健康教育

您现在的位置: 首页 - 科室导航 - 医技部 - 超声科 - 健康教育

神奇的可乐—可辅助治疗胃结石


可乐我们很熟悉,很多人都爱喝。当那股气体呵出,不自觉地变成一口“哈”,整个人都有一种说不出的满足感!人也精神了。可是,可乐不仅好喝,还好用,你知道吗?

可乐是我们常用的烹饪搭档,香喷喷的可乐鸡翅,没人不爱。可乐还可以清洁首饰、清除异味和血渍、清洗水壶、去口香糖、锅底除黑、去除铁锈,还可以清洗马桶。可乐还可以出现在……正经医嘱中。

81岁女性,2月前无明显诱因出现剑突下疼痛,午后加剧。我院及外院予抑酸药及中药治疗效果不佳,完善上消化道造影考虑胃石。后追问病史,2月前食用柿子。(据本人说、屋后有一颗柿子树,特别甜,就多吃了点)

image.pngimage.png

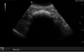
1,2  上消化道对比造影示:胃内充盈缺损影,大小约10.7x5.7cm,可随体位变化移动,考虑胃石。

因患者高龄,既往冠心病史多年,有一过性晕厥病史,胃镜诊治危险性高。患者口服PPI及碳酸氢钠,联合口服碳酸饮料治疗溶石,7日后,行胃超声检查评估目前胃石情况。超声所见如下:

image.pngimage.png

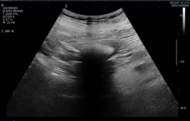
3,4  胃腔内见结石强回声,后伴明显声影,长约7cm

询问病史,患者口服雪碧7日,超声科张华斌主任特意嘱其改为饮用可乐。3日后患者腹痛症状较前明显好转,复查超声,胃结石神奇的消失了。

所见如下:

image.pngimage.png

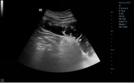
5,6  胃腔内未见结石

问题来了,可乐到底是什么神药,可以治疗胃结石?同为碳酸饮料,为什么可乐效果要远远好于雪碧?(本例患者,结石初始大小10cm,口服雪碧7天后变成了7cm,改可乐3天后结石消失)

最近十几年,可乐被挖掘出新的临床价值,有了更加神圣的使命,可以用来治疗胃结石。

什么是胃结石?患者由于摄入了某些植物成分或吞入毛发及某些矿物质(如碳酸钙、钡剂、铋剂),在胃内凝结成块形成。其中以植物性结石和混合型结石较多。当患者空腹食用含有丰富鞣酸、果胶、纤维素等物质的水果(如柿子、黑枣、山楂等)时,鞣酸在胃酸作用下,能与蛋白质结合成分子较大的但又不易溶于水的鞣酸蛋白沉淀在胃内。因空腹中游离胃酸增多,更容易与鞣酸、果胶发生胶凝形成结石,而鞣酸蛋白、果胶、纤维素等把果皮、果核黏合在一起,会在胃内迅速形成胃石。

发病率虽不高,但胃石会在胃里到处移动,有时损伤胃壁造成出血,严重的甚至造成胃穿孔,也可进入小肠造成肠梗阻,给患者和临床诊治造成很大困扰。

那有没有办法可以溶石呢?在2002年,希腊医生Ladas突发奇想,首次将可口可乐应用到治疗胃结石之中。他在《欧洲胃肠病学与肝脏病学杂志》发文称,其使用3升可乐经鼻饲灌洗超过12小时治疗植物性胃石5例,全部获得成功。Ladas认为可乐中含有磷酸,可以和单质磷结合,也可与钙结合,能有效破坏植物性结石和部分混合性结石的聚合物质,且治疗成本低廉,易被患者接受。之后ladas再次报道可口可乐单独应用于植物性胃结石的溶解成功率在 50% 以上,联合内镜技术成功率可达 90% 以上。

可乐疗法一般用于植物性胃石,方法有:口服、鼻饲灌洗、辅助内镜下取石治疗。最近几年,可乐疗法在我国多地医院都有报道。文献也指出,并不是所有的植物性胃结石患者都能随便喝可乐。因胃结石患者容易并发胃食管返流症、胃溃疡和胃出血等多种胃部疾患。大量饮用碳酸饮料极易使这些患者造成胃穿孔。此外,十二指肠溃疡、糖尿病、痛风患者等也不宜服用可乐。

想喝可乐治病,还是要在医生的严格指导下进行。不然可能就尴尬了:患者一顿狂喝可乐,结果消化内科不用去,反而要去内分泌科报到了。

可乐如此神奇,那雪碧呢,是不是功效一样?看下面配料表:

image.png image.png

仔细看了配料表,还真是很神奇,无论是可口可乐,还是百事可乐,都含有磷酸,而雪碧中没有此成分。磷酸中的磷和磷酸根能够和鞣酸蛋白发生替代反应,其产物可溶于水,从而使结石缩小和溶解。

对于植物性胃结石还是应以预防为主,避免空腹食用鞣酸含量高的水果。如出现胃部不适应及时就诊,切莫自我诊断,狂饮“神奇的可乐”。

image.png

患者给我们的“移动的百科全书”华斌主任送来的锦旗

感谢患者信任!愿“天下无石”!