科室动态

您现在的位置: 首页 - 科室导航 - 专科部 - 康复医学科 - 科室动态

关节换好了,功能康复得跟上

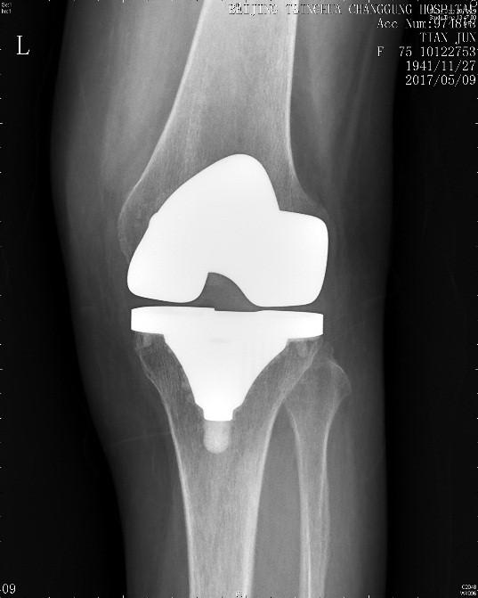
  田阿姨今年75岁,左膝关节肿胀,疼痛,活动受限有5年多了,因为膝关节的问题去过许多大医院,专家都建议她做膝关节置换手术治疗,今年终于下定决心,在某专科医院做了左膝关节置换手术。手术做完2个月,田阿姨的膝关节仍然疼痛明显,下不了地,家属推轮椅来到了医院就诊。仔细查体可见左膝关节前可见手术伤口,愈合良好,无红肿渗出。左膝关节肿胀,伤口周围压痛明显,左膝关节屈伸活动明显受限,屈伸活动时伴疼痛,膝关节活动度为10-80度,左下肢髂腰肌肌力减弱。

图1 膝关节置换术后左膝关节X线检查

  追问术后这2个月的情况,田阿姨在做完手术后5天回家,回家后由老伴帮助做一些恢复性的练习,但老伴没有医学背景,也不会正确的康复训练办法,每天帮助田阿姨做一些简单的按摩,没有关节活动度的练习,膝关节周围疼痛越来越明显,于是出现上述术后2月以后来医院的情形:左膝人工关节置换术后2月,左膝关节僵硬,功能障碍明显,站立行走不能。

图2  膝关节置换术后2月局部疼痛明显,站立行走不能

  那么膝关节置换术后该如何去进行康复训练呢?我们首先了解一下膝关节置换术。

  膝关节置换术(total knee arthroplasty,TKA)是治疗终末期膝关节骨关节炎的最佳手段。伴随人口老龄化的趋势,美国预计2030 年将达到350 万例/年[1],我国目前达41万例/年。

  TKA 术后膝关节功能的恢复程度直接决定手术的最终效果[2],而TKA术后早期是膝关节功能恢复的关键时期。早期康复干预能够很大程度上减少术后并发症、节省费用、缩短住院时间、提高患者满意度。

  上述病例中的田阿姨恰恰是忽略了膝关节置换术后早期的康复介入,等到术后2个多月,发展成较严重的功能障碍,很大程度上影响了患者的生活质量,她对手术的满意度也会大大下降。通过与骨科联合讨论后,建议患者行膝关节麻醉下手法松解术,但患者及家属拒绝接受松解术,我们给予了红外线、超声波等物理因子治疗改善局部疼痛,运动疗法改善膝关节活动度,本体感觉训练提高运动功能,等速运动训练改善肌力。在经过2周的康复治疗后,疼痛VSA评分从7分下降至2分,关节活动度改善至0-100度,基本完成独立步行。

图3 运动疗法改善膝关节活动度

图4 膝关节本体感觉训练改善运动功能

  田阿姨为什么对术后的康复如此忽视呢?这可能与多数患者对康复医学的认识不足有关,也可能有其现实的局限性。

  美国已形成医院-中心-社区三级康复体系网,在综合医院内的临床病房已开始实施急性康复,体征平稳的患者将被转移至医院康复医学科进行治疗,出院后的患者则需要转至社区卫生服务机构或康复医院,以进行康复治疗[3]。这种模式是我们应该学习的,目前我们借鉴了国外的先进理念,着力建设适应我国国情的三级康复诊疗体系。

  骨科康复一体化治疗模式是目前国内外骨科康复界专家提出的一种新的治疗模式,它是一种团队治疗模式,骨科医师、康复医师、治疗师与护士组成一个治疗小组,骨科手术治疗和功能恢复有机地结合在一起,使患者得到更快、更有效的康复[4]。骨科康复一体化治疗模式强调住院期间康复的早期介入,入院后即开展术前康复宣教、手术体位训练等,并将心理康复贯穿患者整个治疗过程的始终,为患者解除焦虑、抑郁等不良情绪;术后康复医师、治疗师立刻指导进行早期康复评定,并定期适时调整康复方案;出院时为患者拟定详细的家庭康复锻炼方案,并嘱其定期门诊随诊。出院时还要指导患者避免危险活动如跑步、跳跃等剧烈运动,可参与日常轻量运动,并要防止跌倒,保持理想的体重,以减轻膝关节的负担。

  北京清华长庚医院康复医学科通过多次外出培训,广泛与同行交流,制定了一套相对合理的康复治疗流程,康复医师、治疗师定期与骨科医师查房,并通过电话、微信等媒介及时沟通,对患者定期随访,监督指导,并制定个体化康复治疗方案,力争实现以病人为中心的康复医疗服务。

 

  [1] Singh JA1, Lewallen DG. Are outcomes after total knee arthroplasty worsening over time? A time-trends study of activity limitation and pain outcomes [J]. BMC Musculoskeletal Disorders, 2014, 15:440.

  [2] Slim K. Fast-track surgery : the next revolution in surgical care following laparoscopy[J]. Colorectal Dis,2011,13(5):478-480.

  [3]Ou HN. The Status Quo of Rehabilitation and Thoughts in the USA[J]. Chin J Phys Med Rehabil,2011,33(6): 459⁃463.

  [4] 周谋望.现代骨科康复理念及其应用[J]. 中国医疗器械信息,2007,13(2):18—21.