科室动态

您现在的位置: 首页 - 科室导航 - 专科部 - 耳鼻咽喉头颈外科 - 科室动态

清华长庚耳鼻咽喉头颈外科成功切除一例罕见颈部肿瘤

  北京清华长庚医院8月29日电 近日,清华大学附属北京清华长庚医院耳鼻咽喉头颈外科副主任医师纪育斌率领团队完成了一例罕见颈部硬纤维瘤的手术切除,患者术后恢复良好。

  该患者是一名56岁的女性,2017年9月发现颈部左侧鼓起一个硬包,当时直径大约2cm,没有痛感。12月她就诊于其他医院,做了切开活检术,术后病理提示“纤维瘤病”。当时肿物较小,医师认为可以继续观察,没有进行切除。活检术后患者出现左侧耸肩无力、上举无力,不能做梳头动作等症状,后逐渐恢复。近4个月以来,患者发现颈部的肿块明显变大,去复诊时医师说手术风险较大,推荐她到北京清华长庚医院就诊。2018年8月患者来院时,肿物直径已经长到7-8厘米。

  

    2018年8月患者入院时肿物约7*7cm大小

  硬纤维瘤病也称为侵袭性纤维瘤病,是原发于肌腱腱膜的一种良性肿瘤疾病,但具有恶性肿瘤的特征,对周围组织有较强的侵袭和破坏能力。该病较为罕见,仅占软组织肿瘤的0.03%,且绝大多数病例位于腹腔内,目前病因不明,治疗以手术切除为主。颈部是人体的重要结构,其内包含大量重要的血管、神经、淋巴管、颈椎和脊髓。早期纤维瘤生长缓慢,多数患者等到肿瘤侵犯重要结构导致出现功能障碍,或者肿瘤巨大引起外观明显变化时才就诊,错过了治疗的最佳时期,增加了手术风险和复发几率。

  纪育斌表示,“颈部硬纤维瘤都应尽早进行手术切除,不宜采取观察随访等保守措施。如果出现声音嘶哑、呼吸费力、吞咽困难、眼皮下垂、面部刺痛或麻木、味觉变化或消失、伸舌偏斜、饮水呛咳、抬肩无力、颈部感觉麻木、一侧上肢无力等等表现,都有可能是头颈肿瘤引起的症状,需要尽早到医院就诊。”

   

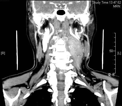
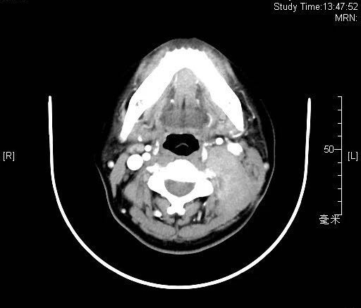
  患者增强CT扫描显示,颈部肿物巨大,向前推压颈总动脉、颈内静脉,颈内静脉部分闭锁,向内侧侵及第1-3颈椎横突

  详细完善各项检查后,耳鼻咽喉头颈外科主任叶京英组织团队对该患者进行了术前讨论。叶京英教授指出,患者病变范围广泛,边界不清,影像学检查发现肿物已经包绕颈神经、破坏颈椎骨质、部分包绕颈内静脉和颈总动脉,且患者有患侧抬肩困难的症状,应尽早进行手术切除,这是目前唯一可以避免出现更多功能障碍的方法。

  进行充分的术前准备之后,纪育斌医师及其团队于8月13日为患者实施了全麻下的手术治疗。术中发现肿物与多个重要结构有包裹或粘连,包括颈内动脉、颈内静脉、迷走神经、颈交感干、膈神经等,这些结构影响到患者的重要生理功能,术中均成功进行了分离和保留;对于颈丛的感觉支耳大神经及术前就已经失去功能的副神经,以及部分胸锁乳突肌给予切除,可以有效减少复发的风险。经过6个小时的手术,肿物被完整切除,大小约8*6cm。

  患者术后恢复良好,仅出现局部皮肤麻木感及左侧眼睑轻度下垂,无声嘶、呼吸费力等表现。目前患者已经拆线出院。由于病理显示患者的肿物切缘有可疑阳性表现,初步决定术后四周开始放射治疗。(供稿/耳鼻咽喉头颈外科,编辑/王思扬)

  新闻链接:

  纪育斌,副主任医师,医学博士,毕业于第四军医大学西京医院,中国人民解放军总医院。师从我国著名耳鼻咽喉科专家王锦玲教授和韩东一教授。从事耳鼻咽喉头颈外科临床工作近20年,对耳鼻咽喉常见疾病的诊治具有扎实的理论基础和丰富的临床经验。擅长头颈部良、恶性肿瘤的诊断和外科治疗,如咽喉肿瘤、声带肿物、甲状腺和腮腺肿物、颈部包块等;擅长耳外科和耳显微外科手术,如中耳炎、传导性耳聋等;擅长鼻窦内窥镜外科手术技术,如慢性鼻窦炎、鼻-鼻窦肿物等;对婴幼儿遗传性耳聋、以及成人感音神经性耳聋、突发性耳聋、老年性耳聋等耳内科疾病的发病机理和诊治有较深的造诣。