健康教育

您现在的位置: 首页 - 科室导航 - 专科部 - 康复医学科 - 健康教育

人体自身修复的新疗法--PRP注射治疗

  你是否有限制日常活动的骨或软组织损伤(如退行性骨关节炎、慢性肌腱炎、韧带扭伤、肌肉拉伤等)?你是否在寻找一种“自然”的方式,而不涉及类固醇激素注射来缓解疼痛,从而更快的回归工作岗位或继续体育运动?答案就是富含血小板血浆(platelets-rich plasma,PRP)!!!

  正常生物组织都具备一定的自身修复能力。而生物组织修复能力主要是通过生长因子得以实现的。富含血小板血浆(PRP)正是通过调动组织自身修复能力,为生物体自身修复所利用,我们需要直接注射PRP到受损的组织部位。

  PRP是通过离心的方法从病患自体全血中提取出来的血小板浓缩液,含高浓度的血小板,白细胞和纤维蛋白。血小板激活后能分泌多种生长因子,白细胞和单核细胞可防止感染。纤维蛋白能在局部构建组织修复所需的三维结构,收缩创面,促进伤口闭合。浓缩的的这些PRP成分不仅为组织修复提供了“浓缩的营养”,还为组织修复搭建了更好的修复环境,促进和加速组织修复。

  PRP来源于自体,制作简单, 对患者创伤小,且安全有效,PRP已经被应用在多种学科,特别是在欧美国家。许多著名的运动员如泰格·伍兹,网球明星拉斐尔·纳达尔等人,因各种疾病如膝盖扭伤和慢性肌腱损伤,已多次接受PRP治疗。

  PRP注射治疗具有诸多优势:PRP是自源性的,无疾病传染,免疫排斥反应,安全有效,目前为止,没有发现PRP对机体的不良反应和毒副作用;PRP中有多中高浓度的生长因子,各生长因子的比例与体内正常比例相符,是生长因子之间有最佳的协同作用。PRP可凝固成凝胶状,粘合组织缺损处,防止血小板流失,使血小板长时间分泌生长因子。

  PRP开启了人体自身修复的奥秘,将自身的修复能力调动出来,通过加速人体的自然愈合过程,促进骨和软组织再生。

  PRP注射操作过程:

抽取自体外周静脉血30ml

PRP离心分离

抽取离心管内PRP

超声引导下PRP注射

  病例介绍:

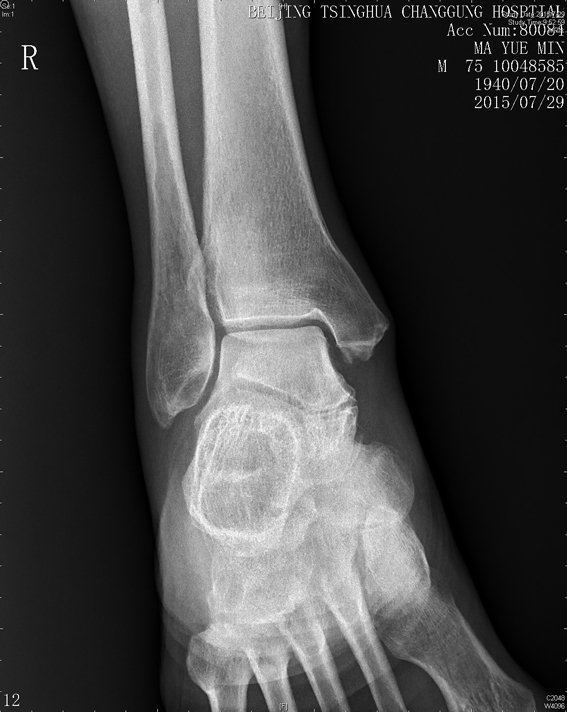
  患者老年男性,主诉右侧踝部疼痛肿胀2年,加重10天。患者于2年前无明显诱因下出现右踝部疼痛肿胀,行走后加重,2年来症状反复发作,曾行封闭治疗后症状略缓解,近10天无诱因出现疼痛及肿胀较前加重,行走受限。查体:右侧踝关节疼痛肿胀,VAS评分7分,右下肢髂腰肌、股四头肌肌力V-级,余下肢肌力V级,踝关节活动范围正常。

  辅助检查:

  右踝关节X线示:踝关节退行性变。

  踝关节超声提示:右踝关节边缘可见少量骨质增生,外侧可见局部软组织水肿增厚。

  超声引导右侧踝关节腔内PRP注射

  注射治疗后,踝关节疼痛明显缓解,局部肿胀明显减轻,VAS评分2分,步行能力明显改善。