科室动态

您现在的位置: 首页 - 科室导航 - 专科部 - 耳鼻咽喉头颈外科 - 科室动态

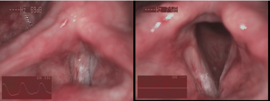
让人“谈之色变”的声带白斑

近期天气寒冷,气候干燥,很多朋友都出现了上呼吸道感染的症状,在这期间,声音嘶哑是一个比较常见的症状,所以我们的嗓音门诊又忙碌起来了。朋友们出现嗓音问题时最担心的就是喉咙里面是不是长了东西,会不会癌变。其实嗓音疾病的种类很多,常见的包括急慢性喉炎、声带息肉、声带小结、功能性发声障碍、喉肿物等等,而喉癌的发病率仅为十万分之一,而且大多由其他疾病恶化演变而来。今天我们要来谈的是一种比较常见的有一定癌变倾向的疾病:声带白斑。

声带白斑的概念早在1920年就已经被提出,随着人们对疾病认识得深入也越来越得到重视。那么声带白斑究竟是什么呢?我们知道声带是人的发声器官,两侧声带组成的声门是呼吸道最狭窄的区域,是上气道的重要门户,双侧声带与外界气流直接接触,再加上声带本身的振动特性就使得它极易受到损伤。黏膜受到损伤时会进行自我修复,当声带黏膜受到持续的损伤因素作用时,自我修复的过程中就会出现一定程度的误差,引起的黏膜的增生,可伴不同程度的异形性,临床上表现为声带黏膜表面斑片状的白色物,即声带白斑。声带白斑多表现为不同程度的声音嘶哑,可伴有咽喉不适、咽异物感、发音易疲劳、慢性咳嗽等症状。伴有中重度异性的声带白斑可被认为是癌前病变,其癌变率根据异型性的不同而不同,从 8%22%不等,这也是声带白斑让人恐惧的原因。

引起声带白斑的因素大多与咽喉黏膜的长期受到慢性刺激相关,其中以吸烟、饮酒、咽喉反流等因素最为常见。此外,环境污染、不正确的用声、慢性炎症、某些维生素的缺乏或微量元素摄入不足、激素失衡等在对声带白斑的发生都有影响。因此调整饮食、均衡营养、合理用声、远离烟酒就成为了预防声带白斑的行之有效的主要办法。这其中我们尤其要强调调整饮食、控制咽喉反流的重要性。咽喉反流是胃内容物反流至咽喉部造成的局部的组织损害,胃内的酸性物质混有蛋白酶,会对咽喉部的黏膜造成损伤,引起喉黏膜的充血、增生肿胀、接触性肉芽肿、任克间隙水肿、声带白斑甚至恶性肿瘤,多种上气道疾病和嗓音疾病都与咽喉反流相关,因此控制反流就显得非常重要。控制反流可以从饮食习惯做起,尽量减少辛辣、油腻食物以及强酸性食物的摄入,尽量避免饮浓茶、咖啡等饮料,睡前3小时不进食,如果症状明显,饮食控制无效可在医生指导下使用抗酸药物。

临床上对于声带白斑的治疗大多采用对因治疗,针对白斑产生的病因可以采用相应的治疗方法。首先,我们要求病人做出相应生活习惯的调整,比如严格戒烟戒酒,健康饮食等,在此基础上,有咽喉反流问题的患者需要接受抗酸治疗,发声方法存在问题的朋友需要进行言语矫治,对于保守治疗无效或临床高度怀疑高级别异性增生/癌变的患者需要给予手术治疗。目前声带白斑的手术多在支撑喉镜下进行,采用激光辅助的喉显微外科技术,所有操作均在显微镜下进行,创伤小,恢复快,能够在保证病变完整切除的前提下,尽可能地改善或保护嗓音功能

其实朋友们碰到声带白斑不必过度惊慌,因为即便是早期喉癌也有80%~90%在正确的治疗下可以得到控制,但是进展期喉癌大约只有60%的控制率,因此早期的干预治疗是防治声带白斑以及其他嗓音病的关键因素,在这里特别提示大家,声音嘶哑持续两周以上就需要到医院进行诊治了。