健康教育

您现在的位置: 首页 - 科室导航 - 医技部 - 检验医学科 - 健康教育

【检验科建院2周年特辑】检验与临床沟通案例(一)

  案例1:外周血白细胞一夜之间升高10倍?

  通讯员:段宁

  病例简介:

  患者,年轻女性,2016年5月于我院急诊就诊。

  病史:

  患者静脉输注某美白针后出现发热,体温最高达38.3 ℃,伴头痛,畏寒,心悸,呕吐两次,为稀水样胃内容物,否认咖啡样胃内容物,伴中、上腹不适,腹泻2次,轻微咳嗽,无痰,余无其它不适症状。注射美容针成分包括:氨基酸250ml,维生素C20ml,力化肝20ml,强肝敏5ml,传明酸(自诉有促进凝血功能)1ml,硫酸锌1ml,康必补力(自诉为维生素B12/B6成分)。

  既往:体健,久居北京,未到疫区,无特殊人群接触。周围无类似发热患者。

  药敏史(-), LMP:2016-05-17。

  问题点:

  5月23日17点抽血化验血常规WBC 1.2×10^9/L,5月24日早5点抽血化验血常规WBC 11.64×10^9/L (见表1)。医师反馈:相隔12小时, WBC变化明显,是否检验有问题?

                                                                            表1患者12小时内两次血常规对比

                                                                                

       检验科处置:

  接到临床反馈,检验科第一时间查看WBC质控,WBC质控处在规定范围内,同时段内发出的其他报告未现同类问题,用两份样本分别复查,仪器重复性好。

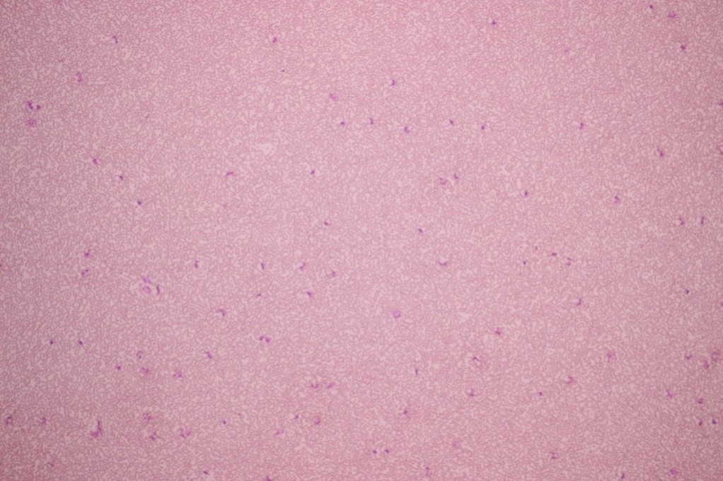
  2、手工复检:将两份血标本涂片后人工镜检,涂片结果与仪器报告基本一致。显微镜下可见5.24日样本中性粒细胞(NEU)明显增多,杆状核占16%,分叶核占80%,淋巴细胞占3%(图1))。

                                                                

                                                                   

                                                                                                   图1 两份样本涂片镜检对比(低倍镜)

  3、分析两份样本结果,HBG、PLT及淋巴细胞等计数检测和百分比有明显变化。需考虑是否采样错误?查看5.23日抽血时段内该科仅1人送血常规,排除标本错误可能性。5.24抽血时段也排除采样错误的可能。两份血常规中MCV、MCH、MCHC、RDW-CV与RDW-SD仍符合,测血型均为O型,排除样本的问题。

  4、调取患者12h内全部化验,包括肝功、凝血及尿便常规,发现12小时内肝功及凝血均出现明显变化(表2,表3)

  

                                                                                          表2 12小时内凝血变化

                                                                                         

                                                                                         表3 12小时内肝功变化

                                                                                       

  主要改变包括:1)PT及APTT同时延长,5.24早晨PTA小于40%;表明患者凝血因子合成障碍或VitK消耗,白蛋白从42.3下降到33.4 g/L,提示肝合成功能明显下降及ALB消耗增加;2)12小时内肝功能恶化,且以AST升高为主,AST/ALT比值1.73,提示有严重肝细胞坏死,尤其肝细胞内线粒体损伤,提示中毒可能;γ-GT升高,提示肝内胆管损伤或梗阻;3)患者同时有Hbg下降,加上PT及APTT明显延长,不除外有出血表现。 4)患者12小时内外周血中性粒细胞显著升高,淋巴细胞急剧下降,提示有严重的感染或组织坏死。5)上述化验指标变化提示患者肝功能严重损伤。结合病史需考虑由于药物导致的急性肝衰竭或在慢性肝炎基础上的慢加急性肝衰竭。6)补查患者HBsAg与抗-HCV均阴性。

  5、临床转归

  患者24日当日转回老家就诊,因此未能完成后续检查随访,推测患者由于药物引起的中毒性肝衰竭。6月初电话随访:患者已康复,当地医院最终诊断:中毒性肝损伤。

  分析:这是一例因严重炎症反应导致WBC短时间内下降的案例。

  首先,人体内WBC的半衰期为6 至8小时。白细胞的发育需要历经分裂池、成熟池、贮备池、循环池/边缘池。循环池就是在血管内随血液流动的白细胞,边缘池是指贴附于血管壁,不随血液流动的白细胞,二者通常存在动态平衡。我们平时检测的白细胞计数实际上只是循环池的白细胞数量,某些病理情况下,循环池/边缘池之间白细胞的动态平衡可能会被打破,贴壁细胞增多,循环细胞减少,白细胞计数降低,误导临床疾病的诊疗。

  白细胞计数常常作为诊断感染性炎症的指标而在临床上广泛使用,以致部分临床医师以及检验医师受定式思维的影响,认为感染状况下白细胞计数必然升高,或者白细胞计数升高则提示有感染存在。实际上,在诊断急性感染性炎症时,白细胞计数虽然是最常见的指标,但不是唯一指标,其它指标比如中性粒细胞百分比、中毒颗粒、核左移、未成熟白细胞等,对急性感染性炎症的诊断具有重要价值,尤其在白细胞计数不高,但高度怀疑急性感染性炎症的情况下。

  其次,在严重感染或组织坏死或应激性炎症时,机体释放细胞因子可导致血管壁通透性增高,产生炎症渗出,使NEU向损伤部位聚集,数量快速下降(图2)。这类反应包括各种感染或毒素反应,理化因子损伤,休克,组织坏死或超敏反应。

  第三,有些比较特殊的细菌感染如伤寒,也会会造成白细胞计数降低;长期慢性感染的患者可能会因为骨髓受到抑制而造成白细胞计数降低,在实际工作中应该注意。

  第四,其它影响WBC计数的因素包括如情绪激动、劳累或受冷、热空气刺激往往可见白细胞的增高;常用药物如青霉素类,氨基糖甙类及镇静安眠药可能引起WBC下降。

  分析此患者系急性中毒而肝细胞坏死,释放大量细胞因子,致外周血管通透性增加,发生WBC附壁或组织内渗出。随着病情发展,骨髓内WBC被动员释放,因而检查WBC复升高。

                                                                                

                                                                                         图2 急性炎症时白细胞从血管壁渗出到周围组织

                                                                             

  收获:

  遇到WBC短期内变化明显时,首先要结合多种化验结果综合分析,要考虑到原发病的影响;其次,对于血常规结果,如果结果变化不能用原发病解释,且患者并非急救状态时,建议隔若干小时后再重新采血复查。另外,我科曾遇到一例患者在输血浆后30 mins采血化验血常规WBC降低的患者。估计是血浆中细胞因子导致的WBC附壁效应,在此提醒临床不要在患者输血或输液后马上采血化验。

  参考文献:

  顾兵 郑明华 陈兴国 主编 《检验与临床的沟通-案例分析200例》, 人民卫生出版社。

  

  编辑 赵秀英