健康教育

您现在的位置: 首页 - 科室导航 - 医技部 - 病理科 - 健康教育

人工智能辅助诊断系统在宫颈脱落细胞液基细胞学的应用

人工智能在医疗领域的应用正逐渐改变着诊断和治疗的方式,病理科全面数字化是必然趋势,智能病理软件设置操作简单,搭载高通量扫描仪,无需人员值守,即可自动完成批量切片数字化及判读,提供全切片数字图像智能分析,可疑区域框选、自动定量计数及实时分析等功能;提供多模块智能分析,覆盖组织、细胞、分子病理,AI可快速完成区域或全片判读,支持切片的智能质控等功能,数字化智能判读新平台,助力构建数字化智慧病理科。

定期进行宫颈液基细胞学检查(TCT)是早期发现和预防宫颈癌的有效方法。宫颈液基细胞学检查需要病理医生在显微镜下对上万个细胞进行形态学观察,极度依赖病理医生的诊断经验。

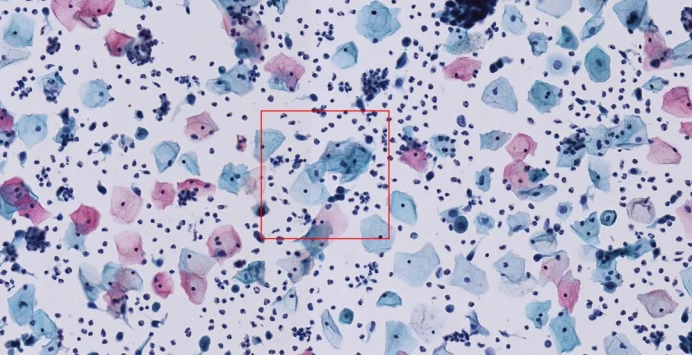
image.png

▲ 未明确诊断意义的非典型鳞状细胞(ASCUS)

image.png 

▲ 高级别鳞状上皮内病变细胞(HSIL)

image.png

▲ 低度鳞状上皮内病变细胞(LSIL)

宫颈细胞人工智能辅助诊断系统实现TCT人工智能化,主要用于宫颈脱落细胞液液基薄层制片技术的病理诊断项目,目前科室使用传统液基制片,病理医生显微镜下病理诊断,出具诊断报告。二期将开展宫颈细胞人工智能辅助诊断系统,主要功能为全数字化扫描宫颈液基细胞学切片,并对扫描存储的数字切片进行智能化分析,对每一个细胞核进行识别,最终得到切片的阳性率、筛查出可疑细胞核、排除纯阴性的细胞切片,使科室人员不必要对切片进行逐一阅片,仅需要对少部分切片进行快速核对即可完成宫颈细胞学诊断。对于提升科室诊断效率、节省人员成本、提高诊断准确率,为病理科医生提供一项新的辅助诊断系统。

宫颈细胞学人工智能辅助诊断系统,改变着病理医师的思维方式和诊断方法。经人工智能辅助诊断,进行大量繁琐、重复的阅片工作,帮助科室内病理医生,筛查出70%的阴性玻片,降低80%的工作量,提高4倍工作效率,阳性玻片进行异常细胞的捕获、提示病变级别,辅助医生进行智能诊断,减少漏诊误诊率。人工智能标准化判读,提高宫颈细胞学诊断诊断精度。

 

image.png

宫颈细胞学辅助诊断系统

一站式高效完成筛查和诊断工作宫颈细胞学辅助诊断系统集病理切片全数字化、细胞学辅助诊断和镜下实时复核于一体,无缝融入医生的日常诊断工作:成为 “初筛”小助手,提高宫颈细胞学诊断效率和检出率。

宫颈细胞学智能分析模块自动生成全场切片建议分析结果,辅助医生筛出大量阴性样本,同时按照TBS诊断标准提示多种病变细胞和微生物感染种类


image.png

▲快速筛出阴性样本

image.png

▲ 按照TBS诊断标准识别多种病变细胞和微生物感染种类

image.png

▲实时定位,直接复核比对

 

一、社会效益

1. 积极响应《公立医院高质量发展促进行动(2021-2025年)》、《新一代人工智能发展规划纲要》、《“十四五”国家临床专科能力建设规划》等文件精神的指导,鼓励有条件的公立医院加强人工智能辅助诊断智慧服务技术的应用与研究,推进病理科智能化、信息化、标准化、规范化发展,积极运用互联网、人工智能技术提高基层资源配置及服务能力,建立健全病理科服务体系。

2. 从数字病理、智慧病理、远程病理三大方向建设智能化数字化病理科逐步提高病理医生整体阅片速度、提高疑难病理诊断准确性、为远程会诊搭建方便快捷的系统、逐步构建全数字化病理科平台。

3. 人工智能解决病理医生人员不足问题,病理医生规模远不能满足医院的临床需求。而培养一个成熟的病理医生往往需要十年以上。AI辅助诊断能有效提升病理医生的工作效率、病理分析的精确度和一致性,由机器代替人工完成一些重复性工作有望缓解医院病理医生数量短缺且经验不足的问题,在不增加人力成本的前提下可以开展更多业务,服务更多病患。

4. 减少病理科误诊漏诊率,提高医生工作效率,加强院内沟通,同时促进病理科的数字化进程。协助医生提前发现患者发生重大疾病,有效降低了患者的患病风险,并且显著降低由于误诊漏诊导致的经济负担。这无疑是“利院利患”的好事。

5. 推进科室及医院的数字化、信息化建设,能够体现我院在信息化平台中的领先地位、提高我院的影响力,并可积极响应国家和地方诊疗帮扶、优质病理医疗资源的配置优化和资源下沉的号召。

6. 院内搭建宫颈细胞学辅助系统,通过AI辅助诊断,充分利用现有条件,打通科室内的数字病理基础设施,帮助科室内病理医生提高工作效率,减少漏诊误诊率。从而将医院病理科打造成为全国性的新一代数字化AI病理示范中心,也将逐步与国际病理诊断接轨,达到能够进行整合性病理诊断的全新高度。