健康教育

您现在的位置: 首页 - 科室导航 - 医技部 - 核医学科 - 健康教育

PET-CT为什么要做延迟扫描?

“刚刚做过PET-CT,医生不让我走,让再次上机做一个延迟扫描,是不是情况很严重?”——这是许多患者在经历“延迟扫描”时的第一反应。今天,我们就来揭秘PET-CT检查中的“延迟显像”,告诉你它背后的原因与意义。

 1、延迟扫描:不是“重做”,而是“更精准”

延迟扫描(延迟显像)是指在首次PET-CT检查后,间隔几十分钟至数小时进行的第二次扫描。这一操作并非因为第一次检查失败,而是医生为了获取更精准的疾病信息而设计的“补充动作”。

2、哪些情况需要延迟扫描?

排除显像剂生理性摄取和滞留对诊断的影响:PET/CT最常用的显像剂18F-FDG,主要通过泌尿系统排泄,显像时会出现肾脏、输尿管、膀胱内显像剂浓聚,从而掩盖了这些部位的病变,通过大量饮水、排尿或利用利尿药物促进泌尿系显像剂排泄,再进行延迟显像,有利于泌尿系统病变的显示。

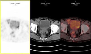
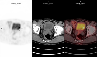
blob.pngblob.png

图注:左图为常规显像、右图为延迟显像,延迟显像明确膀胱壁占位。

鉴别病变良恶性:一些病变在早期扫描时可能摄取放射性药物的程度与正常组织相近,难以准确判断其性质。通过延迟扫描,观察病变部位放射性药物的摄取变化情况。例如,恶性肿瘤细胞通常具有较高的代谢活性,随着时间推移会持续摄取更多的放射性药物,在延迟扫描图像上表现为放射性浓聚程度增高,与周围正常组织的对比更加明显,从而有助于提高诊断的准确性,更好地区分肿瘤的良恶性。

排除组织器官移位对诊断的影响:PET/CT检查时间较长,受组织器官运动的影响,某些病灶出现了移位,从而影响病变的定位及定性。比如较大幅度的呼吸运动有可能影响肺底及肝顶病变识别,胃肠蠕动有可能掩盖胆道、胃肠道病灶。

观察药物代谢动态:不同类型的病变对放射性药物的摄取和代谢速率有所不同。通过延迟扫描,可以获取病变在不同时间点的代谢信息,了解其代谢变化规律。这对于某些疾病的诊断和鉴别诊断具有重要意义,例如在鉴别淋巴瘤与其他良性淋巴结肿大时,观察延迟扫描中淋巴结对放射性药物的摄取动力学变化,有助于做出更准确的判断。

提高图像质量:延迟扫描可以让放射性药物在体内有更充分的时间分布和代谢,减少血液中放射性药物的浓度,降低本底噪声,使图像的对比度和分辨率得到改善。这样可以更清晰地显示病变的细节,有助于发现较小的病变或更准确地描绘病变的范围和形态。

3、给患者的建议

不必焦虑:延迟扫描是常规诊断手段,不代表病情严重。

积极配合:检查后需等待医生确认是否需要二次扫描,勿擅自离开。PET-CT延迟扫描,是医学影像技术从“静态拍照”向“动态追踪”的跨越。它不仅帮助医生拨开诊断迷雾,更让患者免受不必要的侵入性检查。下次若遇到“二次扫描”,请多一份淡定,少一份担忧——这是现代医学为你定制的“精准导航”。