科室动态

您现在的位置: 首页 - 科室导航 - 专科部 - 康复医学科 - 科室动态

脊髓损伤是可造成患者终身残疾的严重损伤

  脊髓损伤患者早期康复

  

  脊髓损伤是可造成患者终身残疾的严重损伤,无论对患者及其亲友还是对康复工作者,脊髓损伤都是一个巨大的挑战。脊髓损伤患者进行早期强化康复可达到康复期缩短,康复效果好的目标。我院神经外科,神经内科与康复科为一神经中心,在我院行脊髓手术患者术后早期即可接受康复治疗,大部分患者能获得理想的康复效果,为下一步转到康复机构或二级医院康复治疗打下良好的基础。

  46岁的洪某就是这样一位从神经外进行手术后转我科康复治疗的男性脊髓损伤患者。患者2年前自觉颈部不适,当时无肢体麻木无力等表现,当地医院行颈椎MRI示:C2-C3椎体水平颈髓信号异常,未予特殊诊治。46天前患者出现左上肢麻木无力,伴大便排出困难,小便无明显异常,在协和医院行颈椎增强MRI示:“C1-C7颈髓异常信号伴有出血,可符合外伤性改变,C5/6椎间盘突出”。病情症状进展迅速,出现双下肢无力,行走困难,自觉脚踩棉花感,呼吸费力,排尿困难,尿储留,协和医院急诊予补液、激素、脱水等对症支持处理,2015年11月5日转至我院神经外科在全麻下行椎管减压+探查术,术中见颈髓内血肿,于C2-3节段髓内有一结节样病灶。扩大修补硬膜并去除寰椎后弓及C2-C6椎板减压,术后给予患者甲强龙冲击、脱水降颅内压及改善微循环及积极康复治疗。2015年12月3月日转至我科行康复治疗.

  入院后对患者进行了详细的查体及功能评定,并进行尿动力学检查评估排尿功能。

  功能评定:患者双侧感觉平面及运动平面均为C1,肛门存在自主收缩证明损伤为不完全性损伤,且损伤平面以下一半以上关键肌肌力大于3级,故ASIA残损分级为D级,ASIA运动评分为 62分,感觉评分为64分。目前存在便秘,需开塞露辅助排便,小便需要留置尿管,左上肢肌张力稍低,左下肢肌张力稍高,无明显脊髓损伤神经痛。四肢关节被动活动度可。ADL评定:根据巴氏指数评价标准,患者除吃饭及转移为5分,大小便,修饰,用厕,活动,穿衣,上楼梯,洗澡均为0分。

  尿动力学检查结果分析:逼尿肌无反射;膀胱顺应性增大;膀胱测压容积增大;膀胱感觉消失。

  入院诊断:1、C1颈髓不完全性损伤(ASIA分级,D级)2、C1-C7髓内血管畸形伴出血

  功能障碍:四肢瘫;四肢躯干感觉障碍;神经源性膀胱;神经源性直肠;日常生活能力受限;社会参与能力受限。

  根据患者的功能状况,拟定康复目标:近期:立位平衡1级,助行器辅助下可独立完成坐站转移,短距离步行,预防肌肉进一步萎缩,排尿功能部分恢复。远期:手杖辅助下步行,日常生活基本自理,回归家庭,回归社会。

  康复计划:

  心理疏导,辅助康复

  轴向翻身Q2H,预防压疮;逐步摇床坐起,斜床站立训练预防体位性低血压;床边下肢气压泵治疗预防下肢静脉血栓;中频电刺激预防肌肉萎缩, 康复踏车预防关节挛缩,肌力训练.

  PT、OT训练:根据残存肌力进行肌力训练,各关节活动度训练,日常生活动作训练

  呼吸训练提高膈肌功能,四肢联动提高心肺功能训练,

  5、加强大小便管理:加强排大便训练,形成定时反射性排便,利用生物反馈进行盆底肌训练;根据患者排尿障碍的情况结合尿动力学检查,制定神经源性膀胱的康复计划:间歇导尿,每6小时一次,配合饮水计划,教导患者导尿前叩击膀胱区、轻划大腿内侧及牵拉阴毛等诱发排尿。干扰电刺激膀胱区提高平滑肌张力,经骶段直流电刺激兴奋骶髓排尿中枢。

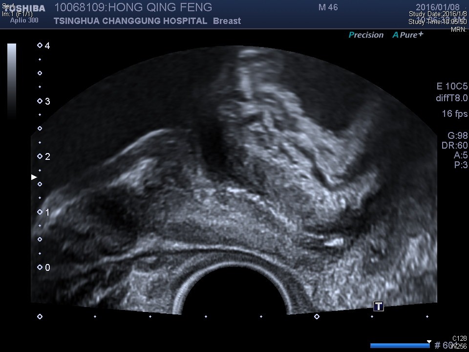
  经过4周的康复训练,患者肢体功能明显提高,基本实现康复目标,立位平衡1级,助行器辅助下可独立完成坐站转移,短距离步行,肌肉萎缩减轻。但患者排尿功能无明显改善,自主排尿功能无恢复,手法不能诱发排尿,仍需间歇导尿每日4次,考虑患者有尿道括约肌痉挛,予口服盐酸特拉唑嗪,症状无明显改善,为进一步明确尿道病情变情况,予经直肠超声检查:可清晰显示尿道外括约肌,并提示尿道外括约肌有痉挛,遂于超声引导下尿道外括约肌肉毒毒素注射术,术后第二日,患者手法诱发反射性排尿50ml,术后第六日,患者可在20分钟左右主动排尿约400ml,但由于患残余尿仍在200ml左右,间歇导尿次数减至每日2次,患者拟近期回当地专科医院继续治疗。

  

  经过全面及定期的评估,我们对患者及时调整康复方案,患者已实现我们的近期康复目标。然而,医患双方都必须认识到脊髓损伤的康复将是一个持续终生的过程,大多数脊髓损伤患者会遗留有终身的残疾,但经过艰苦的努力,他们仍然能重返社会重获幸福。