科室动态

您现在的位置: 首页 - 科室导航 - 医技部 - 放射诊断科 - 科室动态

北京清华长庚医院放射科成功完成院内首例肺癌射频消融

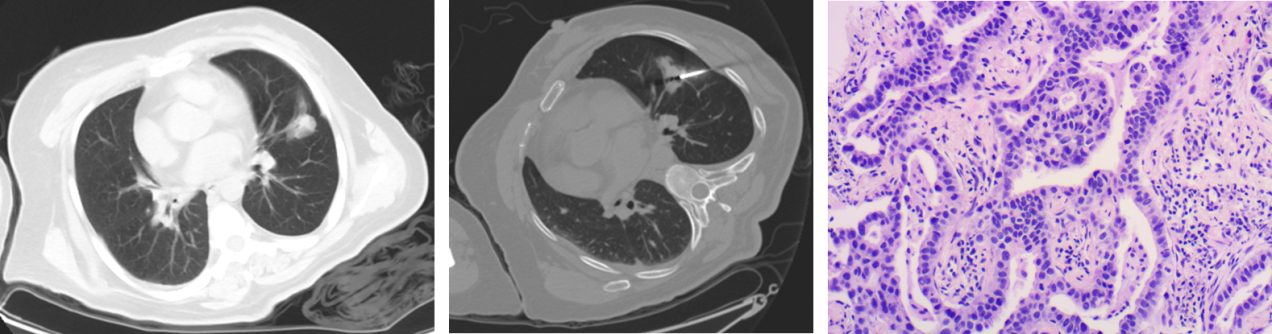
  北京清华长庚医院8月27日电(通讯员  董鸿鹏)患者系老年女性,因“腰腿痛半年,加重三个月”于外院拟行腰椎间盘突出症手术治疗。术前胸片发现左肺阴影,胸部CT提示“左肺团片影,慢性炎症可能性大,占位性病变不除外,建议抗炎治疗后复查”。患者于2015年5月初来我院“影像介入门诊”就诊,放射科马永强医师阅片后考虑病变肺癌可能性大,建议穿刺活检明确诊断。征得患者及家属同意后,马永强医师为患者左肺病灶行CT引导下穿刺活检,术后病理提示“浸润性腺癌,外院PET-CT全身扫描提示“左肺上叶舌段占位,FDG摄取增高,最大SUV3.6,同时发现L5棘突骨转移,属肺癌晚期,无手术切除机会。在征得患者及家属同意后,马永强医师于2015年5月中旬为患者行肺癌射频消融术治疗,手术顺利,无并发症发生,患者术后2个月外院PET-CT复查提示:左肺肿块接近消失,仅残留少许纤维条索,FDG无摄取。治疗效果显著,患者及家属送来锦旗表示感谢。

  

  

  

  新闻链接:关于肺癌射频消融

  目前肺癌最有效的治疗手段仍是外科手术,但是由于目前缺乏有效的早期诊断方法,70%以上的的肺癌病人就诊时已属晚期,失去了手术治疗的最佳时机。近年来,射频消融(Radiofrequency ablation,RFA)作为一种新的局部治疗手段运用于肺部肿瘤的治疗,取得了很好的临床效果。

  肿瘤射频消融术是一种微创介入治疗技术,是在CT引导下经皮肺穿刺,将射频电极准确插入到肿瘤组织中,通过射频输出在肿瘤组织内施以一定频率的射频电流,产生高频率电磁波,组织内极性分子发生高速震荡产生摩擦,将射频能转化为热能,局部温度达90℃以上,使病变组织发生凝固性坏死,最终形成液化灶或纤维化组织,从而达到局部消除肿瘤组织的目的,同时可使肿瘤周围的血管组织凝固形成一个反应带,有利于防止肿瘤转移。

  射频消融治疗肺部肿瘤的主要适应症包括:①手术不可切除的周围型非小细胞肺癌患者;②因心肺功能差不能耐受手术或高龄不愿手术的周围型肺癌患者;③肿瘤距离大血管或较大支气管在1.0 cm以上;④不能手术的小细胞肺癌患者经过放化疗以后肿瘤进展或者复发;⑤拒绝手术者;⑥肺部多发转移瘤,数目<3个。(编辑  赵晚婷