注入专用密封试管;随后严格按照无菌操作流程,将试管放入离心机中进行离心,使血液中的各种成分分层;最后从试管中抽取离心完毕的7-8ml PRP。注射时,通过肌骨超声技术精确定位患者双侧髌上囊,进行穿刺、注射。考虑张阿姨为重度骨性关节炎患者,根据国际指南的推荐,分别于2周、4周后再次注射PRP,共计3个疗程。同时,在3次注射间期,康复治疗师对张阿姨进行了序贯的膝关节运动治疗,包括膝关节周围肌群肌力训练、膝关节手法牵伸、髌骨松动等,将PRP对软骨修复的作用发挥至最大。

  

  PRP制备及注射流程

  

  潘钰主任进行超引导下PRP注射治疗

  

  康复治疗师对患者进行下肢肌力训练

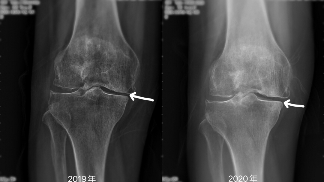
  通过PRP结合运动训练的综合治疗,张阿姨的双膝疼痛症状明显改善,VAS评分从治疗前的7-8分降至1-2分。不仅疼痛症状缓解,张阿姨双下肢的运动功能也有明显改善,股四头肌的等速峰力矩值显著提高,步行能力Holden评分也从3分改善至5分正常,上下楼梯、自我沐浴等日常生活活动能力有所改善。在1年后门诊随访时,张阿姨惊喜的发现,相较于治疗前的膝关节X线,她的双膝退变情况有了明显好转。

  

  

  PRP注射治疗1年前后患者膝关节间隙改变

  PRP注射治疗具有诸多优势:首先PRP是自源性的,使用自身血液进行分离萃取血小板血浆,大大减少了排异反应及感染的可能性,无交叉传染风险。 其次,PRP治疗无明显副作用,目前为止,尚未发现PRP对机体产生不良反应和毒副作用;第三,PRP含有多种高浓度的生长因子,各生长因子之间的比例与体内正常比例相符,具有最佳的协同作用。如果将关节内注射玻璃酸钠比作在门轴上涂抹润滑剂;那么PRP治疗就相当于强效除锈剂,能让关节表面由毛糙变光滑,从病根上治疗关节疼痛,为功能训练铺平道路,给广大患者带来福音!