健康教育

您现在的位置: 首页 - 科室导航 - 医技部 - 超声科 - 健康教育

胆囊息肉知多少


又是一年体检的日子,是谁又查出胆囊息肉啦?很多看到检查报告单上“胆囊息肉样病变”的诊断,往往觉得很恐慌该怎么办?会不会是肿瘤?要不要手术?胆囊息肉跟胆囊癌之间丝丝缕缕的联系,让很多胆囊息肉患者心存顾虑,常常被这些问题困扰。

 

胆囊息肉简介 

什么是胆囊息肉?

胆囊息肉样病变(PLG,简称胆囊息肉)是由胆囊壁向囊腔内呈局限性隆起的一类病变的总称。PLG有肿瘤性息肉(10%)和非肿瘤性息肉(90%)之分。非肿瘤性息肉包括胆固醇息肉、炎性息肉、胆囊腺肌增生症等,而肿瘤性息肉包括腺瘤、平滑肌瘤、脂肪瘤、血管瘤、神经纤维瘤等, 国内人群发病率约为 1%~ 9%。

通俗地讲:大多数都是良性的,大可不必过分担心。

image.png 

 

胆囊息肉的病因

PLG的形成机制异常复杂,涉及到多种因素的相互影响,主要有:

1、胆汁中脂质代谢异常特别是胆固醇代谢障碍

2、长期慢性炎症刺激和结石的机械性损伤

3、其他危险因素:饮食不规律,吸烟和饮酒、经常吃高脂肪食物,II 型糖尿病、高龄 


胆囊息肉有哪些症状?

一般无明显症状,多由体检超声检查发现,少数人可有与胆囊结石或慢性胆囊炎类似的症状,如右上腹轻度不适,疼痛,右肩部放射痛,恶心呕吐,食欲减退等。

 

需要做哪些检查?

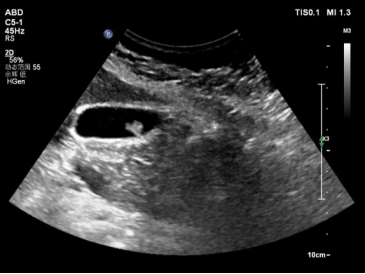
1、 首选超声检查(一线检查手段,方便、快捷、检出率高)

腹部超声可以准确地显示病变的大小、位置、数量和胆囊情况。目前,临床对胆囊息肉样病变的诊断主要是通过超声来检查。在超声检查中可显示:胆囊壁息肉样病变不随体位改变而移动,息肉样病变后方无声影,可单发或多发,较大的胆囊息肉样病变可显示有无明显血流信号。超声检查并不能揭示息肉的病理性质,对于较大的胆囊息肉样病变或怀疑恶变者,可通过超声造影、增强CT或MRI等检查与胆囊腺瘤、胆囊癌相鉴别。

image.png 

2、增强CT和磁共振(怀疑肿瘤性胆囊息肉可了解肿瘤及周围组织脏器情况)

3、磁共振胰胆管成像(MRCP,有助于了解是否有其他胆道疾病等)

4、内镜超声检查

5、肿瘤标记物CA199、CEA等(有助于鉴别良性和恶性)

 

胆囊息肉需要吃药吗?

当体检发现有胆囊息肉样病变时,一般无明显症状,并不需要吃药。建议到肝胆外科或普外科就诊,在专科医生指导下继续观察并定期复查。一些患者听从“身边朋友的建议”吃消炎利胆片或其他药物,不建议这样做!

 

胆囊息肉会自己消失吗?

一般情况下,胆囊息肉不会自行消失。

 

什么情况建议手术治疗?

胆囊息肉样病变术前有时难以定性,根据胆囊息肉样病变恶变可能性的高危因素,一般下列情况要考虑手术治疗:

1.伴有疼痛等症状,且反复发作者。

2.伴有胆囊炎及胆囊结石。

3.胆囊息肉在1cm以上,无临床症状,单发的息肉。

4.胆囊息肉在短时间内明显增大。

5.检查中发现息肉有丰富的血流或胆囊颈部的息肉。

6. 疑有恶性变时,应手术治疗。

7. 胆囊息肉患者,肝胆肿瘤标记物的值明显升高,且除外其它部位肿瘤者。

而多发<1cm的胆囊息肉,建议观察,超声定期随访。

 

如何预防胆囊息肉?

1、定期超声检查,早发现早治疗

2、合理饮食,少吃油炸食物,控制胆固醇摄入,如用植物油烹调饭菜,烹调上以炖、烩、蒸为主,忌煎炸;多进食瘦肉、鸡、鱼和豆类制品等蛋白质食物;多吃新鲜蔬菜和水果(富含叶酸、纤维素、抗坏血酸以及胡萝卜素等抗氧化物质),此外大蒜和洋葱(含有丰富的微量元素硒、甲硫氨酸、 维生素 A 、烯丙基硫化物等)对胆囊息肉有预防作用。

3、改变不良生活习惯:如不吃早餐,致使胆囊内胆汁不能及时排空,易形成胆囊息肉。

4禁酒酒精的分解代谢与解毒都必须经过肝脏,对肝脏造成伤害,使肝脏功能失调,无法控制胆汁分泌,胆囊息肉风险增大

5、控制体重:积极运动,保持健康体重。肥胖人群的体内胆固醇含量比较高,如果长时间无法代谢,会逐渐在胆囊内沉淀形成结晶。因此要适当运动,控制好体重,降低胆囊息肉的发病率。

 

当您发现胆囊息肉时,请勿过度担心,及时就诊,听从医嘱治疗,定期随诊。