健康教育

您现在的位置: 首页 - 科室导航 - 专科部 - 耳鼻咽喉头颈外科 - 健康教育

【爱耳日·科普】警惕隐匿的听力杀手——听神经瘤

北京清华长庚医院2月27日电(通讯员 陈雯婧)60岁出头的高阿姨,5年间听力日渐下降,但奇怪的是并非双耳对称,右耳明显更聋,并伴嗡嗡声耳鸣,严重影响睡眠。就诊于当地医院,配合医生行核磁检查,竟发现右侧颅脑占位性的病变,并伴有双侧感音神经性聋,右侧著,予以调节循环及营养神经治疗。当地医生建议高阿姨尽快前往上级医院进一步诊疗,遂来到清华大学附属北京清华长庚医院就诊。

伊海金教授团队接诊后,经分析研讨,考虑高阿姨右耳占位性病变为听神经瘤可能性大,与神经外科联合,成功实施右侧经迷路入路听神经瘤切除术,病理也证实确为内听道神经鞘瘤。高阿姨术后恢复良好出院,目前随访无特殊,去除了肿瘤隐疾,高阿姨和家人都很踏实满意。

那么,导致高阿姨听力下降的元凶听神经瘤,到底是个什么病呢,我们如何能尽早发现,又该如何正确应对与诊治呢,2025年全国爱耳日来临之际,“健康聆听,无碍沟通”的主题再次强调了全民听力健康的重要性,在此,我们一起了解这个隐匿的听力杀手:听神经瘤!

一、什么是听神经瘤?

听神经瘤,又称前庭神经鞘瘤,是起源于内听道前庭神经鞘膜施旺细胞的良性肿瘤,占桥小脑角区肿瘤的80%~90%,约占颅内肿瘤的8%。其年发病率约为(3~5)/10万。听神经瘤虽不会像恶性肿瘤那样扩散,但由于位置特殊,生长过大会压迫周围重要结构,导致相应症状,严重时可危及生命。

二、听神经瘤的临床表现有哪些?

早期最常见的症状多数与耳科相关,包括听力下降(95%)和耳鸣(63%);其次是平衡失调(61%),多为轻、中度,可呈波动性;三叉神经受累(17%)主要表现为面部感觉异常、麻木或疼痛;面瘫(6%)多为慢性发作,多与肿瘤较大、压迫迷路段甚至膝状神经节有关。当肿瘤挤压脑干后,阻碍脑脊液循环,导致头痛、恶心呕吐、视力下降等颅高压症状,也可导致偏瘫、感觉减退等。早期症状不明显,肿瘤生长缓慢,每年约增加1mm。随肿瘤体积增大,对周围结构产生压迫而引发相应症状。多数患者早期出现听力相关症状、中晚期出现面部症状、晚期出现小脑、脑干症状。

三、听神经瘤的病因为何?

目前,听神经瘤确切病因与病理机制尚未完全阐明,可能是环境作用和遗传等多因素共同作用的结果。一些报道认为,环境暴露,如使用手机或长期接触噪音可能会增加肿瘤发生的风险。和听神经瘤相关联的是少见的神经纤维瘤病2型,是一种罕见的常染色体显性疾病,需典型的临床表现结合基因检测才能确诊。

四、听神经瘤的听力学特征与影像学表现有哪些?

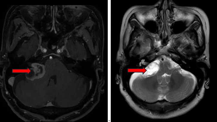
由于听神经瘤早期症状轻微,多以听力下降为主,并非特异性表现,需进行详细的病史询问和体格检查,并结合相关辅助检查诊断。常用的诊断方法包括听力测试、神经系统检查、影像学检查(CT、MRI)以及听神经瘤相关的电生理测试,以帮助确定听神经瘤的位置、大小以及对周围结构的影响。典型纯音测听表现为感音神经性听力下降,通常高频下降为著,可为缓慢下降型或陡降型。可有与纯音听阈不成比例的言语分辨率的下降,听觉脑干反应是目前检测听神经瘤最敏感的听力学方法。听神经瘤患者V波潜伏期明显延长。此外,听神经瘤患者可有异常眼震电图,典型表现为患侧冷热试验反应变弱。目前MRI是听神经瘤诊断的标准方法。根据瘤体的影像学表现,可将听神经瘤分为:实性听神经瘤和囊性听神经瘤。其中囊性听神经瘤生长速度较快,更易产生压迫症状。

企业微信截图_20250228165621.png

MRI(红色箭头所指为听神经瘤):

T1加权像上略低或等信号,T2加权像上高信号

五、听神经瘤的治疗方式如何选择?耳鼻咽喉头颈外科治疗听神经瘤的优势是什么?

听神经瘤治疗方式选择需要综合考虑患者因素和肿瘤特点。尽可能降低手术并发症,提高生存质量和保护神经功能,治疗策略主要分为手术切除治疗、伽玛刀等放射治疗以及随访观察。一般有以下治疗方式可以选择:

1.手术切除:绝大部分听神经瘤,首选手术切除,以此解除肿瘤占位导致的神经功能影损伤。由于听神经瘤位于桥小脑角区,解剖结构复杂,毗邻器官小脑、脑干等重要结构,手术难度相对较大,常用手术入路包括以耳科为主的经迷路入路、经耳囊入路、扩大经迷路入路、改良经耳囊入路和颅中窝入路,以神经外科为主的枕下乙状窦后入路等。耳科入路的优点是创伤小、术后面瘫、头痛及脑脊液漏可能性小。对于术前无实用听力者(>50dB)或肿瘤较大、术中保留听力困难者,可以选择耳科入路。每种手术入路均有其优势与局限性,临床选择时需综合考虑肿瘤的大小、位置,患者双耳听力水平、身体状况、年龄以及经济因素等。治疗方案通常联合耳神经外科与神经外科共同制定,以确保为不同患者提供适宜的治疗方案。术中应全程面神经电生理监测,有助于对面神经的早期定位和精准识别,肿瘤分离过程中实时预警面神经损伤,肿瘤切除术后对面神经功能的评估及对术后面瘫的预判。

2.放射治疗:年纪较大、全身条件差、无法耐受手术的患者,可选择放射治疗控制肿瘤生长。立体定向放射治疗对于体积适中的听神经瘤也有一定疗效。需注意的是,放射治疗会增加神经血管粘连,增加后期手术难度和神经功能损害的风险,因而对于有手术机会的患者应慎重选择。

3.随访观察:对于小型、缓慢生长的听神经瘤,可考虑观察随访,定期进行影像学检查以监测肿瘤的生长情况,酌情及时调整治疗方案。

六,注意事项

听神经瘤早期症状轻微,易被忽视致病变进展,延误最佳治疗时机,丧失功能保留的机会。对早期症状仅为听力下降及耳鸣者,积极全面的耳鼻咽喉科相关检查利于及时筛查鉴别听神经瘤,避免漏诊。

随着医疗技术的不断进步,听神经瘤也有了较为成熟系统的诊疗体系,临床实践中,疗方案的选择需要综合评估瘤体特性、肿瘤位置、肿瘤大小、患者耐受情况、手术意愿等诸多因素,尽早发现病变,制定合理个性化的治疗方案尤为重要。我们提倡重视疾病,但也无须畏惧疾病。早发现、早诊断、早治疗,增强全民健康管理意识,远离肿瘤,守卫健康。(编辑 周汐遥)