科室动态

您现在的位置: 首页 - 科室导航 - 专科部 - 康复医学科 - 科室动态

听不明白又说不出来,难道我要与世隔绝吗?

  我们每个人在很小的时候就开始学习语言,它是我们日常交流和沟通中必不可少的工具,也是人类最基本、最重要的一种生存能力和社会行为。我们从儿时呀呀学语到成年后高谈阔论,似乎已经不觉得语言对我们来说有多么重要。

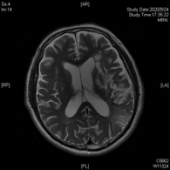
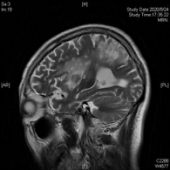
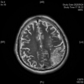
  患者老李由于突发脑梗死,一觉醒来竟然听不懂别人的一句话,也说不出一个字,就连简单的“a”、“o”、“e”都说不出来。这对于作为教师的老李来说,无疑是晴天霹雳,当头一棒。经头颅核磁检查显示:老李的左侧大脑大面积脑梗死。老李是右利手,他的优势半球为大脑左半球,也就是支配我们语言的脑区。然而,不幸地是这个区域脑区几乎没有一丁点地儿在这场灾难中幸存,自发语极少,听觉理解、文字理解严重障碍,命名、复数、读词不能,听、说、读、写所有语言模式受到严重损害,诊断为完全性失语伴有言语失用。于是在他人的眼里,他似乎变得“又聋又哑”,既听不明白别人说什么也说不出来一句话,像是他的世界屏蔽了信号,接收不到任何语言的输入,也输出不了任何语言符号。这可急坏了老李的老伴,这以后可怎么办呀?

  

  ·完全性失语(global aphasia):是一种重度失语,主要表现为自发语极少,听觉理解、文字理解严重障碍,命名、复数、读词不能,听、说、读、写所有语言模式受到严重损害,在失语症中的比例国外报导为10%-30%,国内为22%。临床治疗难度大,效果差。言语理解能力会影响脑卒中的整体预后。

  ·口颜面部失用(buccofacial apraxia) :不能依据口头指令或视觉指令用口、唇、舌、喉等部位的肌肉做有目的的非言语性动作。患者无瘫痪等其他初级运动障碍,即口颜面部没有运动障碍,但是仍不会伸舌、咳嗽、鼓腮等。

  ·言语失用症(apraxia of speech,AOS):是不能执行自主运动进行发音和言语活动。而且这种异常是在缺乏或不能用言语肌肉的麻痹、减弱或不协调来解释的一种运动性言语障碍,或者说是一种运动程序障碍。具体表现为:①反复试验摸索并努力尝试自我纠正;②在正常的节奏、重读和声调上失韵律;③重复相同的表达材料出现 (不一致的发音错误);④明显的始动发音困难。

  那么问题来了:对于这样完全性失语伴言语失用的患者,我们该怎么办呢?

  对于这类患者的长期目标是利用残存功能和代偿方法,进行简单的日常交流。因此,我们制定的治疗计划是:

  1. 提高对简单常用名词的听理解、文字理解;

  2. 通过听觉、视觉刺激改善口颜面和言语失用:

  1)掌握每个辅音发音的位置。

  2)迅速重复每个辅音加“啊”,以每秒3~4次为标准。

  3)用辅音加元音方式建立音节,如fa、fa、fa、fa……。

  4)一旦掌握了稳定的自主发音基础和基本词汇,便试图说复杂的词,原则上还是先学会发词中的每个音、音节、最后是词。

  3. 采用手势、音量、表情、交流板、册来进行表达交流;

  4. 积极手势反馈,提高其情绪状态;

  5. 非侵入性脑刺激作用于言语理解区;

  6. 家庭指导和宣教。

  

  经过4周的言语训练结合非侵入性脑刺激治疗,该患者能结合手势动作理解部分日常生活所需的简单交流,由于能理解一些话语了,老李自己也没有那么烦躁和焦虑了。而且他还能发出简单“好”,“你好”,“包子”等词,可复述单字词,还能跟随歌曲的旋律唱出歌词。然而,就是这些点滴的进步,就足以使我们和老李的家人们欢欣鼓舞,接下来我们会继续和家属一起努力,让老王听懂更多,说的更多!