科室动态

您现在的位置: 首页 - 科室导航 - 专科部 - 耳鼻咽喉头颈外科 - 科室动态

清华长庚助每日无征兆晕倒患者圆旅行梦

北京清华长庚医院10月09日电(通讯员 郭振平 周汐遥 )牛女士5年前听力开始波动下降近一个月来频繁无征兆晕倒每日晕高达3次造成头部皮下血肿,年仅62岁的年纪身边无时无刻开人,牛女士及家人倍感煎熬。面对如此棘手的情况,牛女士及其家人决定寻求专业的医疗帮助,慕名来到北京清华长庚医院耳鼻咽喉头颈外科,找到了伊海金主任医师团队。

伊主任迅速为牛女士安排了内耳功能检查及影像学检查,影像学显示内耳膜迷路积水凭借丰富的临床经验和敏锐的洞察力,最终牛女士确诊为“耳石危象”,是梅尼埃病的一种特殊类型。梅尼埃病是一种由于内耳膜迷路积水积水导致的疾病,常常表现为反复发作的眩晕和波动性的听力下降,发作时还常常伴有耳鸣和耳闷堵感。梅尼埃病反复发作,不仅会影响日常行动和生活,这种突然发生眩晕的恐惧感还会令患者不敢外出,而耳石危象则为其一种特殊发作形式,患者会反复出现不明原因的跌倒发作,引发更为严重后果。

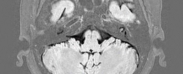
123.png

图为内耳轧造影显示病变部位

针对牛女士的具体病情,伊海金主任医师团队精心制定了个性化的治疗方案,决定采用传统内淋巴囊减压手术联合鼓室内激素注射这一精准且有效的手段进行干预。内淋巴囊减压术去除后颅窝骨板,不受后颅窝骨板的限制,在内淋巴囊内压力升高时,内淋巴囊可以扩张以缓冲压力,保护内耳组织,从而缓解症状,达到控制梅尼埃病患者眩晕发作与此同时联合鼓室内激素注射可以帮助患者提高听力。

如今,距离手术成功实施已过去两个月,牛女士在复诊时难掩内心的喜悦与感激之情,她激动地告诉伊主任:“这两个月来,我一次都没有晕倒过。我现在可以毫无顾虑地规划旅行,这一切都要感谢您!

伊海金主任表示“猝倒是梅尼埃病的一种表现形式,称为Turmakin耳石危象,是一种突然发生的跌倒。发生这种情况是由于内淋巴压力波动造成耳石功能障碍,前庭脊髓张力突然丧失相关,这种特殊发作形式极大地影响了患者的日常生活质量并潜在增加了伤害风险,需要积极进行干预治疗后三个月到半年进行复查,并且清华长庚医院有个案管理师进行个案管理回访为患者提供暖心医疗服务。