健康教育

您现在的位置: 首页 - 科室导航 - 医技部 - 放射诊断科 - 健康教育

【科普】胰腺病变穿刺活检

女,54岁,间断背痛1月,加重2天,外院CT发现腹膜后巨大占位

image.png

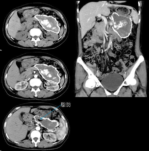
影像学所见(上图)胰腺体尾部可见一不规则肿块影,大小约167.5px×312.5px×252.5px,边界清楚,边缘可见厚薄不一的环形钙化,内部密度不均匀,主体以软组织密度为主,平均CT值约39HU,增强扫描未见强化,其内另见多发点状、团块状钙化密度影及条样脂肪密度影;胰腺头颈部密度均匀,未见异常强化灶。

术前影像学印象: 畸胎瘤? 错构瘤?

image.png

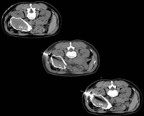
CT引导下穿刺活检(上图):穿刺组织呈黄色粘稠液性物质,不成形,经注射器抽出10ml黄色粘稠坏死物。穿刺病理结果提示:送检退变坏死物,未见健活细胞成分。

术后病理:送检胶原化纤维囊壁组织伴显著钙化,内壁附大量坏死物,未见健活成分。

综合病理及临床,考虑慢性坏死性胰腺炎可能性大。

关于胰腺病变穿刺活检:胰腺穿刺活检存在胰瘘继发腹膜炎风险,穿刺活检适应症选择较其他部位尤为严格。本病例术前CT显示胰腺体尾部正常胰腺组织消失,代之以不规则软组织密度病变,边缘可见环形钙化,经胰尾进针取体尾部病变组织不存在胰瘘风险。

本病例术前CT病变除边缘钙化,病变内点片状钙化外,病变内可见条片状脂肪组织,故术前考虑畸胎瘤或错构瘤可能。术前穿刺及术后病理提示病变内为退变坏死物,未见健活细胞成分,综合考虑坏死性胰腺炎可能,病变内脂肪成分考虑腹腔内脂肪组织卷入可能。