科室动态

您现在的位置: 首页 - 科室导航 - 专科部 - 康复医学科 - 科室动态

“石头”关节终于打开了

  外伤骨折会造成严重的肢体功能障碍,经过及时的手术治疗,可以“接上”断掉的肢体,但是可能会遗留关节黏连、活动受限、疼痛等并发症。李某某是一位37岁的青年男性,因为右膝关节僵硬活动受限来看诊。一说起他的膝关节,那简直就是一幕一幕的血泪史。

  2年前他因为车祸外伤导致右侧大腿骨折、右膝多发韧带损伤等,伤后虽然及时住院做了骨折的手术,但是损伤范围较大,制动时间较长,再加上患者不重视早期康复,没有进行规范的康复治疗,以至于右膝关节就像石头一样长在一起不能活动,患者走路姿势异常,坐起、如厕、穿脱衣物等受到很大影响。迫不得已为了关节角度又做了右膝关节黏连松解术,为了避免重蹈覆辙,患者术后第5天忍着剧痛,拄着双拐来我院康复科求助。

  当时李某右下肢明显肿胀,皮肤发红且皮温升高,右大腿前侧及外侧皮肤及组织发硬。肌力减弱,关节活动度受限明显,步态异常,且伴随轻度焦虑。进一步检查明确患者关节严重黏连和皮肤肌肉组织变硬的原因,即股骨骨折愈合不良和严重的异位骨化。康复治疗的难度又有了新的挑战。

  

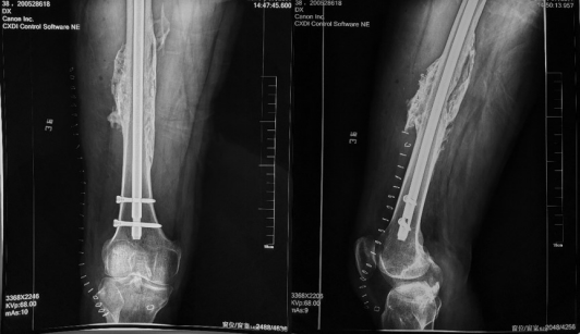
  图1、2  右大腿正侧位 可见股骨内固定物在位,断端周围高密度异位骨化包绕,断端骨皮质不连续。

  完善评估后,除了消炎镇痛、扩大关节活动度、消除水肿、强化肌力的常规治疗和训练,还重点处理了患者关节腔外的组织肌肉黏连和纤维化。制定了综合康复的计划如下:开展物理治疗(包括关节松动、关节活动度训练、CPM、静态牵伸治疗等)、综合消肿治疗(手法引流、负压引流等)、等速肌力训练、平衡及步态训练,紫外线、超声波、激光、冲击波等物理因子治疗,以及口服止疼、抗炎镇痛、消肿药物等。

  

  图3、4 关节松动治疗及牵伸治疗

  

  图5、6  CPM(持续性被动活动)及静态牵伸治疗

  

  图7 膝关节等速肌力训练

   

  图8、9 超声波治疗、冲击波治疗

   

  图10、11 手法引流、负压引流消肿治疗

  

  经过上述康复训练及药物治疗,患者右膝肿胀、疼痛及关节活动改善。

   

  图12 康复治疗前                                 图13 康复治疗3周后

  患者康复治疗3周后,各项指标都得到了改善。

  项目/时间

  康复治疗前

  康复治疗4周后

  双下肢围度(膝上10cm)

  L/R 41cm/46cm

  L/R 41cm/41.5cm

  双下肢围度(膝上10cm)

  L/R 34.5cm/36cm

  L/R 33cm/32cm

  皮温升高

  ↑↑

  ↑

  膝关节ROM (A)

  0°~40°

  0°~90°

  膝关节ROM (P)

  0°~70°

  0°~110°

  肌力

  3+(疼痛影响评定)

  4

  VAS(静息)

  2

  0

  VAS(行走)

  5

  0

  立位平衡

  1

  3

  ADL

  80(上下楼梯不能、行走需辅助、如厕受限)

  100(行走姿势改善)

  

  Holden步行能力分级

  1

  4

  经过3周的康复治疗,患者右膝活动度能够达到主动屈膝90°,硬邦邦的组织肌肉逐渐变软恢复了,腿也消肿了,终于扔掉了双拐,独立行走,姿势基本正常,行走时无疼痛,患者也露出了久违的开心笑容。

  通过这一病例,我们对复杂性膝关节黏连的康复总结了一些经验:

  1.康复应早期介入对于预防关节黏连至关重要;一旦发生关节黏连,康复治疗难以改善时,多需要外科手术干预及多学科共同参与治疗。

  2.股四头肌严重创伤可出现异位骨化,是该例患者关节黏连的重要原因,早期此类严重并发症识别及干预,可预防关节黏连;

  3.本患者以关节外黏连为主,除了关节松解术中行股四头肌松解术外,术后对于关节腔外的肌肉组织针对性康复处理也是重要的,如手法及负压吸引治疗、冲击波治疗联合物理因子等进行综合消肿,改善纤维化,改善关节活动度。

  4.关节活动度训练时疼痛显著,非甾体类抗炎药物单药治疗效果差,按需升级镇痛药物,必要时可行神经阻滞镇痛治疗术后早期开展康复。关节黏连危害较大,外伤及手术后应及早寻求规范康复治疗,早期预防关节黏连。